-
Suất ăn 25.000 đồng như 10.000 đồng: Nhà trường chỉ bị kiểm điểm?
-
Ông bố U70 bơi 4 tiếng qua dòng nước ngập, đem đồ ăn cho con gái ở Thái Nguyên
-
Phát hiện thi thể nữ giới có hình xăm bông hoa ở chân tại bãi biển Vũng Tàu
-
Hiện trạng khu đất "ông bầu" Cao Tiến Đoan thu lợi bất chính 191 tỉ đồng
-
Quân đội xuất quân hỗ trợ nhân dân phòng, chống dịch bệnh sau ngập lụt
-
Đã hết “concert quốc gia” nhưng nữ ca sĩ này vẫn chạy show chính luận mệt nghỉ
-
Phát hiện thi thể người đàn ông mất tích nhiều ngày tại Huế
-
5 chỉ đạo của Thủ tướng sau vụ cháy nhà ở phường Văn Miếu - Quốc Tử Giám
-
Hình ảnh mới nhất của Phương Oanh
-
Phạm Quỳnh Anh “var thẳng” Miu Lê
Gia đình
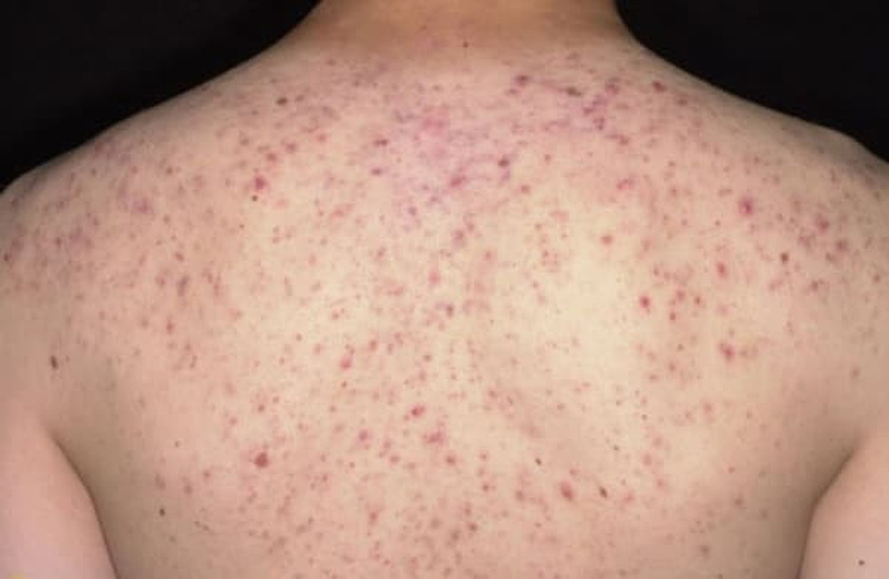
26/08/2022 16:31Rối loạn ý thức, suýt tử vong sau 30 phút lăn kim trị mụn ở lưng tại spa
Theo VTV.vn dẫn nguồn từ trung tâm chống độc, Bệnh viện Bạch Mai (Hà Nội) thông tin vừa tiếp nhận điều trị chị H. (36 tuổi) trong tình trạng sốc nặng, huyết áp không đo được, giảm oxy máu, lơ mơ.
Theo thông tin từ bệnh viện, bệnh nhân có đến cơ sở thẩm mỹ để tẩy mụn trứng cá ở lưng. Nhân viên spa đã bôi thuốc tê nửa lưng cho bệnh nhân rồi ủ tê bằng màng bọc thực phẩm.
Sau khi lau thuốc tê, bước tiếp theo là dùng bàn lăn kim (dài 2mm) kết hợp với thuốc đông y để trị mụn. Khoảng 30 phút sau, bệnh nhân xuất hiện đỏ toàn thân, ngứa, khó thở và rối loạn ý thức. Bệnh nhân được cơ sở spa sơ cứu tại chỗ rồi chuyển đến Trung tâm Chống độc, Bệnh viện Bạch Mai.
Tại Trung tâm Chống độc, bệnh nhân đã được xử trí cấp cứu bằng các biện pháp điều trị sốc phản vệ. Ban đầu, tình trạng bệnh nhân có cải thiện nhưng sau đó lại xuất hiện rối loạn nhịp tim.

Bệnh nhân được chẩn đoán sốc phản vệ kết hợp bị ngộ độc lidocaine (thuốc gây tê tại chỗ hấp thu qua da trên diện rộng và từ từ gây ngộ độc). Các bác sĩ đã tiến hành cấp cứu và kết hợp lọc máu liên tục cho bệnh nhân. Sau 5 ngày điều trị tích cực, sức khỏe bệnh nhân đã dần hồi phục.
TS.BS.Nguyễn Trung Nguyên - Giám đốc Trung tâm Chống độc, Bệnh viện Bạch Mai cho biết trên VietNamNet, loại thuốc tê đã dùng cho bệnh nhân ở dạng gel (tương tự kem bôi) chứa lidocain với hàm lượng trên 15% (hàm lượng rất cao so với loại thuốc tê dùng để tiêm thường chỉ ở nồng độ 2%).
Loại gel gây tê này đồng thời có chứa tá dược là methylparaben cũng có thể gây dị ứng. Trường hợp của bệnh nhân trên là ca điển hình của ngộ độc thuốc tê do bị quá liều thuốc tê lidocain. Ban đầu, bệnh nhân không may bị sốc phản vệ nhiều khả năng là do methyl paraben. Nhưng chính điều này lại giúp bệnh nhân nhanh chóng được đưa đến viện để cấp cứu hồi sức.
Sau đó khi thuốc tê ngấm từ từ qua da tới mức gây ngộ độc, gây loạn nhịp tim muộn cũng là lúc bệnh nhân đã ở bệnh viện nên đã được điều trị một cách phù hợp giúp qua khỏi tình trạng ngộ độc thuốc tê.
Trong trường hợp bệnh nhân không bị sốc phản vệ (trên thực tế xác suất bị dị ứng hoặc phản vệ là thấp) có thể bệnh nhân đã vẫn ở cơ sở Spa. Khi thuốc tê được hấp thu tới mức ngộ độc, bị loạn nhịp tim hoặc co giật rất dễ tử vong tại chỗ do tình trạng này nặng, nguy kịch và khó xử trí ngoài bệnh viện hơn rất nhiều.
TS.BS Nguyên đưa ra khuyến cáo ngộ độc thuốc gây tê rất nặng, nguy kịch, dễ tử vong và dễ dàng xảy ra với nhiều phẫu thuật, thủ thuật thẩm mỹ như bôi thuốc tê rộng trên da, đặc biệt kết hợp lăn kim trên da hoặc trên vùng da có tổn thương hoặc bệnh da có sẵn, gây tê lấy mỡ bụng, gây tê tủy sống. Đây đều là các trường hợp đòi hỏi người thực hiện là các nhân viên y tế được đào tạo chuyên khoa và tiến hành ở các bệnh viện có điều kiện cấp cứu hồi sức mới có thể đủ năng lực phòng tránh và xử trí các tai biến ngộ độc do thuốc tê.
Người dân khi muốn làm thẩm mỹ với các thủ thuật, kỹ thuật xuyên qua da (gây chảy máu, hay còn gọi là các thủ thuật/kỹ thuật xâm nhập thường bằng kim hoặc dao mổ) hoặc có bôi/đắp các thuốc trên diện da rộng cần tới các bệnh viện đảm bảo đúng chuyên môn về thẩm mỹ và cấp cứu hồi sức.
PN (Nguoiduatin.vn)








- Hot girl Lào cầu cứu vì bị móc trộm iPhone 17 Pro Max (11/10/25 22:03)
- Bố con chú rể đạp liên tiếp vào đầu tài xế vì từ chối chở đi đón dâu (11/10/25 21:41)
- Ô tô tông phụ nữ chở con nhỏ giữa đường rồi bỏ chạy: Bất ngờ mối quan hệ giữa hai người (11/10/25 21:30)
- Lời tự thú cực sốc của ông chồng ham của lạ: "Không đánh ghen nhưng vợ làm tôi ám ảnh cả đời" (11/10/25 21:12)
- Điểm chung của các thiếu gia trong các gia đình tài phiệt Việt Nam: Con trai tỷ phú Phạm Nhật Vượng, doanh nhân Đỗ Vinh Quang... đều trùng hợp đặc biệt (11/10/25 21:06)
- Yến Nhi và 76 người đẹp đấu lượt bình chọn ảnh áo tắm (11/10/25 21:00)
- Hỗ trợ sửa chữa đồ điện tử miễn phí cho người dân vùng lũ Thái Nguyên (11/10/25 20:56)
- Kịch bản FIFA bốc thăm chọn đội đi World Cup (11/10/25 20:52)
- Hỏa hoạn thiêu rụi 2 xe bồn chở xăng dầu cạnh cửa hàng Petrolimex (11/10/25 20:42)
- Chủ tịch Hà Nội: TP bị động từ khâu dự báo trong trận mưa ngập bão số 10 (11/10/25 20:15)




