-
Trích xuất camera vụ tai nạn 3 người thương vong QL14: Nghi do 2 ô tô rượt đuổi, nhân chứng hé lộ thông tin đắt giá -
Thanh niên lao xe vào CSGT khi bị yêu cầu dừng kiểm tra, phát hiện bí mật bên trong túi nilon mang theo -
Hiện trường vụ thi thể nam, nữ trong xe hơi chìm dưới mương nước ở Gia Lai, phát hiện chi tiết lạ -
Công Phượng đưa vợ con về quê mừng thọ bố mẹ: Diện mạo Viên Minh gây bất ngờ, quý tử thành "bản sao" của bố -
Nổ lớn ở khu công nghiệp Tằng Loỏng, Lào Cai cột khói trắng bốc cao hàng trăm mét -
Người đàn ông 34 tuổi nhập viện vì chơi bài liên tục suốt 3 ngày Tết -
Lì xì 100k, Chu Thanh Huyền vẫn bị chê "keo": Giàu thì phải mừng 500k mới xứng? -
2 năm "nghiện" ăn gừng, người phụ nữ 53 tuổi khiến bác sĩ ngỡ ngàng khi tái khám -
"Bóng hồng" làng Liên Quân Thái Lan và cú ngã ngựa chấn động: Từ hào quang SEA Games đến song sắt trại giam -
Chỉ trong 24h ngày nghỉ cuối cùng, có rất nhiều tài xế bị xử phạt trên cao tốc TP.HCM – Vân Phong
Gia đình
14/06/2019 15:38Được chẩn đoán táo bón, bé gái 4 tuổi đột ngột tử vong sau vài tuần
Bé Logan Allebon, 4 tuổi, đến từ Anh, gần đây thường xuyên bị ốm vặt và đau đầu. Bố mẹ của cô bé là anh Nik và chị Helen Allebon đã đưa Logan đến bác sĩ và được chẩn đoán có triệu chứng bị táo bón cấp tính.
Nik, người làm việc tại một đơn vị y tế đã nghiên cứu các triệu chứng của Logan và kết quả cho thấy rằng con gái anh đang mắc phải căn bệnh gì đó nghiêm trọng hơn là táo bón.
“Nó giống như một khối u não, nhưng một lần nữa, khi tôi tìm kiếm các triệu chứng trên mạng, nó đều dẫn đến kết quả là bệnh ung thư”, Nik nói.
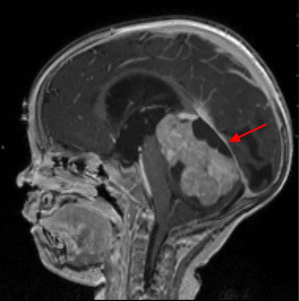
“Logan rất yếu. Bé thậm chí không thể đứng lên ghế mà không rơi nước mắt”, Nik nhớ lại. Đó là khi anh đưa bé đến một bệnh viện khác lớn hơn. Qua kết quả chụp chiếu cắt lớp, bác sĩ chẩn đoán trong não Logan có một khối u có tên Medulloblastoma - một khối u ung thư thường ảnh hưởng đến tiểu não và có thể lan sang phần còn lại của não và/hoặc tủy sống.
Phẫu thuật khẩn cấp để loại bỏ khối u đã được thực hiện ba ngày sau. Trong khi đó, Nik và Helen không biết rằng họ sắp không bao giờ được nghe Logan nói chuyện nữa.

Trước khi nhập viện để điều trị u não, Logan yếu tới nỗi không thể tự đứng trên hai chân của mình.
Trong khi ca phẫu thuật cắt bỏ khối u đã diễn ra đúng như các bác sĩ hy vọng, lần kiểm tra sau đó đã xác nhận điều tồi tệ nhất. Khối ung thư đã quay trở lại và lần này nó đã lan rộng không kiểm soát.
“Họ đã thực hiện một lần quét MRI khác và bạn có thể thấy bóng của khối u", Nik nói, “Đó là trong khoảng trống nơi khối u đã ở đó và nó lan khắp não. Nó nằm dọc tủy sống của cậu bé và có một số tế bào đã rơi xuống đáy và xuất hiện tại căn cứ xương sống của bé”.
Cặp đôi đã phải đối mặt với một quyết định đau đớn. Con trai của họ chắc chắn sẽ chết nếu không tiếp tục điều trị bằng xạ trị, nhưng nếu điều trị, cậu bé cũng chỉ sống thêm tối đa được một tháng nữa.
Đối với Helen, vì không muốn con trai mình chịu thêm nhiều đau đớn, cô đã quyết định đưa con trai của họ về nhà để an nghỉ trong bình yên. Cuối cùng sau hơn 2 tuần chống chọi với bạo bệnh cậu bé 4 tuổi Logan đã trút hơi thở cuối cùng bên cạnh những người thân yêu.
“Bé mỉm cười với chúng tôi, và cố gắng nói ‘bố ơi’, ‘mẹ ơi’ nhưng bé không bao giờ có thể phát ra âm thanh nữa”, Helen nhớ lại.
Khối u Medulloblastoma (bệnh u nguyên bào tủy) là gì?

U nguyên bào tủy hay gặp ở tiểu não, là vùng kiểm soát thăng bằng và một số chức năng vận động phức tạp. U nguyên bào tủy hay gặp ở vùng não thất 4 hoặc vùng giữa của tiểu não, ít khi gặp ở vùng bán cầu tiểu não.
U nguyên bào tủy hay gặp ở trẻ từ 3-8 tuổi, đôi khi gặp ở trẻ sơ sinh hoặc ở trẻ trên 15 tuổi.
Các triệu chứng hay gặp bao gồm:
- Triệu chứng của tăng áp lực sọ não: đau đầu (hay đau vào buổi sáng), buồn nôn, mệt mỏi, ngủ gà. Các triệu chứng này kéo dài vài tuần và tăng dần, thường trẻ hay được chẩn đoán nhầm là bị cúm hoặc sốt virus.
- Mất thăng bằng, giảm phối hợp các động tác.
- Cổ nghiêng về một bên, nhìn đôi.
- Đôi khi trẻ biểu hiện triệu chứng thâm nhiễm thần kinh trung ương và hoặc tủy sống: trẻ thấy đau lưng và giảm trương lực, giảm vận động chi dưới.
Theo An An (VietNamNet)
- Giúp việc lì xì tiền triệu cho chủ nhà gây sốt mạng xã hội (57 phút trước)
- Lý do tiệm vàng có tiếng bị tiêu hủy lô hàng 192 triệu: Công an thông tin số tiền tiệm bị xử phạt (1 giờ trước)
- Doanh nghiệp nhà nước lập kỷ lục lợi nhuận: Trụ đỡ thực sự của thị trường chứng khoán? (1 giờ trước)
- Tài xế ô tô Mercedes gây tai nạn liên hoàn rồi bỏ đi: Hiện trường tai nạn và tình hình các nạn nhân (1 giờ trước)
- Giao dịch cổ phiếu quy mô lớn liên tiếp xuất hiện, dòng tiền đang dịch chuyển? (2 giờ trước)
- Huỳnh Hiểu Minh nói gì về tin đồn thua bạc 3.800 tỷ đồng, phải cầm cố máy bay? (2 giờ trước)
- Trích xuất camera vụ tai nạn 3 người thương vong QL14: Nghi do 2 ô tô rượt đuổi, nhân chứng hé lộ thông tin đắt giá (2 giờ trước)
- Quá khứ đen tối của kẻ cướp giật gây tai nạn khiến người phụ nữ tử vong sáng mùng 2 Tết ở Cần Thơ (2 giờ trước)
- "Nàng thơ" nóng bỏng của Man Utd khiến dân mạng "nghẹt thở" trong chuyến phiêu lưu tại Sri Lanka (2 giờ trước)
- Tuyên bố trở lại làng nhạc, nữ ca sĩ từng hát trên sóng quốc gia lập tức bị “xóa sổ” toàn mạng (2 giờ trước)