-
Cả nước bật “chế độ cứu trợ khẩn cấp” hướng về Thái Nguyên
-
Chỉ cần giải quyết vấn đề này, người Hà Nội không còn phải bì bõm lội nước
-
Hỗ trợ khẩn cấp 140 tỷ cho 4 tỉnh khắc phục hậu quả mưa lũ, Thái Nguyên mức cao nhất 50 tỷ
-
Cụ bà 91 tuổi ở Thái Nguyên ngồi canh bát hương chồng trong căn nhà ngập nặng
-
100 thuyền, xuồng từ Chùa Hương tiến về vùng lũ trợ giúp người dân Thái Nguyên, Bắc Ninh
-
Cô gái 20 tuổi trở về từ Malaysia nhập viện cấp cứu vì ngực rỉ dịch xanh bất thường sau một mũi tiêm
-
Ban chấp hành Đảng bộ TP Hà Nội nhiệm kỳ 2025-2030 dự kiến có 75 người
-
Cư dân biệt thự Hà Nội sắm máy bơm "khủng", canh nước ngập như canh "chứng khoán"
-
Vì sao mưa bão cực lớn, dị thường liên tiếp trút xuống gây ngập lụt lịch sử?
-
Chóng mặt khi đang làm việc, người đàn ông đột ngột rơi vào nguy kịch
Gia đình
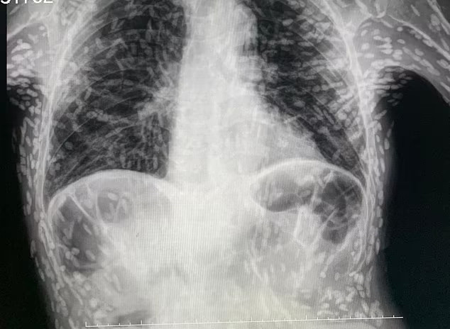
13/05/2023 06:21Phim X-quang hé lộ nguyên nhân ít ngờ khiến bệnh nhân ho dai dẳng
Theo Daily Mail, hình ảnh do bác sĩ Vitor Borin de Souza (Bệnh viện Clinicas in Botucatu, Brazil) cung cấp. Trên phim có hàng trăm đốm trắng, mỗi đốm đại diện cho phần bị vôi hóa của một loại ký sinh trùng.
Tình trạng này, được gọi là bệnh nang sán, xảy ra khi ấu trùng của một loài sán dây, thường sống trong ruột, xâm nhập vào các mô như cơ hoặc não. Ở đó, chúng tạo thành các nốt cứng giống như u nang dưới da.

Mặc dù gây khó chịu nhưng các ấu trùng đã chết nên thường vô hại trừ khi tồn tại trong não, dây thần kinh hoặc mắt. Bác sĩ Souza lý giải: “Người bệnh ăn phải trứng sán dây (tồn tại trong chất thải của người bị sán dây). Bởi vậy, bạn phải rửa kỹ thực phẩm trước khi ăn”.
Bệnh nhân trên cần chụp MRI để kiểm tra có bất kỳ u nang nào trong não hay không. Nếu tồn tại ở vị trí đó, các u nang do ký sinh trùng để lại có thể gây ra nguy hại cho sức khỏe.
Khi đó, bệnh nhân có thể đau đầu, thậm chí co giật, lú lẫn, chóng mặt và não úng thủy, tình trạng dư thừa chất lỏng trong não. Bác sĩ thường chỉ định loại bỏ u nang trong những trường hợp này. U nang cũng có thể xâm nhập vào mắt, gây mờ hoặc rối loạn thị lực và có khả năng gây nhiễm trùng.
Bản thân các u nang có thể chỉ phát triển vài tháng hoặc vài năm sau khi nhiễm trứng sán dây ban đầu.
Sán dây gây bệnh nang sán có tên là Taenia solium, còn được gọi là sán dây lợn. Trứng của loài này được truyền từ người sang người qua phân, do nguồn nước bị nhiễm bệnh hoặc rửa tay không sạch sẽ khi chuẩn bị thức ăn.
Tổ chức Y tế Thế giới (WHO) ước tính ấu trùng Taenia solium phát triển trong não là nguyên nhân gây ra tới 70% các trường hợp động kinh ở một số nơi trên thế giới. Khoảng 2,5 triệu người được cho là nhiễm Taenia solium mỗi năm, phổ biến ở các vùng nghèo của châu Á, Nam Mỹ và Đông Âu.
Theo An Yên (VietNamNet)








- Bộ Công Thương: Đơn tố cáo bà Chu Thanh Huyền "tương đối phức tạp" (24 phút trước)
- Bắt tạm giam đối tượng 71 tuổi hiếp dâm bé gái 10 tuổi ở An Giang (33 phút trước)
- Công ty thuộc hệ sinh thái NextTech của Shark Bình lên tiếng về dự án tiền số AntEx (35 phút trước)
- Hoài Lâm quyết định sốc chưa từng có (39 phút trước)
- Cả nước bật “chế độ cứu trợ khẩn cấp” hướng về Thái Nguyên (39 phút trước)
- Báo Anh: "Tuyển Malaysia gian lận trắng trợn" (43 phút trước)
- Chỉ cần giải quyết vấn đề này, người Hà Nội không còn phải bì bõm lội nước (51 phút trước)
- Kỹ sư Lê Văn Tạch: Lái xe thoát qua đường ngập nước thành công, đừng vội mừng (54 phút trước)
- MU họp với dàn sao trụ cột xem giữ hay sa thải Ruben Amorim (1 giờ trước)
- Truy tìm để đánh đối thủ, nhóm 12 đối tượng khiến 2 thiếu niên thương vong (1 giờ trước)




