-
Ngôi làng "thiên đường địa lan" ở Măng Đen, khách tới chữa lành 3 lần không chán
-
Thái Nguyên chìm trong biển nước, ôtô ngập không thấy hình dạng
-
Thống nhất giới thiệu nhân sự Trung ương và Ủy ban Kiểm tra Trung ương khóa mới
-
Chủ tịch Hà Nội yêu cầu sẵn sàng hộ đê tại các tuyến sông Cầu, sông Cà Lồ
-
Tràn đê bối ở Bắc Ninh, nước lũ cuồn cuộn, sơ tán nghìn người dân trong đêm
-
3 loại rau nhuận tràng, làm sạch ruột và thải độc cho cơ thể
-
Dừng mô tô sát vỉa hè, người đàn ông bị xe tải tông tử vong
-
Bà mẹ hốt hoảng phát hiện con trai 21 tuổi hôn mê trong phòng ngủ
-
Cháy lớn ở cửa hàng quần áo, ông chủ 22 tuổi tử vong thương tâm
-
Miễn nhiệm chức vụ nữ hiệu trưởng cho học sinh lớp 12 "tự nguyện" nghỉ học
Gia đình
18/12/2018 22:32Bé gái 3 tuổi ngưng tim, ngưng thở nguy kịch nhưng cha mẹ không biết con đã nuốt hạt mãng cầu
Ngày 18/12, bác sĩ Nguyễn Cát Phương Vũ, Bệnh viện (BV) Nhi đồng Thành phố cho biết vừa nội soi kèm hồi sức kịp thời cứu sống bé trai bị hóc dị vật đến tím tái, ngừng tim trước khi nhập viện.
Theo lời kể của người cha, 5 ngày trước khi đang ăn đậu phộng, bé L.T.C (3 tuổi, Long An) ho sặc sụa tím tái. Đến BV địa phương điều trị 1 ngày triệu chứng của bé cải thiện.

Tuy nhiên khi về nhà em ho nhiều hơn và khó thở. Bệnh nhi được đặt ống giúp thở, mở khí quản, chuyển lên tuyến trên.
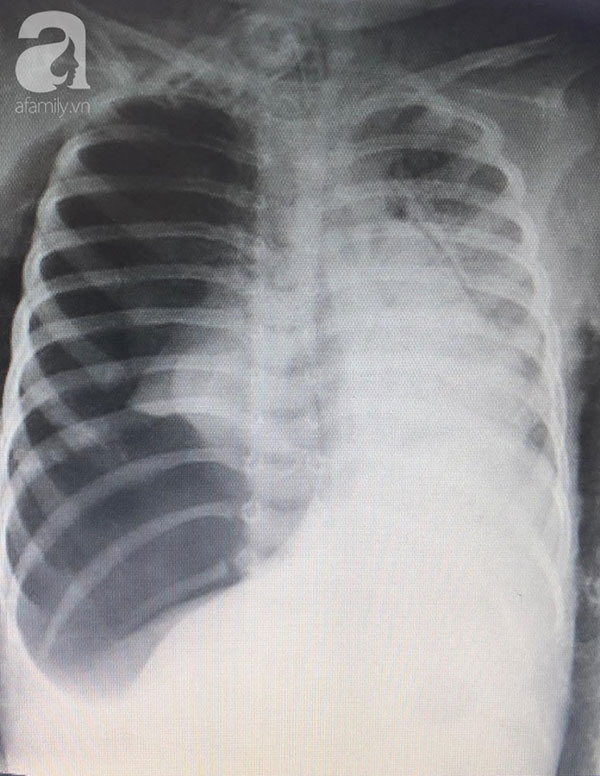
Khi đến BV Nhi đồng Thành phố (TP.HCM), bé đã ngưng tim ngưng thở trước đó, tổng trạng xấu, da bông tím, tràn khí màng phổi, sốc nặng nề...

Bệnh nhi nhanh chóng được thở máy thông số cao, chọc hút khí màng phổi, ổn định hô hấp, huyết động, dùng thuốc vận mạch. Tiến hành hội chẩn và chụp X-quang, ekip nội soi khi nghi ngờ có dị vật đường thở và cha mẹ bé cũng cho rằng con hóc hạt đậu phộng.
Khẩn trương tiến hành nội soi, đi sâu vào vào đường mũi bằng ống soi mềm, ekip nội soi bất ngờ khi thấy dị vật chèn sát ngay phế quản gốc bên phải.
Các bác sĩ khéo léo dùng kìm gắp ra hạt màu đen cứng, hình elip như hạt mãng cầu, không giống như bệnh sử ghi nhận trước đó là bé sặc lúc ăn đậu phộng.

Ekip thận trọng soi lại lần nữa, kiểm tra thấy phế quản 2 bên thông thoáng nên tiếp tục hút sạch đàm nhớt, bơm rửa lấy dịch phế quản.

Lúc này các BS hỏi lại bệnh sử kèm dị vật vừa gắp được trước mắt, ba mẹ bé mới nhớ lại con cũng có ăn mãng cầu trước đợt bệnh vài ngày.
Sau điều trị tích cực, tình trạng tràn khí màng phổi của bệnh nhi cải thiện rõ, áp lực phổi, thông số máy thở hỗ trợ giảm đáng ghi nhận, bé đáp ứng kháng sinh điều trị viêm phổi tốt. Đến nay sau hơn nửa tháng hồi sức tích cực, các bác sĩ đã rút ống thở cho bé.

Bác sĩ Vũ cho biết, các dị vật gây khó chịu nhất là hạt sapoche, hạt mãng cầu. Những hạt này trơn tuột rất khó gắp trong khi nạn nhân chỉ còn một phổi thông khí nên rất khó kiểm soát.
Điều cha mẹ cần biết là trẻ đang ở giai đoạn lớn và phát triển, bắt đầu biết bò và biết cầm nắm. Khi đó trẻ chỉ có ba bộ phận để cảm nhận và tương tác với môi trường xung quanh là tay, mắt và miệng, chưa có tri giác nhận thức và ý thức về sự nguy hiểm.
"Phụ huynh không nên cho trẻ đùa nghịch, cười đùa khi ăn hay chơi các đồ chơi nhỏ vì trẻ nhỏ hay ngậm, mút đồ chơi, khiến chúng dễ rơi vào đường thở. Cũng nên thận trọng với những thức ăn có thể làm cho trẻ mắc dị vật như: Hạt đậu lạc, hạt trái cây to, ngô bắp, vỏ tôm, cua... để hạn chế những tai biến đáng tiếc xảy ra" - Bác sĩ cảnh báo.
Theo Hoàng Lê (Thời Đại)








- 7 điều không còn đúng về Android (11:41)
- Trợ lý TT Putin tiết lộ nguyên nhân châm ngòi cuộc chiến Nga-Ukraine (11:25)
- Ngôi làng "thiên đường địa lan" ở Măng Đen, khách tới chữa lành 3 lần không chán (11:24)
- Giá vàng miếng lên 141,4 triệu đồng/lượng (11:17)
- "Gió ngang khoảng trời xanh" tập 27: Đăng bí mật tặng quà cho Linh ở khách sạn (11:15)
- Thái Nguyên chìm trong biển nước, ôtô ngập không thấy hình dạng (11:14)
- Cách tuyển dụng kỳ lạ của "vua YouTube" (11:12)
- Tuyển Nepal mang chân sút từng thi đấu ở Tây Ban Nha, sẵn sàng chạm trán tuyển Việt Nam (11:08)
- 4 năm kinh hoàng của 3 đứa trẻ và người cha độc ác (11:06)
- Bắt nhanh đối tượng cướp điện thoại của người khuyết tật (11:01)




