-
Ngôi làng "thiên đường địa lan" ở Măng Đen, khách tới chữa lành 3 lần không chán
-
Thái Nguyên chìm trong biển nước, ôtô ngập không thấy hình dạng
-
Thống nhất giới thiệu nhân sự Trung ương và Ủy ban Kiểm tra Trung ương khóa mới
-
Chủ tịch Hà Nội yêu cầu sẵn sàng hộ đê tại các tuyến sông Cầu, sông Cà Lồ
-
Tràn đê bối ở Bắc Ninh, nước lũ cuồn cuộn, sơ tán nghìn người dân trong đêm
-
3 loại rau nhuận tràng, làm sạch ruột và thải độc cho cơ thể
-
Dừng mô tô sát vỉa hè, người đàn ông bị xe tải tông tử vong
-
Bà mẹ hốt hoảng phát hiện con trai 21 tuổi hôn mê trong phòng ngủ
-
Cháy lớn ở cửa hàng quần áo, ông chủ 22 tuổi tử vong thương tâm
-
Miễn nhiệm chức vụ nữ hiệu trưởng cho học sinh lớp 12 "tự nguyện" nghỉ học
Gia đình
24/09/2020 23:04Căn bệnh nhân viên văn phòng hay mắc phải, có thể dẫn đến bại liệt nếu chủ quan
Mới đây, Bệnh viện Đại học Y Dược TP.HCM (BV ĐHYD) cho biết đã tiếp nhận trường hợp của người bệnh N.V.L. (60 tuổi, ngụ tại Đồng Tháp).
Ông L. làm nghề thợ sơn nhà đã hơn 15 năm. Suốt 2 năm nay, ông thường đau âm ỉ vùng vai phải nhưng không đến bệnh viện khám mà chỉ uống thuốc giảm đau.
Gần đây, ông L. phải đến bệnh viện khám trong tình trạng tay phải yếu, không thể đưa tay lên cao, tối không ngủ được vì đau nhiều một bên vai.
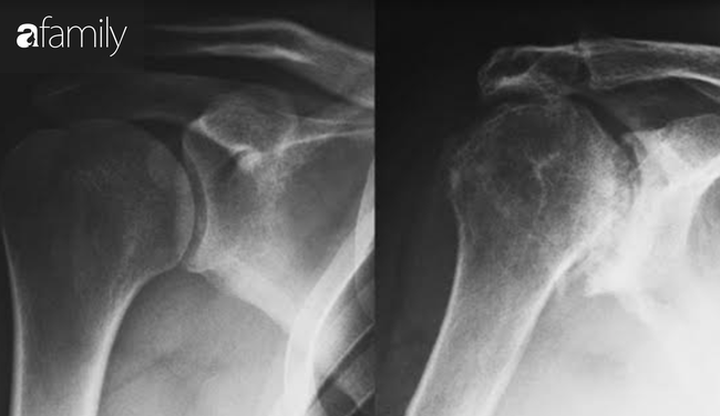
Sau khi thăm khám, bác sĩ chẩn đoán ông L. bị rách sụn viền vai, trật khớp cùng đòn bên phải và chỉ định phẫu thuật nội soi để phục hồi chức năng của vai.

Sau khi thực hiện phẫu thuật nội soi 6 tháng, người bệnh đã có thể trở lại làm việc, sinh hoạt như bình thường.
ThS.BS. Dương Đình Triết, khoa Chấn thương chỉnh hình của BV cho biết, chấn thương khớp vai là loại chấn thương phổ biến, thường gặp với những người hay chơi thể thao.
Nhưng đây cũng là căn bệnh phổ biến của những người thực hiện các công việc có nhiều động tác với, đưa tay lên cao qua đầu như thợ sơn, thợ lau kính, nhân viên thu ngân, nhân viên văn phòng, nhân viên thư viện, nhà sách…
Nếu không được điều trị đúng cách, chấn thương khớp vai có thể dẫn đến thoái hoá khớp, bại liệt cánh tay, vôi hóa, ảnh hưởng nặng nề tới hoạt động thường ngày.
Chấn thương khớp vai diễn tiến một cách "thầm lặng" vì những triệu chứng của nó hay bị người bệnh chủ quan.
Khác với người bị chấn thương gối, những cơn đau thể hiện rõ ràng khiến người bệnh phải đến bệnh viện ngay thì chấn thương khớp vai bắt đầu từ cảm giác mỏi, tê đằng sau bả vai.
Đến khi người bệnh cảm thấy cơn đau ngày càng nặng đến mức không ngủ được, bị hạn chế trong sinh hoạt hằng ngày mới đến bệnh viện thì vị trí chấn thương đã ở giai đoạn tiến triển, gây ra những biến chứng như gai xương, viêm xương khớp thoái hóa, cứng khớp, co rút khớp…

Để điều trị hiệu quả các chấn thương khớp vai, người bệnh cần được chẩn đoán sớm, thực hiện đúng theo phác đồ điều trị khoa học. Nếu chấn thương nhẹ và ở giai đoạn đầu, người bệnh chỉ cần sử dụng thuốc và thay đổi thói quen sinh hoạt để cải thiện về tình trạng sức khỏe.
Tuy nhiên đối với những chấn thương nặng, cần can thiệp ngoại khoa thì phẫu thuật nội soi là một trong những phương pháp hiện đại, nhanh hồi phục và có hiệu quả rõ rệt nhất.
Chấn thương khớp vai có thể càng nghiêm trọng do người bệnh sử dụng thuốc giảm đau để tự điều trị
Bác sĩ Triết khuyến cáo, chấn thương khớp vai xảy ra khi vận động vai nhiều, thường "ẩn mình" dưới những triệu chứng đau nhức thông thường nên người bệnh hay sử dụng thuốc giảm đau để tự điều trị.
Điều này là một trong những sai lầm lớn, có thể để lại những hậu quả nặng nề gây mất chức năng khớp vai, nguy hiểm hơn là suy giảm chức năng gan thận do dùng thuốc.
Chính vì vậy, người bệnh cần phải sử dụng thuốc dưới sự theo dõi của bác sĩ. Nếu đã bị chấn thương cần tuân thủ chế độ tập vật lí trị liệu, tập thói quen sinh hoạt lành mạnh theo hướng dẫn của bác sĩ để vị trí chấn thương nhanh hồi phục.
Đối với những người làm các công việc có nguy cơ bị chấn thương khớp vai, có thể thực hiện các biện pháp phòng ngừa từ sớm như: làm việc đúng tư thế; tập luyện thể dục thể thao thường xuyên và đúng cách giúp xương khớp khỏe mạnh; có chế độ dinh dưỡng phù hợp, bổ sung các chất cần thiết cho hệ cơ xương khớp; thăm khám sức khỏe định kỳ.
Ngay khi có các triệu chứng, người bệnh nên chủ động đến cơ sở y tế để được thăm khám và điều trị kịp thời.
Theo Hoàng Lê (Pháp luật & Bạn đọc)








- Trợ lý TT Putin tiết lộ nguyên nhân châm ngòi cuộc chiến Nga-Ukraine (11:25)
- Ngôi làng "thiên đường địa lan" ở Măng Đen, khách tới chữa lành 3 lần không chán (11:24)
- Giá vàng miếng lên 141,4 triệu đồng/lượng (11:17)
- "Gió ngang khoảng trời xanh" tập 27: Đăng bí mật tặng quà cho Linh ở khách sạn (11:15)
- Thái Nguyên chìm trong biển nước, ôtô ngập không thấy hình dạng (11:14)
- Cách tuyển dụng kỳ lạ của "vua YouTube" (11:12)
- 4 năm kinh hoàng của 3 đứa trẻ và người cha độc ác (11:06)
- Bắt nhanh đối tượng cướp điện thoại của người khuyết tật (11:01)
- Thống nhất giới thiệu nhân sự Trung ương và Ủy ban Kiểm tra Trung ương khóa mới (35 phút trước)
- Nam ca sĩ 1996 bị bắt vì khỏa thân nơi công cộng (39 phút trước)




