-
“Ăn nước bọt với nước rác ngon không?”: Khách sốc vì bài đăng của nhân viên quán nướng Hà Nội sau mâu thuẫn
-
Miền Bắc sắp mưa to đến rất to, 8 tỉnh sau đặc biệt chú ý
-
Trường đại học Y khoa Phạm Ngọc Thạch lên tiếng vụ thí sinh 24 tuổi trúng tuyển tiến sĩ
-
Lốc xoáy đánh chìm nhiều thuyền của ngư dân
-
Doãn Hải My cùng Đoàn Văn Hậu đưa quý tử đi chơi Trung thu, visual "bạch nguyệt quang" gây sốt cõi mạng
-
6 máy bơm hoạt động ngày đêm "giải cứu" xóm ngập cả tuần ở Hà Nội
-
Bạn gái tiết lộ điều ít ai biết về Văn Thanh
-
Vỡ hụi trăm tỷ ở TPHCM: Nhiều người ở khắp các tỉnh, thành kéo về tố cáo
-
"Chảy máu chất xám ngược": Vì sao gần 100 nhà khoa học rời Mỹ về Trung Quốc?
-
Bánh Trung thu ngày Rằm tháng Tám: Dù "ế" nhưng nhiều thương hiệu không giảm giá
Gia đình
18/03/2019 17:48Chiếc lỗ đẫm máu trên đầu người đàn ông này chính là dấu hiệu cảnh báo một loại ung thư da nguy hiểm
Loại bỏ khối u gây ung thư da, đầu người đàn ông xuất hiện lỗ sâu hoắm gây sốc
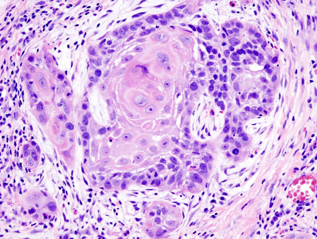
TS Pimple Popper hay còn có tên gọi khác là Sandra Lee trở nên nổi tiếng bằng cách đăng tải hình ảnh đồ họa của những nốt mụn thô đặc biệt. Gần đây, vị bác sĩ chuyên khoa da liễu đến từ Los Angeles này đăng một bức ảnh về một thứ khác biệt: Vết sưng phồng, đỏ ửng trên đầu của một người đàn ông cảnh báo loại ung thư da có tên là keratoacanthoma. [Cách nhận biết và phòng ngừa ung thư da]

Trong chú thích của mình, BS Lee giải thích đây là trường hợp ung thư biểu mô tế bào vảy (một loại ung thư da bắt đầu ở lớp giữa và lớp ngoài của da) không nguy hiểm đến tính mạng, nhưng nó có thể phát triển nhanh nếu không được điều trị.
Vị bác sĩ này cũng đăng thêm một bức ảnh khác cho thấy bệnh nhân đã thoát khỏi căn bệnh ung thư này như thế nào. "Tôi đã thực hiện phẫu thuật ung thư da vi mô bằng phẫu thuật Mohs trên khu vực này để đảm bảo loại bỏ hoàn toàn và khâu vết thương để tạo ra vết sẹo tuyến tính", BS Lee nói. Về cơ bản, cô loại bỏ bệnh ung thư ra khỏi khu vực đầu của người đàn ông và đăng một bức ảnh về lỗ hổng đẫm máu còn lại.
Đừng lo lắng vì lỗ hổng này sẽ không tồn tại mãi mãi. Bức ảnh dưới đây cho thấy vết thương đã được khâu lại và hình ảnh tiếp theo đã hoàn toàn lành lặn.

Ung thư biểu mô tế bào vảy dễ phát triển do tiếp xúc quá nhiều với ánh nắng
Ung thư biểu mô tế bào vảy là sự tăng trưởng không kiểm soát của những tế bào bất thường, phát sinh trong các tế bào vảy – tế bào hình thành các lớp trên của da. Ung thư biểu mô tế bào vảy thường trông giống như các mảng đỏ có vảy, vết thương hơ, mụn cóc hoặc khối u có phần trung tâm lõm xuống. Sự phát triển của chúng không chỉ gây mất thẩm mỹ mà đôi khi còn gây tử vong.
Theo Webmd, ung thư biểu mô tế bào vảy thường có các triệu chứng phổ biến như: Nốt đỏ, chắc; mảng tróc vảy, phẳng và đau; mảng thô ráp, có vảy ở trên môi, có thể phát triển thành vết loét mở; mảng màu đỏ, đau hoặc thô ráp trong miệng; mảng màu đỏ, nổi đau như mụn cóc [chữa mụn cóc tại nhà] trên hoặc bên trong hậu môn hoặc bộ phận sinh dục.

Giới chuyên gia khuyến cáo, bạn cần đi khám bác sĩ ngay nếu xuất hiện nốt đau không lành hoặc miếng da phẳng có vảy không chịu biến mất trong vòng 2 tháng.
Theo Mayoclinic, ung thư biểu mô tế bào vảy thường được gây ra bởi sự tiếp xúc quá mức với tia UV từ mặt trời hoặc giường tắm nắng. Đó là lý do tại sao sự tăng trưởng ung thư như bức ảnh của Tiến sĩ Lee thường xuất hiện trên các vùng cơ thể có nhiều ánh nắng mặt trời, như đỉnh đầu bị hói của người đàn ông này.
Các khu vực khác có xu hướng bị ung thư da bao gồm tai, môi, lưng trên, cánh tay và bàn tay, vì vậy không phải là ý tưởng tồi để cung cấp thêm kem chống nắng cho những vùng này.

Những người có làn da trắng hoặc dễ bị cháy nắng có nguy cơ mắc loại ung thư cao hơn, nhưng điều đó không có nghĩa là những người có làn da tối màu sẽ miễn dịch. Mayoclinic khuyến cáo, tất cả chúng ta, bất kể màu da nào, cũng cần sử dụng kem chống nắng [kem chống nắng hay viên chống nắng?] với chỉ số thấp nhất là SPF 15 tất cả những ngày trong năm.
Theo HH (Helino)








- Mở nhà nghỉ để “săn mồi”: Chủ homestay Nhật chuốc thuốc ngủ, xâm hại nhiều khách nữ (23:03)
- Taylor Swift khiến cả thế giới phát cuồng (23 phút trước)
- Touliver đáp trả phũ phàng với Tóc Tiên? (31 phút trước)
- Người cha KHÔNG LÀM 3 điều này chính là phước phần lớn nhất cho cả gia đình (41 phút trước)
- Nữ hiệu trưởng trường lên tiếng về khay cơm 25.000 đồng gây bão ở Quảng Trị (1 giờ trước)
- Mr Pips nắm trong tay khối tài sản khổng lồ, trải rộng tại nhiều quốc gia (1 giờ trước)
- Xôn xao hình ảnh bữa ăn bán trú giá 25.000 đồng chỉ có trứng và vài lát chả (1 giờ trước)
- Ca sĩ Jack bị phạt hành chính (1 giờ trước)
- Khởi tố rapper Bình "Gold" về tội cướp tài sản (1 giờ trước)
- HLV Shin Tae-yong gây phẫn nộ ở Hàn Quốc (2 giờ trước)




