-
Ngập lụt ở Cao Bằng, Thái Nguyên, Lạng Sơn, Bắc Ninh kéo dài đến khi nào?
-
Vụ án Mr Pips: Thu giữ 2,3 triệu USD, 890 miếng vàng SJC, 246 kg vàng
-
Trước khi vướng lùm xùm tiền ảo AntEx, Nexttech Group của Shark Bình đã đột ngột giảm vốn từ 500 xuống còn 4 tỷ đồng; Ngân Lượng cũng giảm 85% vốn
-
Công an xác minh clip tàu hỏa húc văng bàn ghế ở phố cà phê đường tàu Hà Nội
-
Cháy nhà ở Lâm Đồng khiến 2 vợ chồng thiệt mạng: Thông tin mới nhất
-
Khoảnh khắc thót tim cứu hai ông cháu 18 tiếng cầm cự trên mái nhà giữa lũ dữ
-
Thái Nguyên và những giọt nước mắt trong lũ dữ: "Con cháu tôi 3 ngày nay không có cơm"
-
Cả nước bật “chế độ cứu trợ khẩn cấp” hướng về Thái Nguyên
-
Chỉ cần giải quyết vấn đề này, người Hà Nội không còn phải bì bõm lội nước
-
Hỗ trợ khẩn cấp 140 tỷ cho 4 tỉnh khắc phục hậu quả mưa lũ, Thái Nguyên mức cao nhất 50 tỷ
Gia đình
08/04/2022 17:26Bé trai 11 tuổi suýt mất mạng vì đột quỵ: Cha mẹ cần cảnh giác với những cơn đau đầu của trẻ
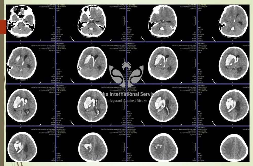
Thông tin trên Tổ Quốc, bệnh nhi vào cấp cứu tối 7/4 với biểu hiện đau đầu dữ dội kèm theo nôn ói. Khi vào viện bác sĩ đã nghi ngờ xuất huyết não do vỡ phình mạch máu não.
TS Cường cho biết ở trẻ em, đột quỵ đa phần là do xuất huyết não từ dị dạng mạch máu não mà không được phát hiện kịp thời.
Dị dạng mạch máu (AVM) vô cùng nguy hiểm bởi có thể gây ảnh hưởng đến chi phối của não bộ lên hoạt động cơ thể, nếu phát hiện và điều trị muộn có thể dẫn đến tử vong.
Trong y khoa, những túi phình mạch máu não được ví như bom nổ chậm, có thể vỡ gây ra cơn đột quỵ xuất huyết não bất cứ lúc nào.

Dị dạng này có sẵn từ nhỏ, cháu bé không có triệu chứng gì cả, nhưng nó có thể lớn dần theo thời gian và gây triệu chứng và chỉ đến khi có cơn đột quỵ thì mới hay nguyên nhân do dị dạng. Di dạng mạch máu não cũng là nguyên nhân khiến người trẻ bị xuất huyết não ngày càng cao.
Cũng trao đổi về vấn đề này trên Infonet, đối với trẻ nhỏ, TS Cường cho biết người nhà hãy cảnh giác với những cơn đau đầu đột ngột, kèm nôn ói, lừ đừ, tiếp xúc chậm chạp, co giật, động kinh, yếu tay chân 1 bên của trẻ em trong nhà.
Theo TS Cường khi có biểu hiện trên, người thân đừng phí thời gian "tự trị" tại nhà để tránh rủi ro cho các cháu đôi khi còn mất luôn vĩnh viễn "cục vàng duy nhất của mình".
Việc chẩn đoán sớm được 1 dị dạng mạch máu não lúc chưa vỡ thì việc điều trị sẽ chủ động hoàn toàn và tất nhiên là an toàn hơn gấp 10 lần so với can thiệp lúc đã vỡ.
Với các trường hợp chảy máu não, việc điều trị khó là tuỳ vào lượng máu chảy, vị trí xuất huyết, tình trạng lâm sàng lúc nhập viện có còn cơ hội để cứu chữa hay không. Cấp cứu các trường hợp này thời gian vẫn là yếu tố vô cùng quan trọng.
Khi xảy ra đột quỵ ở trẻ em, thì ngày nay sẽ điều trị theo phương pháp can thiệp nội mạch DSA, ít xâm lấn, đặc biệt là điều trị được những vùng não sâu mà phẫu thuật không mổ tới. Ngoài ra, sau can thiệp trẻ nhỏ bảo tồn được phần lớn chức năng, không để lại bất kỳ vết sẹo nào.

Đối với người trẻ, TS Cường cảnh báo đau đầu có rất nhiều nguyên nhân, trong đó có nguyên nhân chính do dị dạng mạch máu não. Vì vậy, khi xuất hiện những cơn đau đầu thường xuyên, người bệnh nên đến bệnh viện để được khám, chụp chiếu, chẩn đoán và điều trị sớm, tránh hệ lụy chảy máu não có thể gây tử vong.
Di dạng mạch máu não là bệnh nguy hiểm nhưng nếu được chẩn đoán sớm có thể điều trị khỏi hoàn toàn. Hiện nay, phương pháp chụp mạch máu não bằng ứng dụng DSA giúp bác sĩ có cái nhìn chính xác về vị trí, kích thước, hình dạng của đoạn mạch dị dạng đồng thời vẽ được biểu đồ huyết mạch nơi mạch máu dị dạng phát sinh.
PN (Nguoiduatin.vn)








- Ngập lụt ở Cao Bằng, Thái Nguyên, Lạng Sơn, Bắc Ninh kéo dài đến khi nào? (08/10/25 23:20)
- Vụ án Mr Pips: Thu giữ 2,3 triệu USD, 890 miếng vàng SJC, 246 kg vàng (08/10/25 23:04)
- Chị dâu ly hôn, đến ngày chị ấy dọn ra khỏi nhà tôi mới biết chồng mình không hề đơn giản (08/10/25 22:57)
- Xử lý người đưa tin trên Tiktok xuyên tạc vụ thảm án Đồng Nai (08/10/25 22:45)
- Trước khi vướng lùm xùm tiền ảo AntEx, Nexttech Group của Shark Bình đã đột ngột giảm vốn từ 500 xuống còn 4 tỷ đồng; Ngân Lượng cũng giảm 85% vốn (08/10/25 22:21)
- Cảnh tượng "nghẹt thở" sau Tết đoàn viên (08/10/25 22:15)
- HLV Kim Sang-sik nói thẳng về bê bối của ĐT Malaysia, nêu ra điều cực kỳ quan trọng cho ĐT Việt Nam (08/10/25 22:00)
- Công an xác minh clip tàu hỏa húc văng bàn ghế ở phố cà phê đường tàu Hà Nội (08/10/25 21:40)
- Cháy nhà ở Lâm Đồng khiến 2 vợ chồng thiệt mạng: Thông tin mới nhất (08/10/25 21:20)
- Đám cưới Selena Gomez lộ vật thể đáng ngờ phải giấu vội khi bị quay đến (08/10/25 21:12)




