-
Bóng đá Đông Nam Á đứng trước cơ hội lịch sử: U23 Việt Nam và U23 Thái Lan cùng dắt tay nhau vào Tứ kết? -
Hơn 100 người ngộ độc sau khi ăn bánh mì: Cơ sở ở Phú Mỹ bị ‘tuýt còi’, mức phạt khiến nhiều người sốc -
Vụ ôtô 5 chỗ bị vò nát sau tai nạn liên hoàn: Gia đình thông tin nóng về tình hình 4 người trong xe -
Cô gái mặc bikini chơi pickleball chính thức lên tiếng sau loạt tranh cãi, tuyên bố 1 câu "xanh rờn" -
Lễ tang Đại tướng Lê Văn Dũng được tổ chức theo nghi thức cấp Nhà nước -
Hoàng Hoa Trung – chủ dự án Nuôi Em đồng loạt bị réo tên trên các page lớn, rộ tin đồn gặp biến lớn? -
Đồ hộp Hạ Long bất ngờ đăng thông báo về công nghệ "tiêu diệt virus tả lợn châu Phi" rồi nhanh chóng gỡ bỏ -
Bê bối thịt bẩn Đồ hộp Hạ Long: Ai đứng sau "lỗ hổng" quản lý khiến người tiêu dùng hoang mang? -
Em gái Đặng Văn Lâm "lột xác" ngoạn mục tuổi 18: Visual "lai tây" cực phẩm, chiều cao 1m80 chuẩn siêu mẫu -
Công bố danh sách phạt nguội 24 giờ qua tại Hà Nội, camera AI giao thông ghi nhận hàng loạt vi phạm bất ngờ
Gia đình
27/12/2015 16:32Phát hiện "kinh ngạc" về việc quan hệ tình dục 3 lần mỗi tuần
Các nhà khoa học phát hiện quan hệ tình dục 3 lần/tuần giúp giảm một nửa nguy cơ đột quỵ. Ngoài ra sex thường xuyên còn đem lại nhiều lợi ích cho sức khỏe, giúp bạn sống lâu hơn.
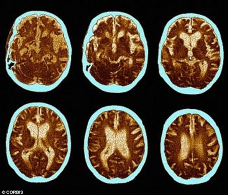
Ngăn chặn chứng mất trí nhớ.
Chúng ta đều biết rằng sự số lượng của tế bào não tỷ lệ nghịch với số tuổi. Thực tế, khi bắt đầu bước vào tuổi 35, mỗi ngày, chúng ta mất 7.000 tế bào não. Đọc thông tin này khiến nhiều người rất lo lắng và bi quan.
![]() |
| Nghiên cứu của Trường Đại học Princeton cho thấy sex thường xuyên giúp chúng ta sản sinh những tế bào não mới. |
Một nghiên cứu khác được công bố trên tạp chí PLoS ONE cũng cho biết quan hệ tình dục kích thích sự tăng trưởng của các tế bào não ở vùng hippocampus, một phần của não chịu trách nhiệm về trí nhớ và khả năng tiếp thu kiến thức.
Các yếu tố như căng thẳng và trầm cảm có thể thu nhỏ vùng hippocampus, trong khi tập thể dục và quan hệ tình dục lại có tác dụng ngược lại.
“Những người lớn tuổi có ít hoạt động tình dục có nguy cơ mất trí nhớ cao”, Tiến sĩ Ghosh, chuyên gia về sức khỏe tình dục tại Bệnh viện Spire, Liverpool (Anh) cho biết.
Không những thế, chuyện phòng the cũng tăng lưu lượng máu đến não, cải thiện mức độ oxy.
“Quét não bằng kỹ thuật cộng hưởng từ (MRI) đã cho thấy đạt cực khoái giúp các tế bào thần kinh trong não hoạt động mạnh hơn và sử dụng nhiều oxy hơn”, Barry Komisaruk, Giáo sư tâm lý học tại Đại học Rutgers giải thích.
Ngăn ngừa bệnh tim.
Nghiên cứu của Trường Đại học Queen ở Belfast, Anh phát hiện quan hệ tình dục 3 lần/tuần có thể giảm một nửa nguy cơ đau tim hoặc đột quỵ.
![]() |
| Nghiên cứu của Trường Đại học Queen phát hiện quan hệ tình dục 3 lần/tuần có thể giảm một nửa nguy cơ đau tim hoặc đột quỵ. |
Tiến sĩ Lisa Turner, chuyên gia quan hệ tình dục và mối quan hệ, cho biết: “ Hóc môn endorphin phóng thích trong thời gian quan hệ tình dục làm trung hòa các hóc môn căng thẳng trong cơ thể, trong đó có liên quan đến bệnh tim”.
Nhiều người cũng đặt ghi vấn khi trước đây có quan niệm sex gây ra các cơn đau tim.
“Nguy cơ đó rất thấp, chỉ chiếm chưa tới 1% trong các trường hợp tử vong vì bênh tim”, Tiến sĩ Graham Jackson, chuyên gia tư vấn bệnh tim mạch tại Bệnh viện London Bridge kiêm Chủ tịch Hiệp hội Tư vấn tình dục nói.
Ngăn ngừa ung thư tuyến tiền liệt
![]() |
| Nam giới yêu thường xuyên ở tuổi 50 có nguy cơ phát triển ung thư tuyến tiền liệt thấp hơn. |
Tiến sĩ Ghosh giải thích: “ Cũng đã có nghiên cứu cho thấy các nhà sư có nguy cơ cao bị ung thư tuyến tiền liệt.'
Ngủ ngon hơn
Nếu bạn đang trở ngược trở xuôi vì không ngủ được, hãy quan hệ tình dục hơn là uống một viên thuốc ngủ.
“Thực tế, Yêu vào buổi tối có nhiều lợi ích hơn là yêu vào buổi sáng. Bởi sau khi đạt khoái cảm, cơ thể luôn muốn được thư giãn, không muốn dậy đi làm.
- Các trường hợp có thể bị kiện tụng, xử lý hình sự khi livestream bắt quả tang ngoại tình lên mạng (17:26)
- Lây thủy đậu từ con, người đàn ông 36 tuổi nguy kịch vì biến chứng viêm phổi ARDS (17:13)
- Cập nhật bảng giá xe ô tô BYD mới nhất tháng 1/2026 (17:02)
- Bóng đá Đông Nam Á đứng trước cơ hội lịch sử: U23 Việt Nam và U23 Thái Lan cùng dắt tay nhau vào Tứ kết? (1 giờ trước)
- Tôi gác việc ở nhà làm "bố bỉm" toàn thời gian: 6 tháng kiệt sức và bài học về nỗi ám ảnh mang tên bát cháo (1 giờ trước)
- Hơn 100 người ngộ độc sau khi ăn bánh mì: Cơ sở ở Phú Mỹ bị ‘tuýt còi’, mức phạt khiến nhiều người sốc (1 giờ trước)
- Nam ca sĩ nổi tiếng tử nạn máy bay, xót xa lời tiên tri về cái chết được dự báo trước (1 giờ trước)
- Hiểm họa khôn lường từ thói quen đi sát nhau của các tài xế xe máy (1 giờ trước)
- Bắt giữ thanh niên 10X đột nhập nhà, khống chế cụ bà 87 tuổi để cướp tài sản (1 giờ trước)
- Thế giới nín thở chờ quyết định của ông Trump: Những kịch bản can thiệp vào Iran được đặt lên bàn nghị sự (1 giờ trước)


