-
Nhà chung cư: Bài học ở tầng 27 rồi chuyển xuống tầng 3 - Đừng để “view đẹp” lừa bạn
-
Kịch tính bầu cử: Nhật Bản sắp có nữ thủ tướng đầu tiên hoặc thủ tướng trẻ nhất
-
Những chiếc xe có màn lội nước ấn tượng ở trận ngập lụt Hà Nội
-
Phúc đức 3 đời nếu nhà bạn có 4 dấu hiệu này, con cháu không bao giờ thất bát
-
Đang đứng trên sông, người đàn ông bị điện giật tử vong trước sự bàng hoàng của đám đông
-
Hiện trường kinh hoàng vụ sập gãy hoàn toàn đường dẫn lên cây cầu ở Tuyên Quang
-
Nước ngập sâu "không xe nào sống", chiếc Honda Dream này vẫn bon bon lội: Bí mật nằm ở chiếc ống ruột gà
-
Nghịch lý tại Thái Lan: Giá vàng thật lập kỷ lục, người dân đổ xô mua... vàng giả
-
Tổng thống Putin gửi thông điệp "thư giãn, ngủ ngon" tới phương Tây
-
Ngày càng nhiều người chết vì bệnh thận, bác sĩ chỉ đích danh 4 thói quen "phá thận" hơn uống rượu
Gia đình
27/06/2023 01:59Suýt chết ở tuổi 31 do thói quen rất nhiều đàn ông Việt đang mắc phải
Nam bệnh nhân cho biết có tiền sử hút thuốc lá 10 năm liên tục, mỗi ngày hút từ nửa bao đến 1 bao thuốc lá. Các xét nghiệm thăm dò tại Bệnh viện Bãi Cháy (Quảng Ninh) phát hiện tình trạng đái tháo đường, men tim tăng nhẹ. Đáng chú ý kết quả điện tim không có biến đổi bất thường, nhịp xoang đều, không có dấu hiệu nhồi máu cơ tim đặc hiệu.
Tuy nhiên, hai tiếng sau, bệnh nhân xuất hiện tình trạng đau ngực, vã mồ hôi trở lại, huyết áp tụt 60/40mmgHg, nhịp tim chậm 39 lần/phút.
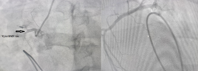
Ngay lập tức, các bác sĩ đã xử trí nâng huyết áp, chuyển thẳng bệnh nhân đến phòng can thiệp tim mạch đặt máy tạo nhịp tim tạm thời với điện cực trong buồng tim. Kết quả chụp mạch vành trên hệ thống chụp mạch số hóa xóa nền DSA phát hiện động mạch vành phải tắc hoàn cuối đoạn 1.
Nhóm bác sĩ can thiệp nong bóng, đặt 1 stent vào động mạch vành phải để tái thông dòng chảy cho mạch vành tưới máu cơ tim cải thiện. Ngay sau can thiệp, cơ tim hồi phục hoàn toàn, nhịp tim quay về nhịp xoang đều 80 lần/phút, bệnh nhân thoát nguy kịch.

Sau 24 giờ can thiệp, bệnh nhân được rút điện cực máy tạo nhịp tạm tời, không còn đau ngực, chỉ số sinh tồn ổn định.
Thạc sĩ Đinh Danh Trình, Phó Trưởng khoa Tim mạch, Bệnh viện Bãi Cháy, cho biết tắc động mạch vành là tình trạng nguy hiểm, nếu không điều trị kịp thời có thể gây ra nhồi máu cơ tim do tắc nghẽn đột ngột mạch máu nuôi tim, tàn phế, thậm chí tử vong.
Theo các bác sĩ, thực tế những biến chứng tim mạch nặng như nhồi máu cơ tim, đột quỵ ở người trẻ, đặc biệt lứa tuổi dưới 40, hầu hết là những người hút thuốc lá nhiều. Bệnh nhân này có tuổi đời trẻ nhưng có rất nhiều yếu tố nguy cơ có thể dẫn đến nhồi máu cơ tim như thừa cân, đái tháo đường chưa phát hiện, hút thuốc lá nhiều năm với số lượng lớn…
Hút thuốc lá gây vữa xơ động mạch. Theo thời gian, các mảng xơ vữa lớn dần lên gây hẹp lòng mạch tại một hay nhiều nhánh động mạch vành, làm giảm lưu lượng máu đến nuôi cơ tim. Nếu tắc các mạch máu lớn hoặc tắc mạch trên phạm vi rộng do các mảng xơ vữa long ra gây bít tắc, ở nhiều vị trí thì có thể gây ảnh hưởng đến khả năng bơm máu của tim, gây nhồi máu cơ tim, nhồi máu não, thậm chí là ngừng tim.
Để giảm nguy cơ tắc mạch vành, nhồi máu cơ tim ở người trẻ, cần:
- Có chế độ ăn uống hợp lý, tránh ăn mỡ và nội tạng động vật, ăn đủ rau quả, từ bỏ thói quen hút thuốc lá, không lạm dụng rượu bia, tập thể dục đều đặn, giữ cân nặng hợp lý, tránh căng thẳng tâm lý, điều trị tốt các bệnh lý nếu có như tăng huyết áp, đái tháo đường, rối loạn mỡ máu…
- Chú trọng khám sức khỏe định kỳ, khám chuyên khoa tim mạch khi có các triệu chứng bất thường để phát hiện và điều trị sớm bệnh lý động mạch vành, giúp phòng ngừa nhồi máu cơ tim và các biến chứng.
- Khi xuất hiện các dấu hiệu như đau tức vùng ngực, khó thở, toát mồ hôi lạnh, nôn, choáng váng… cần đến thăm khám tại các cơ sở y tế có chuyên khoa tim mạch để chẩn đoán và can thiệp điều trị nhồi máu cơ tim kịp thời.
Theo Võ Thu (VietNamNet)








- Một kiểu "BẤT HIẾU" mới âm thầm xuất hiện - Con cái coi cha mẹ như bảo mẫu miễn phí, cha mẹ thì cười: "Chuyện nên làm mà..." (16:27)
- Sự thật về người bán nước trúng 8 vé số độc đắc, cúng 5 con heo quay giữa vòng xoay (16:26)
- Hà Tĩnh: Vẽ “Dự án ven đất nền ven sông” Công ty Đông Quân bị phạt hơn 500 triệu đồng (16:25)
- Cựu Giám đốc CDC Bình Thuận bị khởi tố trong vụ án đấu thầu thiết bị y tế (16:23)
- Nghe cuộc gọi có nội dung này, hãy tắt máy ngay lập tức (16:12)
- Trương Vinh Hiển "đã không fair-play lại còn thiếu tôn trọng Lý Hoàng Nam" (16:10)
- “Mỹ nam vạn người mê Cbiz” thừa nhận "khuyết tật" tâm lý: Không dám có con vì lý do này! (16:01)
- Chỉ sau một cơn mưa đường TPHCM lại thành 'sông', người và xe đua nhau "bơi" trên phố (40 phút trước)
- Cháy nhà ở Thái Lan, 7 người trong một gia đình tử vong (44 phút trước)
- Những vật dụng không nên cho vào máy sấy quần áo bạn cần phải biết (50 phút trước)




