-
Nỗi lòng nàng dâu bị gán mác "ích kỷ" vì lịch về quê ăn Tết: Khi công việc và chữ hiếu khó vẹn đôi đường -
Miền Bắc đón không khí lạnh lệch đông: Mưa phùn, sương mù bao phủ diện rộng -
Bê bối "sữa ngừa ung thư" giả: Nguyên liệu Trung Quốc "đội lốt" hàng Nhật, 200.000 hộp đã bán ra thị trường -
Thủ đoạn "giết người" không dao của đôi vợ chồng ở Bắc Ninh, giềng xay được "phù phép" bằng chất gây ung thư -
Uống rượu hôm trước, sáng hôm sau vẫn "dính" nồng độ cồn: Bộ Công an lý giải điều nhiều tài xế hay nhầm -
Nóng: Clip hai người mặc đồng phục bảo vệ chặn ô tô, thách thức tài xế ở TPHCM -
Hà Nội: Tài xế xe rác bị phạt 23 triệu đồng vì để chất bẩn che lấp biển số nhiều ngày -
Chu Thanh Huyền gây sốt với visual búp bê, Quang Hải "xin vía" sinh con gái, háo hức lên chức bố lần hai -
Cận cảnh hiện trường vụ cháy cụm công nghiệp Ninh Bình: Khói đen ngùn ngụt, thiệt hại ra sao? -
Phí Thanh Thảo thay đổi "gu" trên mạng xã hội: Từ loạt trai đẹp 6 múi đến chỉ còn Lý Đức
Gia đình
18/03/2019 22:43Từ vụ nhiễm sán lợn: Đây mới là con đường dẫn đến bị nhiễm sán kinh hoàng nhất
"Thảm họa" nhiễm sán lợn được cho là xuất phát vào hồi cuối tháng 2, với hình ảnh món thịt lợn nổi đầy hạch trắng, có dấu hiệu của bệnh sán gạo trong bữa ăn tại trường Mầm non Thanh Khương khiến nhiều người lo lắng. [Hiện đã có 124 trẻ bị mắc sán lợn]
Một phụ huynh thấy con bị sốt cao nên đưa đi khám, kết quả cháu bé dương tính với sán lợn. Sau đó, 2/3 học sinh của trường này đã nhanh được gia đình đưa đi xét nghiệm và có kết quả dương tính với sán lợn.
Sau sự việc trên, rất nhiều các chuyên gia y tế, các ban ngành tỉnh Bắc Ninh cũng đang vào cuộc để giải quyết tận gốc.
Và cũng từ đó, mối quan tâm lớn nhất của người dân đều dồn vào sán lợn và thịt lợn gạo. Hầu hết mọi người đều cho rằng ăn thịt lợn gạo chính là nguyên nhân dẫn đến nhiễm sán như trên.
Về vấn đề này, chia sẻ với PV, bác sĩ Phan Xuân Trung - Trung tâm Y khoa MEDIC đã phân tích ở một góc nhìn khác. Theo ông, nhìn miếng thịt lợn gạo người ta sẽ thấy có ấn tượng không tốt nhiều hơn là nhìn bó rau chứa trứng sán. Thế nhưng, ít ai biết rằng bó rau chứa trứng sán kia nếu không được rửa sạch, nấu chín kĩ thì còn nguy hiểm gấp bội lần so với miếng thịt lợn gạo (lợn bị bệnh gạo).
Cả lợn, bò và người nếu nhiễm trứng sán đều có thể bị "bệnh gạo" như nhau
Không chỉ nhiễm ở thịt lợn mà ngay cả rau quả sống cũng có thể bị nhiễm sán. Vì người nhiễm sán đi đại tiện, đốt sán rụng theo phân và giải phóng ra môi trường - côn trùng tha phân đi và dính vào rau củ quả. Vậy là rau cũng có thể chứa trứng sán. Nếu rau đó không được rửa sạch, chế biến kĩ trước khi ăn thì trứng sán sẽ vào bao tử, vào ruột thành ấu trùng, đi khắp cơ thể. Ăn rau sống sẽ làm tăng nguy cơ nhiễm trứng sán cao hơn cả.
Những ấu trùng bé nhỏ đó tìm được nơi trú ngụ thích hợp sẽ bị vôi hóa thành cái kén - gọi là "gạo" (nang sán). Hàng ngàn cái trứng sẽ sinh hàng ngàn cái kén chi chít khắp cơ thể thì gọi là bị "bệnh gạo".
Do ăn uống kiểu đó mà cả lợn, bò và người nếu nhiễm trứng sán đều có thể bị "bệnh gạo" như nhau. Một người đã bị bệnh gạo thì coi như vô phương cứu chữa.
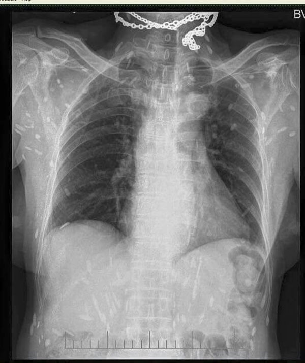
Nếu nhìn hình ảnh chụp phim X-quang của người bị "bệnh gạo" sẽ thấy "gạo" chi chít, rải rác khắp nơi.
Một người ăn phải rau sống hoặc rau chứa ấu trùng sán thì khi vào người, ấu trùng này theo máu đến các cơ, mắt hay não của người và sẽ hóa nang (nói nôm na là người đó bị bệnh gạo). Nang sán nở thành con sán và phát triển trong bụng. Đầu nó cắm vào ruột để hút máu, cổ nó sinh đốt sán, còn đuôi nó dài gồm nhiều đốt. Đốt cuối chứa đầy trứng chín rớt ra ngoài theo hậu môn. Trứng này lây cho lợn, bò, người và cả chó mèo.

Tùy thuộc vào vị trí ký sinh của con sán mà có những biểu hiện khác nhau. Nếu nó nằm trong cơ sẽ thấy có những u nhỏ, chắc, kích thước khoảng 1 - 2 cm hoặc bằng hạt đỗ, hạt lạc, di động dễ, không ngứa, không đau. Nếu nó nằm trong não, người bệnh có thể bị động kinh, liệt tay, chân hay liệt nửa người, nói ngọng, rối loạn trí nhớ hoặc đau đầu dữ dội. Nếu nằm trong mắt, nó có thể gây tăng nhãn áp, giảm thị lực hoặc mù.
Con người ăn thịt lợn gạo có thể nhiễm sán nhưng không nguy hiểm bằng bị bệnh gạo
Theo bác sĩ Trung, nếu ai đó ăn rau và thịt bị nhiễm sán nhưng đã nấu chín thì sẽ không bị bệnh. Nhưng nếu ăn phải thức ăn từ thịt sống, thịt tái như nem chua hay rau sống không rửa sạch... thì sẽ có nguy cơ bị nhiễm sán cao hơn. Đặc biệt, nếu đó là thức ăn từ lợn gạo thì nguy cơ càng cao.
Rõ ràng, một người ăn phải (nang sán) (từ thịt lợn gạo) thì sẽ bị dính một con sán trong ruột. Nếu nang sán này bị nấu chín rồi thì thôi, nó không thể nở thành con sán được.
Nếu một người ăn phải thịt heo bị bệnh gạo chưa nấu chín thì khi đến dạ dày, ấu trùng sán sẽ thoát nang và bám dính vào ruột non rồi phát triển thành sán dây trưởng thành. Sán dây trưởng thành phát triển dần bằng cách nẩy chồi, sinh đốt mới từ cổ, tạo ra hàng ngàn đốt sán mới, mỗi đốt có khoảng 50.000 trứng, kéo dài chiều dài của sán trưởng thành từ 2-12 mét, chúng ký sinh trong ruột non nhiều năm.


Nhiễm sán và bệnh gạo, bệnh nào nguy hiểm hơn?
Bác sĩ Trung cho rằng, điều trị nhiễm sán không quá khó nên bệnh nhân không nên quá lo lắng. Con sán trong ruột có thể bị trục xuất ra khỏi cơ thể một cách dễ dàng bằng cách uống thuốc. Còn đám "gạo" này thì vô phương cứu chữa.
Do vậy, ăn thịt lợn gạo còn ít nguy hiểm hơn ăn rau sống, cụ thể là:
- Ăn heo bị bệnh gạo thì bị mắc bệnh sán, uống thuốc là có thể trị được.
- Ăn rau sống có trứng sán thì có thể bị bệnh gạo, nên việc điều trị gần như không có hi vọng.
Những xét nghiệm phát hiện nhiễm sán
Xét nghiệm phân: Tìm trứng sán và đốt sán để xác định nhiễm sán và điều trị gấp. Đây là xét nghiệm "bắt tại trận", có giá trị tìm thủ phạm đang ẩn nấp trong ruột, ngày đêm rút rỉa dinh dưỡng.
Xét nghiệm huyết thanh: Tìm kháng thể chống ấu trùng để biết cơ thể đã từng bị nhiễm ấu trùng sán. Biện pháp này chỉ mang tính chất tham khảo. Khi xét nghiệm huyết thanh thì không xác định được bị nhiễm từ hồi nào hay ấu trùng đó còn sống hay không và thường dương tính nhầm qua loài sán khác.
Dương tính với sán không phải chỉ là do ăn thịt lợn
"Trong vụ thịt có gạo ở một trường học vừa qua, người ta cho các em bé đi xét nghiệm huyết thanh chẩn đoán nhiễm ấu trùng là sai chỉ định. Tuy nhiên qua các xét nghiệm đó phát hiện một số lượng không nhỏ các cháu bé có xét nghiệm huyết thanh dương tính.
Điều này để nói rằng có thể các cháu bé đã ăn phải trứng sán từ trong rau hay thức ăn bẩn chứ không phải xét nghiệm dương tính vì bé ăn heo gạo. Không có mối quan hệ nào giữa xét nghiệm dương tính và miếng thịt heo bị gạo kia". bác sĩ Phan Xuân Trung phân tích thêm.
Theo các chuyên gia y tế, người mắc bệnh sán trưởng thành, bệnh thường không biểu hiện triệu chứng rõ rệt như gây triệu chứng đau bụng, rối loạn tiêu hóa nhẹ. Triệu chứng chủ yếu là người bệnh thường xuyên có những cảm giác khó chịu, bứt rứt, một số trường hợp phát hiện thấy có trứng sán trong phân.
Nhiễm sán lợn không phải bệnh cấp tính và có phác đồ điều trị hiệu quả
GS.TS Nguyễn Văn Kính, Giám đốc Bệnh viện Bệnh Nhiệt đới Trung ương cho biết thêm, nhiễm sán lợn không phải là bệnh cấp tính như sởi hay sốt xuất huyết, chính vì thế các bậc cha mẹ không nên quá hoang mang lo lắng.
Về điều trị, theo GS.TS Nguyễn Văn Kính, bệnh này đã có phác đồ điều trị hiệu quả. Theo đó, nếu để điều trị sán thông thường, thuốc chỉ điều trị một ngày là hết sán. Tuy nhiên, để diệt được trứng thì cần điều trị thuốc khoảng 2 tuần mới hết hoàn toàn.
GS Nguyễn Văn Kính cũng khuyến cáo, do nhiễm sán thường không có dấu hiệu điển hình, không sốt, do đó nếu để nhiễm sán dài ngày gây ra hậu quả là suy giảm thể lực, rối loạn tiêu hoá, lâu năm trở nên gầy mòn. Vì thế, nếu cha mẹ nghi ngờ con nhiễm sán có thể sắp xếp thời gian để đi kiểm tra và điều trị.
Trước đó, tối 17/3, Cục Y tế dự phòng (Bộ Y tế) cũng đã có khuyến cáo người dân không ăn các thực phẩm sống như: Thịt lợn, nem chua, thịt lợn tái, rau sống không bảo đảm vệ sinh. Sử dụng hố xí hợp vệ sinh, không nuôi lợn thả rông.
Người có sán trưởng thành trong ruột phải được điều trị, không phóng uế bừa bãi. Đồng thời, cần quản lý chặt chẽ tiêu chuẩn vệ sinh các lò mổ lợn...
Cục Y tế dự phòng khẳng định, có thể điều trị khỏi bằng các thuốc Praziquantel và Albendazole. Người bệnh cần được chẩn đoán sớm và điều trị kịp thời ngay khi phát hiện có đốt sán để tránh bị bệnh ấu trùng sán lợn.
Việc điều trị bệnh ấu trùng sán lợn phải thực hiện ở cơ sở y tế với trang bị phương tiện cấp cứu và phải được theo dõi.
Theo Minh Ngọc (Trí Thức Trẻ)
- Nỗi lòng nàng dâu bị gán mác "ích kỷ" vì lịch về quê ăn Tết: Khi công việc và chữ hiếu khó vẹn đôi đường (11/02/26 23:26)
- Miền Bắc đón không khí lạnh lệch đông: Mưa phùn, sương mù bao phủ diện rộng (11/02/26 23:10)
- Kinh hoàng vụ nổ súng, bắt giữ con tin tại trường học ở Thái Lan: Nghi phạm 18 tuổi bị khống chế (11/02/26 23:04)
- Bê bối "sữa ngừa ung thư" giả: Nguyên liệu Trung Quốc "đội lốt" hàng Nhật, 200.000 hộp đã bán ra thị trường (11/02/26 22:57)
- "Cú lột xác" ngoạn mục của chung cư 66 tuổi giữa lòng Sài Gòn: Diện mạo mới đẹp "ảo diệu" tựa AI (11/02/26 22:35)
- Danh tính nam thanh niên bình luận xúc phạm CSGT hy sinh khi làm nhiệm vụ ở Thái Nguyên, nhận ngay cái kết đắng (11/02/26 22:25)
- Thủ đoạn "giết người" không dao của đôi vợ chồng ở Bắc Ninh, giềng xay được "phù phép" bằng chất gây ung thư (11/02/26 22:22)
- Một người Việt bị phát hiện mang hành lý chứa gần 12kg sừng tê giác tại sân bay ở Thái Lan (11/02/26 19:37)
- Hé lộ kịch bản tinh vi nhóm người thực hiện để lừa đảo gần 320 tỷ của một ngân hàng ở Hà Nội (11/02/26 19:22)
- Đây là chiếc Galaxy S Ultra cao cấp, camera khủng hơn iPhone 17 Pro Max rẻ nhất cận Tết tại Việt Nam (11/02/26 19:11)