- 
                                
                                
		 Từ sinh viên công nghệ đến kẻ cầm súng sát hại 3 người ở Đồng Nai: Hé lộ kế hoạch lạnh người trước khi gây án Từ sinh viên công nghệ đến kẻ cầm súng sát hại 3 người ở Đồng Nai: Hé lộ kế hoạch lạnh người trước khi gây án
- 
                                
                                
		 Quá khứ "cánh tay phải" của Hoàng Hường bị bắt: Đứng sau loạt thần dược, lộ cách vận hành hệ thống công ty Quá khứ "cánh tay phải" của Hoàng Hường bị bắt: Đứng sau loạt thần dược, lộ cách vận hành hệ thống công ty
- 
                                
                                
		 Rapper Pháo nói gì sau khi gỡ bỏ bài hát bị cơ quan chức năng điểm tên? Rapper Pháo nói gì sau khi gỡ bỏ bài hát bị cơ quan chức năng điểm tên?
- 
                                
                                
		 Xác minh clip hai nhóm học sinh ở TP.HCM đánh nhau, có em co giật tại hiện trường Xác minh clip hai nhóm học sinh ở TP.HCM đánh nhau, có em co giật tại hiện trường
- 
                                
                                
		 Bé trai 17 tháng bỏng toàn thân do bình nóng lạnh phát nổ, cảnh báo thói quen "chết người" bạn vẫn làm mỗi ngày! Bé trai 17 tháng bỏng toàn thân do bình nóng lạnh phát nổ, cảnh báo thói quen "chết người" bạn vẫn làm mỗi ngày!
- 
                                
                                
		 Madam Pang đến Đại sứ quán Việt Nam tại Thái Lan để xin lỗi Madam Pang đến Đại sứ quán Việt Nam tại Thái Lan để xin lỗi
- 
                                
                                
		 "Nướng" hơn 4,2 triệu USD vào sới bạc, cựu bí thư Thành ủy TP Hoà Bình cũ khai gì? "Nướng" hơn 4,2 triệu USD vào sới bạc, cựu bí thư Thành ủy TP Hoà Bình cũ khai gì?
- 
                                
                                
		 Quy trình xử lý bồi thường vụ ông Trịnh Văn Quyết nộp khắc phục ngàn tỷ: Điều gì xảy ra nếu bị hại không nhận lại tiền? Quy trình xử lý bồi thường vụ ông Trịnh Văn Quyết nộp khắc phục ngàn tỷ: Điều gì xảy ra nếu bị hại không nhận lại tiền?
- 
                                
                                
		 Biệt thự của Long Nhật ở Huế "chìm trong biển nước": Nước lũ dâng cao "gần ngập cả bàn thờ mẹ"! Biệt thự của Long Nhật ở Huế "chìm trong biển nước": Nước lũ dâng cao "gần ngập cả bàn thờ mẹ"!
- 
                                
                                
		 Bóc trần "mắt xích" mới trong vụ Hoàng Hường: Nữ doanh nhân trẻ từng là "bà trùm" của "đế chế" bác sĩ, thần dược giả mạo! Bóc trần "mắt xích" mới trong vụ Hoàng Hường: Nữ doanh nhân trẻ từng là "bà trùm" của "đế chế" bác sĩ, thần dược giả mạo!
Pháp luật
14/12/2018 15:57Long An: Đột nhập nhà dân nhưng bị phát hiện, tên cướp đâm thủng tim gan người phụ nữ
Đó là trường hợp của chị N.T.A. (35 tuổi; ngụ huyện Đức Hòa, tỉnh Long An). Theo lời kể của gia đình khi đang ở trong nhà buổi tối, chị phát hiện một tên cướp đột nhập vào nhà nên truy hô. Sợ bị phát hiện, tên cướp lao đến dùng hung khi đâm vào người nạn nhân rồi bỏ chạy.
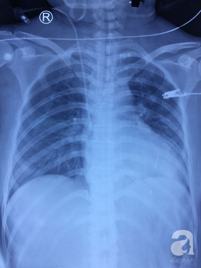
Chị A. được đưa đến Bệnh viện Đa khoa Xuyên Á (TP.HCM) trong tình trạng có 1 vết thương đâm sắc gọn, dài khoảng 2cm ở ngay giữa mũi ức và 1 vết thương sâu ở ngực trái. Da và niêm mạc trắng nhợt, bệnh nhân lơ mơ, mạch khó bắt, huyết áp không đo được.
 
 Sau khi xét nghiệm và làm các cận lâm sàng, các BS xác định ngay đây là vết thương thấu ngực sốc mất máu nặng, khả năng thủng tim rất cao, có thể kèm tổn thương ở ổ bụng, nguy cơ tử vong.
Bệnh nhân được đưa ngay vào phòng mổ với ekip phẫu thuật viên Tim mạch – Lồng ngực và Ngoại tổng quát.
Bệnh nhân vừa được bù máu, truyền dịch, thuốc vận mạch vừa mở ngực dọc giữa xương ức cấp cứu.
Ngay khi mở ngực, các phẫu thuật viên Tim mạch – Lồng ngực phát hiện tim bệnh nhân bị chèn ép cấp do tràn máu màng tim lượng nhiều. Tiến hành mở màng ngoài tim, kíp mổ phát hiện vết thương tim thủng thất phải dài 2.5cm, nằm cách mỏm tim không xa.
Vết thương cắt đứt một nhánh bờ phải của động mạch vành phải đang phun máu ồ ạt gây ngập máu phẫu trường. Trước tình cảnh này, các phẫu thuật viên vừa dùng tay bịt vết thương cầm máu tạm thời, vừa khâu lại vết thương tim.
Ngoài ra, bệnh nhân còn thủng dài cơ hoành, chỉ cách tĩnh mạch chủ dưới khoảng 1.5cm làm máu từ ổ bụng tràn lên và gây đứt 1 tĩnh mạch trên gan đang chảy máu. Vết thương cũng đâm xuyên ra sau làm thủng gan. Ekip tiếp tục khâu cầm máu vết thương nhu mô gan và chỗ rách cơ hoành.
 
 Trong quá trình mổ cấp cứu, lượng máu mất ở trong ngực – bụng đến 3.4 lít nên bệnh nhân được truyền máu liên tục.
Ngay sau khi cầm máu, tim người phụ nữ co bóp ổn định nhưng lại xuất hiện rối loạn đông máu nặng và suy chức năng gan sau mổ.
Bệnh nhân tiếp tục được theo dõi sát và điều trị tích cực tại khoa Hồi sức Tim mạch. Đến ngày 13/12, các thông số huyết động cũng như xét nghiệm cận lâm sàng dần ổn định, bệnh nhân đã tỉnh táo hoàn toàn, không có di chứng tổn thương não, rút được máy thở.
Theo các phẫu thuật viên Tim mạch-Lồng ngực, vết thương tim là một thách thức lớn trong cấp cứu ngoại khoa Tim mạch- Lồng ngực. Ước tính có khoảng 80-90% các trường hợp vết thương tim không đến kịp bệnh viện.
 
 Qua trường hợp này, các bác sĩ nhận định nếu phát hiện bệnh nhân có vết thương ở ngực, đặc biệt ở vùng trước tim kèm theo có biểu hiện sốc mất máu hay có hội chứng chèn ép tim cấp, nhân viên y tế phải nghĩ ngay đến vết thương tim.
Lúc này bệnh nhân cần được chuyển ngay vào phòng mổ, bỏ qua các bước thông thường để tránh làm mất thời gian vàng cấp cứu.
Theo Hoàng Lê (Thời Đại)
 
									 
									 
									 
									 
									 
									 
									 
									- MacBook mới lột xác với thiết kế hoàn toàn mới, mỏng nhẹ hơn, màn hình OLED, có Dynamic Island và cảm ứng được (16 phút trước)
- Từ sinh viên công nghệ đến kẻ cầm súng sát hại 3 người ở Đồng Nai: Hé lộ kế hoạch lạnh người trước khi gây án (23 phút trước)
- Nữ streamer 180.000 người theo dõi bị bắt vì quảng bá cờ bạc online trái phép (31 phút trước)
- Danh tính nam thanh niên bốc đầu xe máy trên đường Xuân Tảo (38 phút trước)
- Không khí lạnh tăng cường, cảnh báo lũ trên các sông ở miền Trung (46 phút trước)
- Quá khứ "cánh tay phải" của Hoàng Hường bị bắt: Đứng sau loạt thần dược, lộ cách vận hành hệ thống công ty (57 phút trước)
- Rapper Pháo nói gì sau khi gỡ bỏ bài hát bị cơ quan chức năng điểm tên? (1 giờ trước)
- Á hậu Quỳnh Châu chính thức lên tiếng về vụ người lạ đột nhập đám cưới: “Chỉ mong mọi người hiểu đúng, tránh rắc rối không đáng có” (1 giờ trước)
- Dự báo thời tiết 31/10/2025: Miền Bắc đón đợt lạnh tăng cường, nhiều nơi mưa lớn (1 giờ trước)
- Một dịch bệnh tăng nhanh ở miền Nam, đã có 28 ca không qua khỏi (1 giờ trước)
 
									 
									 
									 
									 
									 
								 
								 
								 
								