-
Suất ăn 25.000 đồng như 10.000 đồng: Nhà trường chỉ bị kiểm điểm?
-
Ông bố U70 bơi 4 tiếng qua dòng nước ngập, đem đồ ăn cho con gái ở Thái Nguyên
-
Phát hiện thi thể nữ giới có hình xăm bông hoa ở chân tại bãi biển Vũng Tàu
-
Hiện trạng khu đất "ông bầu" Cao Tiến Đoan thu lợi bất chính 191 tỉ đồng
-
Quân đội xuất quân hỗ trợ nhân dân phòng, chống dịch bệnh sau ngập lụt
-
Đã hết “concert quốc gia” nhưng nữ ca sĩ này vẫn chạy show chính luận mệt nghỉ
-
Phát hiện thi thể người đàn ông mất tích nhiều ngày tại Huế
-
5 chỉ đạo của Thủ tướng sau vụ cháy nhà ở phường Văn Miếu - Quốc Tử Giám
-
Hình ảnh mới nhất của Phương Oanh
-
Phạm Quỳnh Anh “var thẳng” Miu Lê
Gia đình
27/12/2019 07:35Hy hữu, một phụ nữ cấp cứu vì uống nguyên vỏ thuốc vào bụng

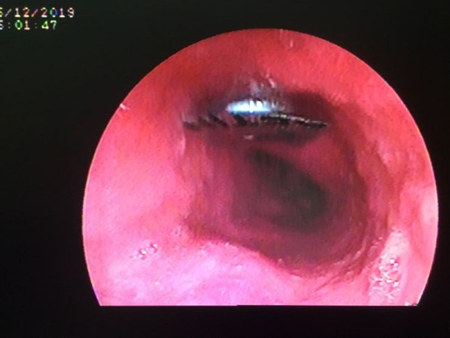
Theo bệnh viện Quận 11, ngày 26/12 bệnh viện đã tiến hành lấy dị vật vỏ thuốc thành công cho bệnh nhân nữ Đ.U.L. 41 tuổi vào viện trong tình trạng đau tức ngực sau xương ức do nuốt phải vỏ thuốc còn nguyên vỏ.
Theo đó, người phụ nữ 41 tuổi nhập viện trong tình trạng đau tức ngực sau xương ức. Sau đó, bệnh nhân được chuyển vào phòng Nội soi để tiến hành nội soi, chẩn đoán cho thấy dị vật viên thuốc còn nguyên vỏ kích thước 9 x 9mm, hình vuông cạnh sắc bén như dao ở thực quản đoạn giữa, có nguy cơ gây thủng thực quản vào trung thất có thể dẫn đến tử vong.

Để tránh nguy cơ viên thuốc sặc vào phổi, Đơn vị Nội soi mời bác sĩ Khoa Gây mê hồi sức tiến hành tiền mê để nội soi gắp dị vật an toàn cho bệnh nhân. Do dị vật sắc bén nên ê kíp bác sĩ phải dùng chụp dị vật bằng silicon để bao dị vật tránh chảy máu và thủng thực quản khi kéo dị vật ra ngoài.
Trong năm 2019, Đơn vị Nội soi tiêu hoá - Bệnh viện Quận 11 đã tiến hành lấy thành công dị vật đường tiêu hoá như: dị vật thuốc còn nguyên vỏ, tăm tre, xương đầu heo nấu cháo, viên đá ngậm chữa bệnh của Đài Loan.
Theo bác sĩ Đinh Trọng Toàn - Phó Trưởng khoa Chẩn đoán hình ảnh, phụ trách Đơn vị Nội soi tiêu hoá, Bệnh viện Quận 11 - khuyến cáo khi uống thuốc người dân cần tập trung không nên nghe điện thoại và không nói chuyện với người khác. Thuốc nên để nguyên vỉ, khi uống lấy từng viên ra uống, không nên cắt rời từng viên hình vuông hay hình thoi khi uống, nếu quên không bóc vỏ sẽ rất nguy hiểm.

Cần tránh những thói quen không tốt như ăn xong ngậm tăm, nằm võng ngủ quên tăm chạy xuống phổi thì tiêu, ngậm viên đá chữa bệnh của Đài Loan năm ngủ viên đá sẽ chạy xuống thực quản.
Bác sĩ Toàn cũng lưu ý khi người dân nấu cháo đầu heo thì phải luộc kỹ xương heo rồi vớt xương ra rửa sạch loại bỏ xương nhỏ. Khi ăn nên ăn từ tốn, ăn xương riêng, cháo riêng. Ăn cháo bằng muỗng nhỏ nhai kỹ không thấy xương mới nuốt, tránh húp cháo bằng tô.
Theo Pha Lê (Báo Dân Sinh)








- Chiêm ngưỡng kiệt tác tôn giáo tráng lệ hơn 100 tuổi ở Ninh Bình (08:18)
- Bắt 4 anh em lợi dụng dân bỏ nhà chạy lũ để trộm cắp tài sản (08:15)
- Nhà ở Thanh Xuân giá chỉ 70 triệu/m2, khách đến xem liền bỏ chạy (08:11)
- Tội phạm mạng và chiêu lừa những lô hàng triệu đô (08:08)
- Sự cố nổ pháo hoa rơi trúng khán giả tại concert Em Xinh (08:05)
- Phương Oanh lên tiếng (08:01)
- Đến nhà chơi, thanh niên ở Cần Thơ cuỗm sạch vàng của mẹ bạn (45 phút trước)
- Ba nhà ngoại giao Qatar thiệt mạng vì lật xe (50 phút trước)
- Hà Nội: Nhiều học sinh vẫn phải dùng thuyền đi học (53 phút trước)
- Ô tô Mercedes S450 cháy dữ dội trên phố ở Hà Nội (1 giờ trước)




