-
Khoảnh khắc thót tim cứu hai ông cháu 18 tiếng cầm cự trên mái nhà giữa lũ dữ
-
Thái Nguyên và những giọt nước mắt trong lũ dữ: "Con cháu tôi 3 ngày nay không có cơm"
-
Cả nước bật “chế độ cứu trợ khẩn cấp” hướng về Thái Nguyên
-
Chỉ cần giải quyết vấn đề này, người Hà Nội không còn phải bì bõm lội nước
-
Hỗ trợ khẩn cấp 140 tỷ cho 4 tỉnh khắc phục hậu quả mưa lũ, Thái Nguyên mức cao nhất 50 tỷ
-
Cụ bà 91 tuổi ở Thái Nguyên ngồi canh bát hương chồng trong căn nhà ngập nặng
-
100 thuyền, xuồng từ Chùa Hương tiến về vùng lũ trợ giúp người dân Thái Nguyên, Bắc Ninh
-
Cô gái 20 tuổi trở về từ Malaysia nhập viện cấp cứu vì ngực rỉ dịch xanh bất thường sau một mũi tiêm
-
Ban chấp hành Đảng bộ TP Hà Nội nhiệm kỳ 2025-2030 dự kiến có 75 người
-
Cư dân biệt thự Hà Nội sắm máy bơm "khủng", canh nước ngập như canh "chứng khoán"
Gia đình
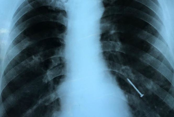
10/07/2018 16:26Người đàn ông bất ngờ bị đinh văng qua miệng xuống phổi

Bác sĩ Phạm Thị Vân Thanh, Khoa Nội soi, Bệnh viện Chợ Rẫy, TP HCM, cho biết bệnh nhân vào viện trong tình trạng ho liên tục 4 tháng, có lúc ho ra máu. Kết quả chẩn đoán hình ảnh phát hiện dị vật nằm ở phế quản thùy dưới bên trái.
Bác sĩ đã nội soi bằng ống mềm gắp thành công dị vật là cây đinh đã gỉ sét khỏi phế quản bệnh nhân. Nếu để lâu, dị vật có thể gây viêm phổi, áp xe phổi, giãn phế quản, ho ra máu. Cây đinh bị gỉ sét nên có thể gây uốn ván. May mắn bệnh nhân chưa bị uốn ván, chỉ viêm phổi nhẹ và có thể tự hết sau khi lấy dị vật.

Bệnh nhân cho biết hoàn cảnh khó khăn, đi biển sửa tàu thuê. Cách đây 4 tháng ông trong lúc đóng đinh vào thân tàu, ông há miệng và không ngờ cây đinh văng vào miệng rồi chui vào phế quản. Từ đó ông ho liên tục nhưng không có tiền đi viện. Gần đây tình trạng ho chuyển nặng, nhiều lúc ho ra máu nên ông mới vào bệnh viện thăm khám.
Theo VnExpress.net








- Khoảnh khắc thót tim cứu hai ông cháu 18 tiếng cầm cự trên mái nhà giữa lũ dữ (12 phút trước)
- Clip 2 em nhỏ khiến kẻ trộm xe máy thất kinh bỏ chạy (23 phút trước)
- Hàng ngàn ô tô nối đuôi dài cả km, "chôn chân" giữa mưa lớn ở TPHCM (26 phút trước)
- Thái Nguyên và những giọt nước mắt trong lũ dữ: "Con cháu tôi 3 ngày nay không có cơm" (31 phút trước)
- Táo đỏ sắp hết hạn, điều gì đang diễn ra trên gian hàng của Hằng Du Mục? (1 giờ trước)
- Lời khai của thanh niên lái ô tô tông vào quán nhậu ở Gia Lai (1 giờ trước)
- Cháy hầm giữ xe tòa nhà 11 tầng ở TPHCM, người dân hoảng hốt tháo chạy (1 giờ trước)
- Nữ hiệu trưởng ở Thái Nguyên bị lũ cuốn tử vong, nhà vẫn trong vùng ngập chưa thể tổ chức tang lễ (1 giờ trước)
- 18 tiếng cầu cứu trên mái nhà, cô gái đi mua thuốc cho con đang sốt cao thì bị lật thuyền ở Thái Nguyên (2 giờ trước)
- Chim lạ bay vào sân, người dân Nghệ An lập tức báo chính quyền - hóa ra là “báu vật” của rừng xanh (2 giờ trước)




