-
Bộ GD-ĐT yêu cầu xử lý vụ thầy giáo bóp cổ đồng nghiệp ngay trong trường
-
Từ Lee Min Ho đến Song Joong Ki, thời câu view kiếm tiền từ sao hạng A đã qua rồi
-
Bọc bạt kín như bưng, hai ô tô ở Thái Nguyên vẫn "mất tích" trong mưa ngập
-
Đêm trắng giữ đê ở Bắc Ninh, hàng nghìn người căng mình gia cố chống lũ
-
Cảnh sát, quân đội vào vùng ngập lụt lịch sử: "Không sao, có chú đây rồi"
-
Cảnh báo: Ngày càng nhiều nhân viên văn phòng trốn làm đi chơi pickleball!
-
Taylor Swift bị ruồng bỏ vẫn làm nên lịch sử, cả loạt siêu sao "ra chuồng gà"
-
Trực thăng Không quân cứu trợ 5 em bé mắc kẹt trên nóc nhà ở Lạng Sơn
-
5 nữ chính cổ trang Hoa ngữ được yêu thích nhất: Ai cũng mạnh mẽ, giỏi giang và đầy khí chất
-
Xe đầu kéo container cháy ngùn ngụt trên cao tốc Vĩnh Hảo - Phan Thiết
Gia đình
20/05/2020 00:22Ăn cháo lươn, bé gái 7 tháng tuổi suýt chết

Ngày 19/5, Bệnh viện (BV) Nhi Đồng Thành phố cho biết, BV vừa cấp cứu cho bệnh nhi bị hóc dị vật khi tập ăn dặm.
Trước đó, người nhà bệnh nhi cho bé ăn cháo lươn. Sau khi ăn, lúc tắm thấy bé bỗng ho sặc sụa, khạc ra xương lươn lẫn ít máu đỏ tươi lượng ít khoảng 2 lần, liền đưa ngay bé đến trung tâm y tế địa phương.
Tại đây, bé khó thở nhiều hơn nên chuyển đến bệnh viện An Giang. Bé được cho thở oxy, phun thuốc khí dung, đặt ống giúp thở rồi chuyển ngay lên BV Nhi Đồng Thành phố.
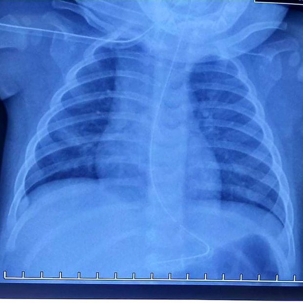
Sau khi thăm khám, chụp x-quang và hội chẩn, các bác sĩ cấp cứu và hô hấp tại BV nghi ngờ bé hóc dị vật, dị vật tắc nghẽn một nhánh phổi nên gây ứ khí toàn bộ nửa trên phổi phải nên đã phối hợp cùng các bác sĩ gây mê tiến hành nội soi cho bé.

Trong khi nội soi, TS.BS Trịnh Hồng Nhiên, Trưởng khoa Hô hấp, Trưởng ekip Nội soi hô hấp đã phát hiện ra dị vật là đốt xương lươn nằm bít hoàn toàn phế quản trung gian bên phải, đốt xương nhiều gai sắc nhọn, rất khó gắp. Các bác sĩ phải thận trọng khi thao tác để hạn chế tổn thương niêm mạc đường thở của bé.
Sau nội soi, phim chụp kiểm tra 2 phế trường đã sáng đều, tình trạng viêm phổi cải thiện nhanh chóng. Bé đáp ứng kháng sinh, cai máy thở tốt và sức khỏe dần ổn định.
“Cháu bé may mắn vì đến khám và chuyển tuyến sớm, kịp thời và dị vật chưa hoại tử nhiễm trùng, chưa tạo ổ mủ áp xe. Nếu dị vật rơi vào đường thở chính có thể gây ngưng thở, thậm chí tử vong nếu cấp cứu không kịp” - TS Nhiên cho hay.
Theo các chuyên gia y tế, thịt lươn chứa rất nhiều thành phần dinh dưỡng như đạm, vitamin, khoáng chất, chất béo tự nhiên… Nếu so sánh với các loại thủy hải sản khác, thịt lươn mang giá trị dinh dưỡng cao hơn nên rất tốt đối với phụ nữ mang thai, trẻ nhỏ, người già hay người vừa khỏi bệnh.

Tuy nhiên, xương lươn hay các thực phẩm có xương hoặc vỏ (cá, tôm, cua...), những thực phẩm dạng hạt (đậu phộng, bắp...) trong quá trình chế biến và ray lọc xương, phụ huynh cần cẩn thận, tránh gây nguy hiểm cho trẻ nhỏ.
Ngoài ra, để bé được an toàn trong bữa ăn, phụ huynh không nên cho trẻ xem tivi, chơi điện thoại, máy tính, trò chuyện trong lúc ăn uống.
Theo Uyên Phương (Tiền Phong)








- "Cậu bé đẹp nhất thế giới" William Franklyn-Miller giờ ra sao? (11:02)
- Bộ GD-ĐT yêu cầu xử lý vụ thầy giáo bóp cổ đồng nghiệp ngay trong trường (15 phút trước)
- VIDEO: Người dân chen chúc xếp hàng mua vàng khi giá vượt 142 triệu đồng/lượng (18 phút trước)
- Từ Lee Min Ho đến Song Joong Ki, thời câu view kiếm tiền từ sao hạng A đã qua rồi (22 phút trước)
- Toxic đến độ nói đọc sách ở quán cà phê là 100% "làm màu" thì chịu đấy! (25 phút trước)
- Gần 1 tỷ bản ghi bị đánh cắp, Salesforce vẫn "không lung lay" trước tin tặc (27 phút trước)
- Harry Maguire giảm lương để ký hợp đồng mới với MU (33 phút trước)
- Ông Trump và hành trình không ngừng tìm kiếm vinh quang Nobel Hòa bình (39 phút trước)
- Bọc bạt kín như bưng, hai ô tô ở Thái Nguyên vẫn "mất tích" trong mưa ngập (46 phút trước)
- Thê thảm mỹ nhân showbiz bị tình cũ lừa chụp ảnh khỏa thân rồi phát tán để lại hậu quả khôn lường (53 phút trước)




