-
Chồng trúng cử đại biểu HĐND tỉnh Quảng Trị khóa IX, động thái của Hoa hậu Đỗ Hà gây chú ý -
Nghi vấn gia đình Hòa Minzy đang tất bật sửa soạn cho "đám cưới thế kỷ" -
Trang Pháp đột ngột "mất tích" trên mạng xã hội, làm dấy lên hàng loạt nghi vấn -
Nghiên cứu mới: Mối quan hệ độc hại có thể khiến con người già nhanh hơn -
Cả gia đình 3 người cùng mắc ung thư gan: Lời cảnh tỉnh từ thói quen dùng tủ lạnh sai cách -
Song Luân bị "tóm dính" đi xem phim đêm cùng hot girl 2k1, nghi vấn hẹn hò ngày càng rõ -
“Tổ tư vấn" 350 triệu đồng mỗi tháng của Mr. Pips vận hành ra sao?” -
Hoà Minzy được đại uý Thăng Văn Cương đưa về ra mắt bạn bè, loạt khoảnh khắc tình tứ gây sốt mạng xã hội -
Thủ đoạn che giấu 2 siêu căn hộ cao cấp 266 tỷ đồng cạnh Hồ Gươm của trùm lừa đảo Mr. Pips -
Cuộc đào tẩu nghẹt thở sát biên giới Thái Lan - Myanmar: Nhảy khỏi xe đang chạy để cứu 3 đồng hương khỏi tập đoàn buôn người
Gia đình
02/06/2021 03:58Một gia đình 6 người thì 4 người lần lượt mắc bệnh ung thư, bác sĩ tức giận chỉ ra: Không phải di truyền mà do thói quen nhỏ của người chồng
Ông Lu Tongfang năm nay 41 tuổi, là một công nhân bình thường ở tỉnh Sơn Tây (Trung Quốc), lương tháng tuy không cao lắm nhưng may mắn là cũng tương đối để ổn định cuộc sống. Sau nhiều năm làm việc chăm chỉ, ông cũng đã mua được một căn nhà ở thành phố để đón cha mẹ già, vợ cùng 2 con lên sống chung.
Trong mắt người ngoài, vợ chồng ông là một cặp vợ chồng kiểu mẫu điển hình, gia đình hòa thuận, cuộc sống an yên. Tuy nhiên, kể từ tháng 3/2016, vận rủi lần lượt ập đến, xé tan gia đình hạnh phúc ban đầu của ông Lu Tongfang ra từng mảnh.
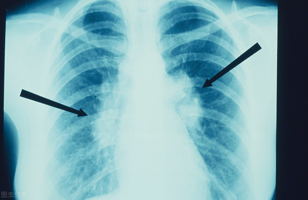
Khi đó, sau một đợt ho liên tục kéo dài và không thuyên giảm dù đã dùng nhiều loại thuốc khác nhau, ông Lu Tongfang cuối cùng đã đến bệnh viện để khám. Qua các xét nghiệm hình ảnh và giải phẫu bệnh, cuối cùng ông được chẩn đoán mắc bệnh ung thư biểu mô tuyến ở phổi giai đoạn cuối.

Ông vốn là trụ cột của gia đình, tin dữ bất ngờ ập đến như một tia sét đánh vào khiến cuộc sống hạnh phúc ban đầu của gia đình ông biến mất trong tích tắc.
May mắn thay, xét nghiệm di truyền cho thấy ông vẫn còn cơ hội. Sau nhiều đợt điều trị nhắm mục tiêu, các tổn thương ở phổi của ông Lu Tongfang thu nhỏ đáng kể và ông dần trở lại cuộc sống bình thường.
Dù vậy, chỉ sau 2 năm, vận đen lại ập đến. Tháng 5/2019, cha mẹ của ông Lu Tongfang tình cờ phải nhập viện do bị cảm nặng. Khi kiểm tra, bác sĩ phát hiện bố mẹ ông có bóng mờ rõ ràng trong phổi, nghi là ung thư phổi.

Sau hàng loạt xét nghiệm, kết luận cuối cùng đúng là như vậy. Điều này khiến ông Lu Tongfang không thể tin được, cha mẹ ông tuy đã già nhưng không bao giờ hút thuốc, uống rượu, cơ thể luôn dẻo dai, tại sao lại mắc bệnh ung thư? May mắn thay, khối u phổi của cha mẹ ông vẫn còn ở giai đoạn đầu, phẫu thuật có hy vọng chữa khỏi rất lớn.
Tìm hiểu bệnh sử, bác sĩ được kể về trường hợp bệnh của ông Lu Tongfang 2 năm trước thì ngay lập tức đề nghị vợ ông cũng nên đi khám. Lúc này, bác sĩ phát hiện ra rằng mặc dù vợ của ông Lu Tongfang không bị ung thư nhưng lại có nhiều nốt ở cả hai phổi. Vì các nốt ác tính thuộc loại ung thư phổi giai đoạn đầu nên sau khi được bác sĩ kiểm tra cẩn thận, một số nốt có thể có độ ác tính cao đã được loại bỏ.
Vậy tại sao gia đình ông Lu Tongfang lại lần lượt mắc bệnh ung thư phổi?
Trong lần giao tiếp sau đó, bác sĩ nhận thấy rằng ông Lu Tongfang là một nhân viên bình thường, không có nhiều sở thích, và thỉnh thoảng thích hút thuốc. Và vì nhận thức về sức khỏe của gia đình ông nhìn chung còn thấp nên không ai ngăn cản ông hút thuốc. Trong lịch sử gần 20 năm hút thuốc, việc hút thuốc của ông cũng phát triển từ vài điếu mỗi ngày lên 1 gói mỗi ngày, rồi đến giờ là 2 gói một ngày.
Không chỉ vậy, ông không bao giờ ra một góc ít người để hút thuốc mà thường hút thuốc trong khi trò chuyện ở nhà, hầu như tất cả mọi người trong gia đình đều tiếp xúc với khói thuốc.


Do đó, những thành viên trong gia đình dù không hút thuốc nhưng cũng tiếp xúc thường xuyên với khói thuốc. Các nghiên cứu hiện đại từ lâu đã chỉ ra rằng khả năng gây ung thư của khói thuốc thực sự tương đương với hút thuốc trực tiếp. Quan trọng hơn, do hít phải khói thuốc trong thời gian dài, 2 con của ông Lu Tongfang luôn trong tình trạng không khỏe mạnh, chậm lớn, biếng ăn và còi cọc.
Các nghiên cứu đã chỉ ra rằng 90% các ca ung thư phổi trên lâm sàng là do hút thuốc lá trực tiếp hoặc gián tiếp. Ngoài ung thư phổi, hút thuốc lá còn có thể gây ra hàng loạt bệnh ung thư khác như ung thư miệng, ung thư thực quản và ung thư gan. Vì vậy, chúng ta phải tích cực bỏ thuốc lá và không khuyến khích những người xung quanh hút thuốc.
Nguồn và ảnh: Sohu, Healthline
Theo PEM (Pháp Luật & Bạn Đọc)
- Giá xăng dầu đồng loạt tăng mạnh từ đêm 19/3, RON 95 tăng hơn 5.000 đồng/lít (19/03/26 23:01)
- Iran tuyên bố tẩy chay địa điểm thi đấu tại Mỹ, World Cup 2026 trước nguy cơ bị chính trị "phủ bóng" (19/03/26 22:20)
- TP.HCM: Nhóm thanh niên ngang nhiên mở tiệc ăn uống trên thùng xe bán tải giữa phố (19/03/26 21:56)
- Chi Pu chính thức chuyển nhượng toàn bộ cổ phần nhà hàng tại Thượng Hải (19/03/26 21:14)
- Tình hình hiện tại của mẹ Hoa hậu Thuỳ Tiên sau thời gian ở ẩn, thông báo mới gây chú ý (19/03/26 20:52)
- Danh tính du khách nước ngoài đâm trọng thương công an ở Lâm Đồng: Hành trình bỏ trốn và bị lực lượng truy bắt (19/03/26 20:32)
- Phát hiện nữ sinh viên tử vong bất thường trong phòng trọ tại Huế (19/03/26 20:13)
- TP.HCM nghiên cứu xóa bỏ vòng xoay Điện Biên Phủ để giải cứu ùn tắc (19/03/26 19:34)
- Vụ gã đàn ông sát hại con rể ở Gia Lai: Nguồn cơn vụ việc và mức án bị cáo phải nhận sau tội ác? (19/03/26 19:08)
- Chủ tịch bị khởi tố vì thất thoát ngân sách, Hóa chất Đức Giang đã thực hiện nghĩa vụ thuế năm 2025 ra sao? (19/03/26 18:46)