-
Truy nã hot girl Ly “Meo” sinh năm 2001
-
Bộ Tài chính: Chính sách thuế với bất động sản chưa có gì thay đổi
-
Nhà chung cư: Bài học ở tầng 27 rồi chuyển xuống tầng 3 - Đừng để “view đẹp” lừa bạn
-
Kịch tính bầu cử: Nhật Bản sắp có nữ thủ tướng đầu tiên hoặc thủ tướng trẻ nhất
-
Những chiếc xe có màn lội nước ấn tượng ở trận ngập lụt Hà Nội
-
Phúc đức 3 đời nếu nhà bạn có 4 dấu hiệu này, con cháu không bao giờ thất bát
-
Đang đứng trên sông, người đàn ông bị điện giật tử vong trước sự bàng hoàng của đám đông
-
Hiện trường kinh hoàng vụ sập gãy hoàn toàn đường dẫn lên cây cầu ở Tuyên Quang
-
Nước ngập sâu "không xe nào sống", chiếc Honda Dream này vẫn bon bon lội: Bí mật nằm ở chiếc ống ruột gà
-
Nghịch lý tại Thái Lan: Giá vàng thật lập kỷ lục, người dân đổ xô mua... vàng giả
Gia đình
20/08/2020 20:49Bị tăng huyết áp và có ngực to như phụ nữ, người đàn ông suýt chết vì khối u lớn 'khủng' ở thận
Ngày 20/8, bác sĩ Quách Thanh Hưng, Giám đốc Bệnh viện (BV) Nguyễn Trãi (TP.HCM) cho biết, vừa qua các bác sĩ của BV đã cứu sống một trường hợp bệnh nhân mang khối u rất lớn ở vùng thận bằng phương pháp lần đầu tiên được áp dụng tại đây.
Tưởng u gan, ai ngờ mang khối u "khủng" ở thượng thận
Bệnh nhân là ông Minh (50 tuổi, ngụ TP.HCM, tên đã thay đổi) có tiền sử cao huyết áp nhưng không đi kiểm tra thường xuyên.
Trong một lần khám sức khỏe định kỳ, bệnh nhân phát hiện u gan nên được chỉ định nhập viện.

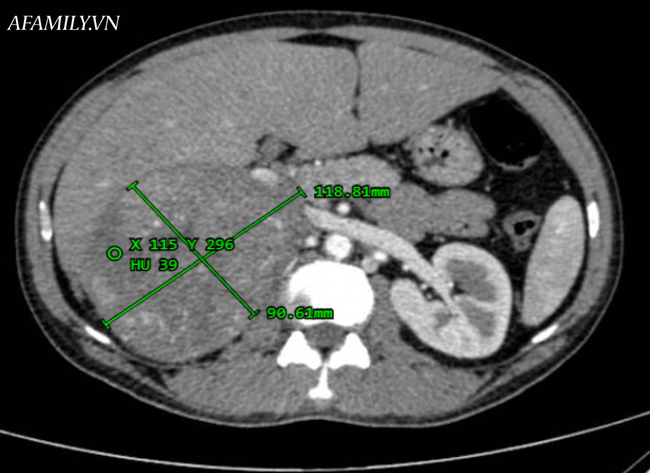
Qua thăm khám lâm sàng, bệnh nhân được ghi nhận bị cao huyết áp nhẹ 130/80 mmHg, nữ hóa tuyến vú, không ghi nhận dấu hiệu hội chứng Cushing. Kết quả chụp CT bụng cho thấy có tổn thương vùng giữa gan và thận phải kích thước lớn, chèn ép và đẩy thận phải xuống thấp.
Bệnh nhân được kết luận ban đầu là u gan đa ổ, chưa loại trừ u tuyến thượng thận nên các bác sĩ đề nghị kết hợp lâm sàng. Các xét nghiệm huyết thanh chẩn đoán sán lá gan, sán lá nhỏ, giun lươn đều âm tính.

Tuy nhiên, khi định lượng costisol máu và niệu đều cao gấp 2 so với bình thường. Tiếp tục được làm thêm các kiểm tra khác, bệnh nhân được phát hiện có tổn thương lớn vùng hố thượng thận phải và 3 tổn thương nhu mô gan.
Khoa Ngoại của BV đã mời thêm BS Dương Duy Trang, chuyên gia Can thiệp mạch máu cùng hội chẩn để đi đến chẩn đoán bệnh nhân bị u thượng thận phải, nghi di căn gan, tăng sinh mạch máu.
Cẩn thận khi lên cân, cao huyết áp bất thường
Bác sĩ Lý Vũ Văn, Trưởng khoa Ngoại Tổng hợp, BV Nguyễn Trãi chia sẻ, khó khăn lớn nhất trong vấn đề điều trị cho bệnh nhân là việc khối u quá lớn chèn ép vào tĩnh mạch chủ dưới và dính vào mặt dưới gan nên khi phẫu thuật cắt u sẽ khó cầm máu.
Do đó sau khi bàn bạc, các bác sĩ quyết định sẽ dùng phương pháp nút mạch khối u thượng thận phải trước mổ để hạn chế tình trạng mất máu trong lúc mổ.
Bệnh nhân được làm nút mạch nhánh trên và nhánh dưới của u thượng thận trong 2 ngày. Sau đó, êkip điều trị tiến hành cắt khối u.
Quá trình phẫu thuật, bệnh nhân mất 1.200ml máu. Khối u thượng thận phải được đưa ra ngoài có đường kính 20x30cm, có nhiều mạch máu, tăng sinh dính dọc tĩnh mạch chủ dưới.
Hậu phẫu 8 ngày, các chỉ số trong cơ thể bệnh nhân trở về bình thường, sức khỏe hồi phục. Giải phẫu khối u cho kết quả là u vỏ thượng thận lành tính. Hiện bệnh nhân đã được xuất viện về nhà.

Theo bác sĩ dựa vào kích thước, có thể dự đoán khối u thượng thận đã tồn tại khá lâu trong người bệnh nhân. Bệnh nhân khá may mắn vì thông thường khối u thượng thận lớn hơn 7cm thì tỉ lệ ác tính rất cao.
Nếu để lâu không điều trị, bệnh nhân có thể loãng xương, giảm sức đề kháng cơ thể, có thể đột quỵ nguy hiểm tính mạng bất cứ lúc nào vì huyết áp cao.
"Triệu chứng của u thượng thận thường là cao huyết áp, tụ mỡ, lên cân bất thường, rối loạn điện giải, đau nhức cơ... Theo y văn thế giới, khoảng 5% người dân mắc u thượng thận.
Với u nhỏ dưới 5cm có thể mổ qua nội soi. Riêng trường hợp này khối u quá lớn thì buộc phải mổ hở, nhưng nguy cơ rất cao vì u dính nhiều mạch máu. Đây là lần đầu tiên BV Nguyễn Trãi thực hiện nút mạch máu cứu một trường hợp u thượng thận" - bác sĩ Văn nói.
Bác sĩ khuyên người dân khi thấy cao huyết áp hay lên cân bất thường nên cẩn trọng đi khám. Nên kiểm tra sức khỏe định kỳ để kịp thời can thiệp điều trị nếu phát hiện bệnh.
Theo Hoàng Lê (Pháp Luật & Bạn Đọc)








- Thái Lan tăng rào chắn, siết chặt kiểm soát biên giới với Campuchia (17:40)
- Tối nay, bão Matmo vào Biển Đông (17:23)
- Truy nã hot girl Ly “Meo” sinh năm 2001 (17:13)
- Bộ Tài chính: Chính sách thuế với bất động sản chưa có gì thay đổi (17:11)
- Một kiểu "BẤT HIẾU" mới âm thầm xuất hiện - Con cái coi cha mẹ như bảo mẫu miễn phí, cha mẹ thì cười: "Chuyện nên làm mà..." (1 giờ trước)
- Sự thật về người bán nước trúng 8 vé số độc đắc, cúng 5 con heo quay giữa vòng xoay (1 giờ trước)
- Hà Tĩnh: Vẽ “Dự án ven đất nền ven sông” Công ty Đông Quân bị phạt hơn 500 triệu đồng (1 giờ trước)
- Cựu Giám đốc CDC Bình Thuận bị khởi tố trong vụ án đấu thầu thiết bị y tế (1 giờ trước)
- Nghe cuộc gọi có nội dung này, hãy tắt máy ngay lập tức (1 giờ trước)
- Trương Vinh Hiển "đã không fair-play lại còn thiếu tôn trọng Lý Hoàng Nam" (1 giờ trước)




