-
Người giàu không quét nhà kiểu như bạn: Bí mật phong thuỷ giữ tài khí qua cây chổi
-
Khoảnh khắc cây cầu biến dạng khi dòng lũ đục ngầu cuồn cuộn đổ về ở Cao Bằng
-
Khớp gối biến dạng, tuyến thượng thận bị suy do uống thảo dược mua từ nước ngoài
-
Hà Nội tiếp tục mưa lớn, lũ sông lên nhanh
-
Thu hồi ngay 3 loại dầu gội đầu, dung dịch vệ sinh là hàng giả
-
Cục CSGT nêu khó khăn trong việc xử phạt qua camera AI
-
Hiệu trưởng xin lỗi vì suất ăn 25.000 đồng như 10.000 đồng
-
Hình ảnh mây đen "như muốn sập xuống" ở Hà Nội
-
Vỡ đập thủy điện Bắc Khê 1 ở Lạng Sơn
-
Thầy giáo bị đồng nghiệp bóp cổ giữa sân trường vì nhắc đỗ xe sai quy định
Gia đình
24/03/2021 20:51Trường hợp gãy 2 xương cẳng chân trong bóng đá như tiền vệ Hùng Dũng có ảnh hưởng như thế nào?
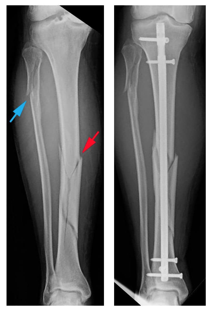
Tối 23/3, sau một pha tranh bóng với cầu thủ Ngô Hoàng Thịnh từ đội bóng đá TP.HCM, tiền vệ Đỗ Hùng Dũng của đội Hà Nội FC đã bị chấn thương nghiêm trọng. Cụ thể, tiền vệ Ngô Hoàng Thịnh đã có pha vào bóng cả hai chân vào thẳng ống đồng của Đỗ Hùng Dũng. Chân của Hùng Dũng gãy gập.
Ngay sau đó, các bác sĩ vào sân, nẹp cố định cổ chân và đưa Hùng Dũng đi cấp cứu tại BV Trưng Vương (quận 10), sau đó được chuyển đến BV Vạn Hạnh.

Khi nhập viện, đại diện BV Vạn Hạnh cho biết dù đau nhiều nhưng Hùng Dũng có sinh hiệu ổn định, các chỉ số mạch, huyết áp bình thường và tỉnh táo, tiếp xúc tốt. Kết quả chụp X-quang cho thấy bệnh nhân bị gãy xương mác và xương chày ở 1/3 giữa dưới cẳng chân khá nghiêm trọng.
8h sáng ngày 24/3, tiền vệ Đỗ Hùng Dũng được đưa vào phòng phẫu thuật. Theo thông tin mới nhất từ BV, cuộc mổ đã kết thúc lúc 10h30. Theo dự kiến ban đầu, Hùng Dũng sẽ mất khoảng 6 tháng mới có thể trở lại tập với bóng.
Gãy 2 xương cẳng chân trong bóng đá được coi là một chấn thương nghiêm trọng. Mới đây, BS Trương Công Dũng, chuyên gia Chấn thương chỉnh hình và Y học thể thao đã có những chia sẻ một số thông tin chuyên môn liên quan đến kiểu chấn thương này.

Kiểu gãy: Kín, không có vết thương hở chảy máu, kiểu gãy ngang đơn giản
Cách điều trị: Mổ hở Kết Hợp Xương
Phương pháp:
- Kết hợp xương chày = nẹp vít (plate) hoặc đinh nội tuỷ có chốt (Intramedullary locking nail)
- Kết hợp xương mác = nẹp vít hoặc kim Kirschner
Thời gian mổ: 90-120 phút
Nằm viện: 3-5 ngày
Phục hồi: Đi nạng 6-10 tuần
Lành xương: 6-10 tháng (tuỳ phương pháp mổ)
Chạy nhảy nhẹ: 4- 5 tháng
Thể thao không đối kháng: 6-8 tháng
Thể thao đối kháng: 8-10 tháng
Di chứng biến chứng: Xương không lành, khớp giả, chậm liền xương (ít, có thể xảy ra ở xương mác)
Nhiễm trùng, viêm xương: Ít gặp.
Cứng khớp, đau khớp, thoái hoá khớp gối & cổ chân: Ít gặp
Về lâu dài: Lấy nẹp vít ra sau 2-3 năm
Sau khi lấy vít: 6 tháng không hoạt động thể thao có va chạm
Nếu để nẹp lâu quá: Có thể dẫn đến loãng xương dưới nẹp, dễ gãy xương 2 đầu nẹp
Nếu là đinh nội tuỷ: Không gây loãng xương dứoi nẹp, có thể để lâu hơn, có thể đau trước gối làm hạn chế chạy nhảy.
Theo PV (Pháp Luật & Bạn Đọc)








- Vì sao 7 cầu thủ ngoại mạo hiểm nhập tịch Malaysia? (07/10/25 23:15)
- Vì phong bì phúng viếng, chàng trai bị bạn gái dọa chia tay sau đám tang bà nội (07/10/25 22:56)
- Bayern Munich "cướp" tuyển thủ Anh trước mũi Liverpool (07/10/25 22:31)
- Lũ đặc biệt lớn, Thái Nguyên đối mặt đỉnh lũ vượt kỷ lục 2024 (07/10/25 22:28)
- Kẻ đứng sau hàng loạt buổi livestream xuyên tạc, gây rối ở Gia Lai (07/10/25 22:10)
- Vén màn cơ cấu quyền lực của gia tộc họ Minh và "nữ ma đầu" Minh Trân Trân (07/10/25 22:00)
- Phim Việt giờ vàng thay toàn bộ diễn viên (07/10/25 21:50)
- Hiệu trưởng lên tiếng về những tin nhắn giáo viên của trường vận động phụ huynh đóng góp (07/10/25 21:42)
- 7 người chết và mất tích do bão Matmo, lũ kỷ lục trên sông Cầu (07/10/25 21:34)
- Ngôi nhà 2 tầng ở Hà Nội bốc cháy giữa cơn mưa lớn (07/10/25 21:26)




