-
Ngập lụt ở Cao Bằng, Thái Nguyên, Lạng Sơn, Bắc Ninh kéo dài đến khi nào?
-
Tử vi hàng ngày 9/10/2025 của 12 con giáp: Thứ 5 Mão may mắn
-
Vụ án Mr Pips: Thu giữ 2,3 triệu USD, 890 miếng vàng SJC, 246 kg vàng
-
Trước khi vướng lùm xùm tiền ảo AntEx, Nexttech Group của Shark Bình đã đột ngột giảm vốn từ 500 xuống còn 4 tỷ đồng; Ngân Lượng cũng giảm 85% vốn
-
Công an xác minh clip tàu hỏa húc văng bàn ghế ở phố cà phê đường tàu Hà Nội
-
Cháy nhà ở Lâm Đồng khiến 2 vợ chồng thiệt mạng: Thông tin mới nhất
-
Khoảnh khắc thót tim cứu hai ông cháu 18 tiếng cầm cự trên mái nhà giữa lũ dữ
-
Thái Nguyên và những giọt nước mắt trong lũ dữ: "Con cháu tôi 3 ngày nay không có cơm"
-
Cả nước bật “chế độ cứu trợ khẩn cấp” hướng về Thái Nguyên
-
Chỉ cần giải quyết vấn đề này, người Hà Nội không còn phải bì bõm lội nước
Gia đình
22/08/2018 20:57Tưởng ăn thịt heo đã nấu chín không có gì nguy hiểm nhưng vì sai lầm này, người đàn ông suýt mất mạng vì nghẹt thở
Mắc nghẹn vì... cố nuốt miếng thịt heo
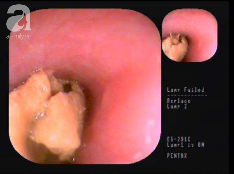
Bác sĩ Lê Xuân Đức, Trưởng khoa Nội Tổng quát một BV ở Bình Dương cho biết, vừa qua nơi đây đã thực hiện thành công thủ thuật nội soi gắp dị vật là một phần thức ăn lớn (thịt heo) đường kính khoảng 5cm đã bị vữa trong thực quản rất nguy hiểm cho một người đàn ông.
Bệnh nhân tên N.V.H. (51 tuổi, ngụ tại Bình Long, tỉnh Bình Phước). Hôm trước đó, anh H. vẫn ăn cơm tối bình thường cùng gia đình. Tuy nhiên trong lúc ăn, anh cố nuốt một miếng thịt heo lớn nên mắc nghẹn.
Nạn nhân uống nước vào bị sặc và ói ra, liên tục cảm thấy khó chịu vùng cổ họng kèm theo khó thở, nặng ngực sau xương ức. Người thân đã đưa anh đi khám tại một phòng khám gần nhà nhưng không thể điều trị dứt điểm.

Sáng 17/8, bệnh nhân N.V.H được đưa đến Bình Dương cấp cứu. Sau khi thăm khám và thực hiện cận lâm sàng, các bác sĩ xác định phần thức ăn bị vướng tại 1/3 dưới thực quản của bệnh nhân..
Bác sĩ Đức chia sẻ: "Đây là một trường hợp đặc biệt bởi phần dị vật là khối thức ăn khá lớn đã bị vỡ nát. Để lấy dị vật ra, ekip bác sĩ phải chia dị vật ra thành nhiều phần nhỏ. Sau hơn 45 phút, các bác sĩ đã gắp hoàn toàn phần thức ăn ra khỏi thực quản cho người bệnh".

Sau thủ thuật, người đàn ông đã nuốt lại bình thường, hết tức ngực sau xương ức, hơi thở đều và đã được cho xuất viện cùng ngày.
Theo bác sĩ, tình trạng hẹp 1/3 dưới thực quản của bệnh nhân do bị co thắt thực quản, cần đi nội soi kiểm tra 6 tháng/lần. Nếu hẹp ngày càng nhiều hơn sẽ phải dùng phương pháp nong thực quản.
Bác sĩ khuyến cáo việc bất cẩn trong quá trình ăn uống nếu ăn vội và không nhai kĩ, nuốt thức ăn dạng hình khối, thịt, xương sụn cứng… có thể dẫn đến những tình huống nguy hiểm. Nếu không điều trị kịp thời có thể bị viêm thực quản và đường hô hấp, gây ra nhiễm trùng hô hấp trào ngược về sau.

Một số lời khuyên của bác sĩ khi bị co thắt và hẹp thực quản:
- Phải cẩn thận trong quá trình ăn uống, không được ăn vội vàng, nên tránh sự căng thẳng trong bữa ăn.
- Khi mắc phải dị vật không được tự ý dùng các phương pháp dân gian mà phải đưa ngay đến các cơ sở y tế gần nhất để được xử trí kịp thời, hạn chế những rủi ro đáng tiếc có thể xảy ra
- Nếu đã bị hẹp và hay gặp chứng co thắt thực quản, cần đi nội soi kiểm tra định kỳ theo chỉ dẫn của bác sĩ
- Trong thời gian điều trị nên dùng nước mát, tránh dùng các thức uống nóng hoặc lạnh vì dễ gây kích thích co thắt thực quản.
- Nên ăn thức ăn mềm, lỏng và chia nhỏ miếng giúp cho người bệnh dễ dàng nuốt hơn.
- Kiêng tuyệt đối các chất kích thích, đặc biệt là thức uống có cồn như các loại bia rượu, thuốc lá.
- Giữ tâm lý thoải mái, lạc quan trong quá trình điều trị, nghỉ ngơi và sinh hoạt hợp lý để tránh căng thẳng mệt mỏi.
Cách sơ cứu nếu bệnh nhân hóc dị vật là trẻ em:
Trường hợp trẻ còn tỉnh: Cho trẻ đứng. Người sơ cứu đứng phía sau lưng hoặc quỳ gối, choàng 2 tay ra phía trước ngang thắt lưng. Một tay nắm thành nắm đấm, một tay chồng lên tay còn lại, đặt ngay vào vị trí ở vùng thượng vị, dưới xương ức của trẻ. Ấn mạnh theo hướng từ dưới lên trên 5 cái thật mạnh liên tiếp. Nếu dị vật chưa ra thì có thể lặp lại biện pháp này từ 6 đến 10 lần.
Trường hợp trẻ hôn mê: Đặt trẻ nằm ngửa. Người sơ cứu quỳ gối, tựa hai chân hai bên đùi trẻ. Nắm 2 bàn tay thành nắm đấm, đột ngột ấn vào dưới xương ức của trẻ. Ấn mạnh từ dưới lên trên 5 cái liên tiếp.
Trong tình huống nạn nhân hôn mê và không thở được thì trước tiên phải hà hơi thổi ngạt 2 cái. Nếu dị vật vẫn chưa ra, trẻ vẫn chưa thở được thì kết hợp vừa hà hơi thổi ngạt vừa dùng tay ấn cho đến khi dị vật văng ra hoặc bệnh nhân khóc, thở được, hồng hào hơn
Theo Hoàng Lê (Trí Thức Trẻ)








- Tử vi hàng ngày 9/10/2025 của 12 con giáp: Thứ 5 Mão may mắn (06:00)
- Ngập lụt ở Cao Bằng, Thái Nguyên, Lạng Sơn, Bắc Ninh kéo dài đến khi nào? (08/10/25 23:20)
- Vụ án Mr Pips: Thu giữ 2,3 triệu USD, 890 miếng vàng SJC, 246 kg vàng (08/10/25 23:04)
- Chị dâu ly hôn, đến ngày chị ấy dọn ra khỏi nhà tôi mới biết chồng mình không hề đơn giản (08/10/25 22:57)
- Xử lý người đưa tin trên Tiktok xuyên tạc vụ thảm án Đồng Nai (08/10/25 22:45)
- Trước khi vướng lùm xùm tiền ảo AntEx, Nexttech Group của Shark Bình đã đột ngột giảm vốn từ 500 xuống còn 4 tỷ đồng; Ngân Lượng cũng giảm 85% vốn (08/10/25 22:21)
- Cảnh tượng "nghẹt thở" sau Tết đoàn viên (08/10/25 22:15)
- HLV Kim Sang-sik nói thẳng về bê bối của ĐT Malaysia, nêu ra điều cực kỳ quan trọng cho ĐT Việt Nam (08/10/25 22:00)
- Công an xác minh clip tàu hỏa húc văng bàn ghế ở phố cà phê đường tàu Hà Nội (08/10/25 21:40)
- Cháy nhà ở Lâm Đồng khiến 2 vợ chồng thiệt mạng: Thông tin mới nhất (08/10/25 21:20)




