-
Ngập lụt ở Cao Bằng, Thái Nguyên, Lạng Sơn, Bắc Ninh kéo dài đến khi nào?
-
Tử vi hàng ngày 9/10/2025 của 12 con giáp: Thứ 5 Mão may mắn
-
Vụ án Mr Pips: Thu giữ 2,3 triệu USD, 890 miếng vàng SJC, 246 kg vàng
-
Trước khi vướng lùm xùm tiền ảo AntEx, Nexttech Group của Shark Bình đã đột ngột giảm vốn từ 500 xuống còn 4 tỷ đồng; Ngân Lượng cũng giảm 85% vốn
-
Công an xác minh clip tàu hỏa húc văng bàn ghế ở phố cà phê đường tàu Hà Nội
-
Cháy nhà ở Lâm Đồng khiến 2 vợ chồng thiệt mạng: Thông tin mới nhất
-
Khoảnh khắc thót tim cứu hai ông cháu 18 tiếng cầm cự trên mái nhà giữa lũ dữ
-
Thái Nguyên và những giọt nước mắt trong lũ dữ: "Con cháu tôi 3 ngày nay không có cơm"
-
Cả nước bật “chế độ cứu trợ khẩn cấp” hướng về Thái Nguyên
-
Chỉ cần giải quyết vấn đề này, người Hà Nội không còn phải bì bõm lội nước
Chuyện lạ
07/11/2017 15:09Gái bán dâm nuốt... bao cao su của khách để giấu bằng chứng khi bị cảnh sát bắt
Sự việc xảy ra khi cảnh sát tiến hành kiểm tra một spa chăm sóc sức khỏe tại thành phố Đài Trung (Đài Loan). Cảnh sát sau đó đã tiến hành bắt giữ một phụ nữ họ Đặng và một người đàn ông họ Diêu khi cả hai đang ở chung trong một căn phòng ở tầng 1 trung tâm này.
Cảnh sát sau đó đã tiến hành thẩm vấn riêng rẽ hai người. Trong khi Đặng phủ nhận rằng mình là gái mại dâm thì Diêu lại thừa nhận rằng anh này là khách mua dâm và cả hai đang quan hệ khi cảnh sát lục soát spa này. Tuy nhiên khi lục soát căn phòng, cảnh sát chỉ tìm thấy vỏ bọc của một bao cao su đã được xé, trong khi chiếc bao cao su thì lại không được tìm thấy trong căn phòng.
Trong quá trình bị thẩm vấn, tình trạng sức khỏe của Đặng dần trở nên tệ hơn khi cô bị mất nước, liên tục xin nước uống và thậm chí không thở được.

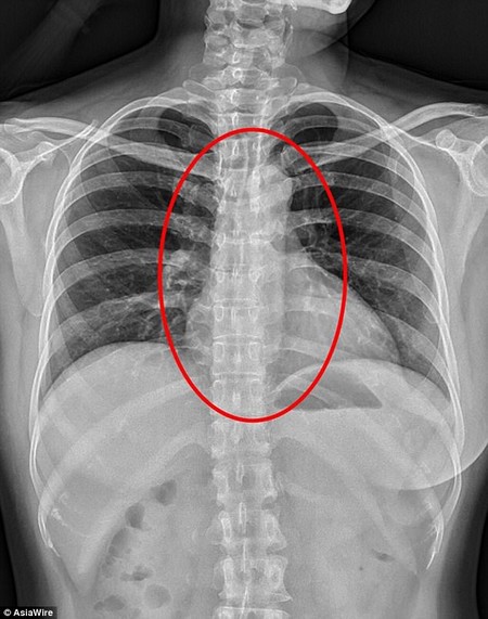
Đặng sau đó lập tức được đưa đến bệnh viện, nơi các bác sĩ chụp phim X-quang và phát hiện thấy một dị vật bên trong cơ thể bệnh nhân, khi lấy ra các bác sĩ mới giật mình, đó là một chiếc... bao cao su.
Theo truyền thông địa phương thì sau khi bị phát hiện, Diêu đã thừa nhận trong khi anh này cùng Đặng quan hệ tình dục thì nghe thấy cảnh sát đang tiến hành lục soát spa. Đặng đã lập tức lấy bao cao su nuốt vào bụng để che giấu bằng chứng phạm tội.
Đặng sau đó đã bị cảnh sát bắt giữ và bị kết án 2 tháng tù giam.
Trên thực tế đây không phải là lần đầu tiên có trường hợp ghi nhận nuốt bao cao su vào bụng và các bác sĩ cảnh báo đây là một hành động hết sức nguy hiểm, có thể dẫn đến tử vong do tắc ruột.
Trước đó vào năm 2016, một phụ nữ 26 tuổi người Cameroon cũng đã được mang đến bệnh viện trong tình trạng đau bụng dữ dội. Cô này cho biết đã nuốt nhầm bao cao su vào bụng trong khi quan hệ bằng miệng với bạn trai cách đấy 2 tuần. Các bác sĩ sau đó đã tiến hành phẫu thuật và phát hiện thấy chiếc bao cao su bị mắc trong ruột thừa của cô gái.
Theo Nhi Nguyễn (Dân Trí)








- Từ ngày 10/10, mua bán vàng 20 triệu đồng trở lên phải chuyển khoản (33 phút trước)
- Galaxy S26 Ultra lộ màu cam chói lóa, hàng triệu fan thấy ‘sốc’ (37 phút trước)
- Nữ MC VTV nổi tiếng từ 20 tuổi từng không dám xem mình lên sóng vì xấu hổ, giờ là thần tượng của Khánh Vy (44 phút trước)
- Triệt phá, khởi tố nhóm dự án tiền ảo lừa 3.000 nhà đầu tư chiếm đoạt 7,86 triệu USD (53 phút trước)
- Indonesia nhận trái đắng ở vòng loại 4 World Cup (57 phút trước)
- Người phụ nữ nhổ nước bọt, đánh bé gái 10 tuổi gây bức xúc ở TP.HCM (1 giờ trước)
- Công trình trăm tỷ bị sóng biển đánh tan hoang ở Ninh Bình (1 giờ trước)
- Tử vi hàng ngày 9/10/2025 của 12 con giáp: Thứ 5 Mão may mắn (1 giờ trước)
- Ngập lụt ở Cao Bằng, Thái Nguyên, Lạng Sơn, Bắc Ninh kéo dài đến khi nào? (08/10/25 23:20)
- Vụ án Mr Pips: Thu giữ 2,3 triệu USD, 890 miếng vàng SJC, 246 kg vàng (08/10/25 23:04)




