-
Trước khi vướng lùm xùm tiền ảo AntEx, Nexttech Group của Shark Bình đã đột ngột giảm vốn từ 500 xuống còn 4 tỷ đồng; Ngân Lượng cũng giảm 85% vốn
-
Công an xác minh clip tàu hỏa húc văng bàn ghế ở phố cà phê đường tàu Hà Nội
-
Cháy nhà ở Lâm Đồng khiến 2 vợ chồng thiệt mạng: Thông tin mới nhất
-
Khoảnh khắc thót tim cứu hai ông cháu 18 tiếng cầm cự trên mái nhà giữa lũ dữ
-
Thái Nguyên và những giọt nước mắt trong lũ dữ: "Con cháu tôi 3 ngày nay không có cơm"
-
Cả nước bật “chế độ cứu trợ khẩn cấp” hướng về Thái Nguyên
-
Chỉ cần giải quyết vấn đề này, người Hà Nội không còn phải bì bõm lội nước
-
Hỗ trợ khẩn cấp 140 tỷ cho 4 tỉnh khắc phục hậu quả mưa lũ, Thái Nguyên mức cao nhất 50 tỷ
-
Cụ bà 91 tuổi ở Thái Nguyên ngồi canh bát hương chồng trong căn nhà ngập nặng
-
100 thuyền, xuồng từ Chùa Hương tiến về vùng lũ trợ giúp người dân Thái Nguyên, Bắc Ninh
Gia đình
19/02/2022 18:26F0 không có triệu chứng, phổi vẫn trắng xoá hậu Covid-19
Trên Infonet, bác sĩ Phan Xuân Trung – Trung tâm Y tế Hoà Hảo, TP.HCM cho biết thời gian qua người bệnh di chứng hậu Covid-19 đi kiểm tra ngày càng tăng. BS Trung từng tiếp nhận các trường hợp bị xơ phổi diễn tiến thậm chí người bệnh trẻ khi mắc Covid-19 không có triệu chứng nhưng khi khỏi bệnh thì phổi lại xơ dần.
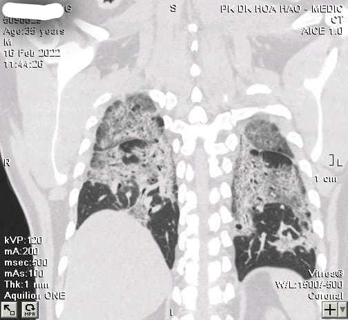
Trường hợp nam bệnh nhân tên N.N.V. 35 tuổi, mắc Covid-19 do lây từ vợ. Người bệnh đã tiêm hai mũi vắc xin và khi nhiễm bệnh không có triệu chứng nên điều trị tại nhà.
Sau điều trị Covid-19, bệnh nhân lại rơi vào tình trạng hậu Covid-19 thường xuyên thấy khó thở, đi lại cũng mệt, lúc nào cũng thấy “ngộp”. Bệnh nhân tới kiểm tra sức khoẻ, bác sĩ cho chụp phổi để đánh giá tổn thương phổi thì hết sức bất ngờ vì phổi của bệnh nhân trắng xoá do tình trạng xơ phổi diễn tiến.

Trường hợp của bà Phạm Thị T. trú tại Bình Chánh, TP.HCM cũng tương tự. Tháng 12/2021, bà T. bị nhiễm Covid-19. Sau khi khỏi bệnh, sức khoẻ bà T. kém đi trông thấy, lúc nào bà cũng mệt mỏi, khó thở. Khi leo lên cầu thang chỉ đi được 3, 4 bậc là bà phải dừng lại nghỉ.
Bà T. đi khám hậu Covid-19, kết quả chụp X-quang cho thấy xơ phổi hậu Covid, tổn thương xơ phổi nặng hai bên. Tình trạng tổn thương dạng mô kẽ rải rác hai phổi, xơ rải rác hai phổi, giãn phế quản rải rác hai phổi. Bà T. phải điều trị dài ngày, đến nay chưa khỏi.
TS BS Nguyễn Như Vinh – Trưởng khoa Thăm dò hô hấp, Bệnh viện Đại học Y Dược TP.HCM chia sẻ trên Infonet, xơ phổi hậu Covid-19 là vấn đề rất lớn, nếu điều trị không kịp thời người bệnh sẽ bị suy hô hấp mãn tính, ảnh hưởng tới sức khoẻ của người bệnh. Đến nay khi nói tới xơ phổi bác sĩ cũng cảm thấy lo lắng vì việc điều trị khó.
TS Vinh cho rằng hậu Covid-19 có tới 200 triệu chứng khác nhau, từ rụng tóc, tinh thần tới đột quỵ, tim mạch thì hồi hộp, đánh trống ngực, đau khớp. Người bệnh có tình trạng khó thở, mệt mỏi có thể do phổi tổn thương nhưng cũng có trường hợp phổi không có tổn thương đó là do mệt mỏi mãn tính. Nhiều bệnh nhân than thở ngày trước sức của họ được 10 thì giờ chỉ còn 7, 8 phần.
BS Vinh cho biết virus SARS-CoV-2 tấn công vào cơ quan hô hấp trong đó phổi bị tấn công nhiều nhất, tử vong do phổi tổn thương nặng, viêm hô hấp nặng. Vì vậy, người bệnh Covid-19 nặng trong giai đoạn dương tính thì hầu hết phổi bị tổn thương và sau Covid-19 triệu chứng phổi vẫn kéo dài.
Nếu bệnh nhân khó thở kèm theo thiếu oxy cần đi kiểm tra phổi. Không phải ai khó thở cũng là xơ phổi có thể do căng thẳng, tâm lý, mất ngủ, mỏi cơ trong giai đoạn Covid-19 nhưng chúng ta không được chủ quan.
Chăm sóc bệnh nhân xơ phổi hậu COVID-19
Trên Sức khỏe & Đời sống, PGS. TS. BS Hoàng Thị Phượng - Giảng viên cao cấp, Phó Chủ nhiệm bộ môn Nội Trường đại học Y dược Đại học Quốc gia Hà Nội cho biết, việc tập phục hồi chức năng hô hấp cần thực hiện sớm cho người bệnh bị xơ phổi hậu COVID-19, giúp cải thiện khả năng dung nạp với gắng sức của người bệnh, tình trạng thở nhanh hậu COVID-19 và tình trạng sức cơ và cơ học hô hấp. Các bài tập phục hồi chức năng bệnh viêm đường hô hấp cấp tính do COVID-19 theo hướng dẫn của Bộ Y tế gồm:
- Tập thở chúm môi: Hít vào thật sâu, từ từ bằng mũi. Chúm môi và từ từ thở ra cho tới khi hết khả năng.
- Tập thở cơ hoành: Hít vào từ từ bằng mũi, đồng thời bụng phình lên. Thở ra chúm môi, đồng thời bụng hóp lại.

- Kỹ thuật tập ho có kiểm soát:
+ Người bệnh thở chúm môi khoảng 5-10 phút, giúp đẩy đờm từ phế quản nhỏ ra các phế quản vừa.
+ Tròn miệng hà hơi 5 đến 10 lần,tốc độ tăng dần giúp đẩy đờm từ phế quản vừa ra khí quản.
+ Ho: Hít vào thật sâu, nín nở và ho liên tiếp 2 lần, 1 lần nhẹ, lần 2 nhanh mạnh để đẩy đờm ra ngoài.
- Kỹ thuật thở chu kỳ chủ động: Thở có kiểm soát, căng giãn lồng ngực, hà hơi.
- Tập thở với các dụng cụ hỗ trợ: Bóng, Spiroball.
- Tập giãn cơ.
- Tập tăng sức mạnh sức bền với các dụng cụ tập tạ, bóng chày, băng chun, leo cầu thang, tập cơ đùi, tập cơ căng chân.
Các chuyên gia nhấn mạnh, người dân nên cảnh giác theo dõi sức khỏe trong 3 tháng kể từ khi bắt đầu mắc cho đến khi đã khỏi bệnh để hạn chế những nguy cơ hậu COVID-19 có thể gây ra và khuyến cáo không tái khám nếu những bệnh nhân này không có bất kỳ triệu chứng hô hấp hay triệu chứng nào khác.
PN (Nguoiduatin.vn)








- Trước khi vướng lùm xùm tiền ảo AntEx, Nexttech Group của Shark Bình đã đột ngột giảm vốn từ 500 xuống còn 4 tỷ đồng; Ngân Lượng cũng giảm 85% vốn (22:21)
- Cảnh tượng "nghẹt thở" sau Tết đoàn viên (22:15)
- HLV Kim Sang-sik nói thẳng về bê bối của ĐT Malaysia, nêu ra điều cực kỳ quan trọng cho ĐT Việt Nam (22:00)
- Công an xác minh clip tàu hỏa húc văng bàn ghế ở phố cà phê đường tàu Hà Nội (1 giờ trước)
- Cháy nhà ở Lâm Đồng khiến 2 vợ chồng thiệt mạng: Thông tin mới nhất (1 giờ trước)
- Đám cưới Selena Gomez lộ vật thể đáng ngờ phải giấu vội khi bị quay đến (1 giờ trước)
- Khoảnh khắc thót tim cứu hai ông cháu 18 tiếng cầm cự trên mái nhà giữa lũ dữ (1 giờ trước)
- Clip 2 em nhỏ khiến kẻ trộm xe máy thất kinh bỏ chạy (1 giờ trước)
- Hàng ngàn ô tô nối đuôi dài cả km, "chôn chân" giữa mưa lớn ở TPHCM (1 giờ trước)
- Thái Nguyên và những giọt nước mắt trong lũ dữ: "Con cháu tôi 3 ngày nay không có cơm" (2 giờ trước)




