-
Người giàu không quét nhà kiểu như bạn: Bí mật phong thuỷ giữ tài khí qua cây chổi
-
Khoảnh khắc cây cầu biến dạng khi dòng lũ đục ngầu cuồn cuộn đổ về ở Cao Bằng
-
Khớp gối biến dạng, tuyến thượng thận bị suy do uống thảo dược mua từ nước ngoài
-
Hà Nội tiếp tục mưa lớn, lũ sông lên nhanh
-
Thu hồi ngay 3 loại dầu gội đầu, dung dịch vệ sinh là hàng giả
-
Cục CSGT nêu khó khăn trong việc xử phạt qua camera AI
-
Hiệu trưởng xin lỗi vì suất ăn 25.000 đồng như 10.000 đồng
-
Hình ảnh mây đen "như muốn sập xuống" ở Hà Nội
-
Vỡ đập thủy điện Bắc Khê 1 ở Lạng Sơn
-
Thầy giáo bị đồng nghiệp bóp cổ giữa sân trường vì nhắc đỗ xe sai quy định
Gia đình
21/06/2022 13:33Người đàn ông hôn mê sâu, mất toàn bộ phản xạ sau khi đi bơi
Báo Người Lao Động dẫn lời bác sĩ Hồ Hoài Hưng – Phó khoa Ngoại Thần kinh, Bệnh viện Đa khoa Xuyên Á Tây Ninh cho biết đơn vị này vừa tiếp nhận một ca bệnh hi hữu, nguy kịch sau khi đi bơi.
Cụ thể, nam bệnh nhân T.M.N (33 tuổi, trú tại Tây Ninh) nhảy xuống hồ bơi mà không biết nước cạn, đầu va đập với nước gần đáy hồ. Cảm thấy nhức đầu, bệnh nhân trở vệ nhà ngủ, người nhà tưởng anh say.

Tới 20h cùng ngày, người nhà nhiều lần gọi dậy ăn tối nhưng bệnh nhân không đáp lại. Thấy vậy, gia đình nhanh chóng đưa anh đến Bệnh viện Đa khoa Xuyên Á cấp cứu. Tại đây, người bệnh đã hôn mê sâu, mất hết phản xạ, đồng tử phải giãn lớn. Bác sĩ Hưng cho biết nếu đến muộn vài phút nữa thì bệnh nhân sẽ tử vong.
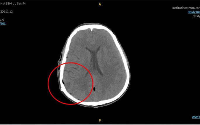
Kết quả chụp CT cho thấy sọ của bệnh nhân có đường nứt nhẹ, xuất huyết não do đứt một mạch máu nhỏ vì chấn thương. Bệnh nhân được đưa vào phòng mổ để cầm máu, hút máu tụ khoảng 150 ml.
Ca phẫu thuật căn thẳng kéo dài gần 3 tiếng. Sau phẫu thuật, người bệnh tiếp tục được hồi sức tích cực và chăm sóc toàn diện ở khoa ICU. Theo bác sĩ Hưng, sau mổ, bênh nhân không gặp di chứng nào, hiện có thể tự mặc quần áo, đi lại, ăn uống và sinh hoạt bình thường.
Báo Sức Khỏe & Đời Sống dẫn lời khuyến cáo của bác sĩ cho hay ngay khi phát hiện các dấu hiệu đột quỵ, đột ngột hôn mê hay co giật, nhất là sau khi bị chấn thương, mọi người cần nhanh chóng đưa bệnh nhân đến các bệnh viện chuyên sâu có chuyên khoa về phẫu thuật thần kinh sọ não để được điều trị trong thời gian vàng, giảm nguy cơ tử vong và hạn chế di chứng do bệnh gây ra.
Theo Đinh Kim (Đời Sống & Pháp Luật)








- Vì sao 7 cầu thủ ngoại mạo hiểm nhập tịch Malaysia? (07/10/25 23:15)
- Vì phong bì phúng viếng, chàng trai bị bạn gái dọa chia tay sau đám tang bà nội (07/10/25 22:56)
- Bayern Munich "cướp" tuyển thủ Anh trước mũi Liverpool (07/10/25 22:31)
- Lũ đặc biệt lớn, Thái Nguyên đối mặt đỉnh lũ vượt kỷ lục 2024 (07/10/25 22:28)
- Kẻ đứng sau hàng loạt buổi livestream xuyên tạc, gây rối ở Gia Lai (07/10/25 22:10)
- Vén màn cơ cấu quyền lực của gia tộc họ Minh và "nữ ma đầu" Minh Trân Trân (07/10/25 22:00)
- Phim Việt giờ vàng thay toàn bộ diễn viên (07/10/25 21:50)
- Hiệu trưởng lên tiếng về những tin nhắn giáo viên của trường vận động phụ huynh đóng góp (07/10/25 21:42)
- 7 người chết và mất tích do bão Matmo, lũ kỷ lục trên sông Cầu (07/10/25 21:34)
- Ngôi nhà 2 tầng ở Hà Nội bốc cháy giữa cơn mưa lớn (07/10/25 21:26)




