-
Người giàu không quét nhà kiểu như bạn: Bí mật phong thuỷ giữ tài khí qua cây chổi
-
Khoảnh khắc cây cầu biến dạng khi dòng lũ đục ngầu cuồn cuộn đổ về ở Cao Bằng
-
Khớp gối biến dạng, tuyến thượng thận bị suy do uống thảo dược mua từ nước ngoài
-
Hà Nội tiếp tục mưa lớn, lũ sông lên nhanh
-
Thu hồi ngay 3 loại dầu gội đầu, dung dịch vệ sinh là hàng giả
-
Cục CSGT nêu khó khăn trong việc xử phạt qua camera AI
-
Hiệu trưởng xin lỗi vì suất ăn 25.000 đồng như 10.000 đồng
-
Hình ảnh mây đen "như muốn sập xuống" ở Hà Nội
-
Vỡ đập thủy điện Bắc Khê 1 ở Lạng Sơn
-
Thầy giáo bị đồng nghiệp bóp cổ giữa sân trường vì nhắc đỗ xe sai quy định
Gia đình
20/08/2018 22:20Sưng và chảy nước mắt nhiều tháng liền mà vẫn chủ quan, đến khi đi khám người phụ nữ mới té ngửa vì thứ này trong mắt suốt 28 năm
Không thể phủ nhận rằng kính áp tròng là món đồ "thần thánh" dành cho các chị em muốn xinh đẹp lung linh nhưng chẳng may bị cận. Vì chỉ cần đeo chiếc kính áp tròng vào thì chẳng cần cặp mắt kính dày cộp nữa mà đôi mắt lại thêm phần long lanh đầy quyến rũ. Nhưng trong một số trường hợp, thay vì làm cho cuộc sống của chúng ta dễ dàng hơn, chúng có thể gây phiền toái. Bởi kính áp tròng lại là thứ tiếp xúc trực tiếp với mắt, nếu sử dụng không đúng cách hoặc lạm dụng quá mức thì có thể gây hậu quả khôn lường.
Mới đây, trong báo cáo y học đăng trên tạp chí BMJ Case Reports, bác sĩ Sirjhun Patel, Lai-Ling Tan và Helen Murgatroyd làm việc tại Bệnh viện Ninewells đã kể lại một trường hợp vô cùng hy hữu về người phụ nữ 42 tuổi đến từ Dundee (Scotland) để quên kính áp tròng trong mắt suốt 28 năm mà không hay biết.

Theo đó, khoảng 6 tháng trước đó, bệnh nhân nữ này bị sưng mắt trái và liên tục chảy nước mắt nhưng vẫn chủ quan không đi khám. Cho đến gần đây, khi đã quá khó chịu, người phụ nữ mới chịu đến gặp bác sĩ để kiểm tra.
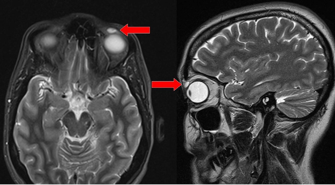
Sau khi thăm khám và chụp MRI, các bác sĩ chuẩn đoán có một khối u nang đường kính 6mm ở trong mắt người phụ nữ này vì vậy họ lên kế hoạch phẫu thuật để loại bỏ nó. Tuy nhiên, đến khi tiến hành mổ mắt bác sĩ mới giật mình thảng thốt vì đó không phải khối u mà là vật thể lạ gì đó. Họ phải hết sức cẩn thận gỡ ra và phát hiện đó chính là một chiếc kính áp tròng.

Lúc này, người phụ nữ cũng thấy hoang mang vì cô khẳng định rằng trong suốt nhiều năm qua cô không hề sử dụng kính áp trong và không hiểu vì sao nó có thể lọt vào mắt cô như vậy. Tuy nhiên, sau đó mẹ của người phụ nữ mới nhớ ra rằng vào năm 14 tuổi, cô thích chơi cầu lông và bị quả cầu bay đập vào mắt. Nhưng khi đó cô nghĩ rằng chiếc kính áp tròng đã rơi ra rồi nên không để ý, ai ngờ cú va đập đó đã khiến chiếc kính ăn sâu vào mắt và yên vị ở đó suốt 28 năm mà chủ nhân không hay biết.

Trước đó, hồi tháng 7 năm 2017, một phụ nữ 67 tuổi cũng khiến cả giới y học phải kinh ngạc khi đeo tới 27 chiếc kính áp tròng suốt 35 năm mà không tháo ra. Sau khi cảm thấy khó chịu ở mắt, người phụ nữ mới tới bệnh viện để khám. Tại đây, các bác sĩ đã vô cùng kinh ngạc khi tìm thấy tổng cộng 27 chiếc kính áp tròng trong mắt của bà. Trường hợp hy hữu này đã được các bác sĩ của Bệnh viện Solihull, Birmingham, Anh Quốc tiếp nhận vào tháng 11/2016. Tuy nhiên, đến tháng 7 năm ngoái mới được công bố trên tạp chí Y học của Anh.

Bác sĩ Rupal Morjaria cho biết đây là trường hợp hy hữu nhất mà ông từng thấy trong sự nghiệp làm ngành y của mình. Những chiếc kính áp tròng bám chặt lại thành một cục lớn. Trong đó, 17 chiếc dính liền với nhau, 10 chiếc còn lại thì nằm rải rác trong mắt.
Điều khiến người ta thắc mắc là tại sao người phụ nữ không hề nhận ra dấu hiệu bất thường của đôi mắt mình mặc dù cảm giác bị dính kính áp tròng ở mắt rất khó chịu. Theo lời kể của bệnh nhân, bà đã đeo kính áp tròng loại 1 tháng suốt 35 năm nay nhưng lại không tháo ra theo định kỳ.
Theo L.T (Helino)








- Vì sao 7 cầu thủ ngoại mạo hiểm nhập tịch Malaysia? (07/10/25 23:15)
- Vì phong bì phúng viếng, chàng trai bị bạn gái dọa chia tay sau đám tang bà nội (07/10/25 22:56)
- Bayern Munich "cướp" tuyển thủ Anh trước mũi Liverpool (07/10/25 22:31)
- Lũ đặc biệt lớn, Thái Nguyên đối mặt đỉnh lũ vượt kỷ lục 2024 (07/10/25 22:28)
- Kẻ đứng sau hàng loạt buổi livestream xuyên tạc, gây rối ở Gia Lai (07/10/25 22:10)
- Vén màn cơ cấu quyền lực của gia tộc họ Minh và "nữ ma đầu" Minh Trân Trân (07/10/25 22:00)
- Phim Việt giờ vàng thay toàn bộ diễn viên (07/10/25 21:50)
- Hiệu trưởng lên tiếng về những tin nhắn giáo viên của trường vận động phụ huynh đóng góp (07/10/25 21:42)
- 7 người chết và mất tích do bão Matmo, lũ kỷ lục trên sông Cầu (07/10/25 21:34)
- Ngôi nhà 2 tầng ở Hà Nội bốc cháy giữa cơn mưa lớn (07/10/25 21:26)




