-
Danh sách 3 loại thuốc giảm cân của Ngân 98 có chất cấm: Ngừng sử dụng ngay trước khi quá muộn!
-
Soi dàn xe của vợ chồng Ngân 98 - Lương Bằng Quang: Từ SUV hiệu năng cao đến siêu xe mui trần đầu tiên về Việt Nam
-
Cảnh báo mưa dông sầm sập kéo đến Hà Nội
-
Giá rao bán nhà trong ngõ Hà Nội ngang nhà phố, khách mua choáng váng
-
Quỹ đầu tư của bà Đào Lan Hương (vợ cũ Shark Bình) vừa rót vốn vào một startup proptech 2 năm tuổi, có 100.000 lượt tải
-
Bệnh viện duy nhất tại Việt Nam có 2 bãi đáp trực thăng, mới khánh thành toà nhà 1000 giường
-
Giá vàng tăng vọt, chứng khoán Trung Quốc giảm mạnh dù ông Trump có động thái mới
-
Cách trung tâm Hà Nội khoảng 20 km, hơn 1.100 căn nhà sắp được mở bán, giá thấp nhất chưa tới 1 tỷ đồng
-
Xem clip: Ngân 98 cùng kho hàng thời điểm bị bắt tạm giam
-
Cô gái sắp xếp đồ đạc gọn gàng trước khi gieo mình xuống sông
Pháp luật
02/02/2020 05:40Nạn nhân bị Lê Quốc Tuấn bắn vào người tại sòng bạc Củ Chi giờ ra sao?
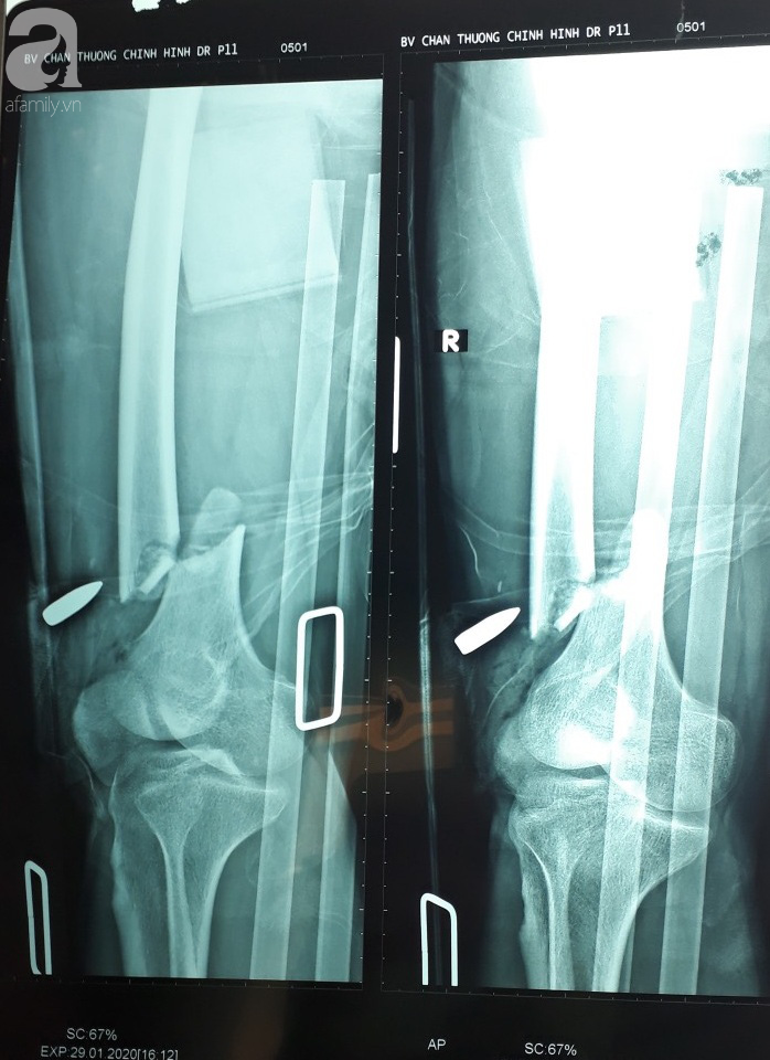
Tối 1/2, một nguồn tin tại Bệnh viện (BV) Chấn thương chỉnh hình TP.HCM cho biết, anh Trần Văn T. (32 tuổi), một trong các nạn nhân bị bắn tại sòng bạc xã Tân Thạnh Đông (huyện Củ Chi, TP.HCM) ngày 29/1 vẫn đang điều trị tại khoa Chi dưới của BV.

Trước đó, anh T. nhập viện trong tình trạng gãy hở nát 1/3 xương đùi trái, vết thương dập nát ở đùi phải do đạn bắn, đứt gân cơ từ đầu đùi và nhiều mảnh xương đùi gãy.
Khai thác bệnh sử, nam bệnh nhân cho biết, thời điểm xảy ra sự việc anh có mặt tại sòng bạc xã Tân Thạnh Đông. Sau khi Lê Quốc Tuấn bỏ đi thì bất ngờ trở lại sòng bài và dùng súng bắn nhiều người. Trong đó anh T. bị trúng đạn ở đùi phải.

Các bác sĩ trực khoa Chi dưới đã tiến hành lấy viên đạn ra khỏi đùi và mổ cắt lọc vết thương, nối gân cơ đùi. Sau mổ, sức khoẻ bệnh nhân tiến triển tốt và đang được xuyên đinh kéo tạ.
Khi vết thương tiến triển tốt, bệnh nhân sẽ được kết hợp xương bên trong.

Hiện bệnh nhân T. vẫn đang được lực lượng chức năng theo dõi nghiêm ngặt để lấy lời khai và bảo đảm an toàn.
Đến thời điểm hiện tại, công an và quân đội vẫn đang bao vây rất chặt khu vực rừng tràm xã Trung An (huyện Củ Chi), nơi nghi ngờ Lê Quốc Tuấn đang ẩn náu.

Ngoài ra, lực lượng biên phòng các tỉnh biên giới cũng kiểm soát rất chặt chẽ đề phòng nghi can lẩn trốn.
Trước đó như đã thông tin, khoảng 14h chiều 29/1 người dân khu vực xã Tân Thạnh Đông (huyện Củ Chi) nghe thấy tiếng súng nên chạy đến một sòng bạc vắng vẻ nằm cạnh một chuồng bò gần đó.

Tại đây, 4 người trong sòng bạc nằm chết tại chỗ vì bị trúng đạn, một người nguy kịch. Nghi phạm bắn các nạn nhân là Lê Quốc Tuấn đã tẩu thoát.
Nhận tin báo, công an nhanh chóng có mặt. Người thân của các nạn nhân hay tin cũng đến hiện trường gào khóc thảm thiết.
Theo Hoàng Lê (Tổ Quốc)








- Tổng thống Madagascar rời khỏi đất nước (06:24)
- Hành khách kể lại giây phút xe khách bị lật trên đường tỉnh 172 (Lào Cai) (06:20)
- Nam thanh niên cho người phụ nữ vay với lãi suất "cắt cổ" lên tới 2.190%/1 năm (06:15)
- DJ Ngân 98 sẽ đối diện mức án nào với tội "sản xuất, buôn bán hàng giả là thực phẩm"? (06:10)
- Thời tiết hôm nay 14/10: Nhiều khu vực trong cả nước có mưa to (06:04)
- Tử vi thứ 3 ngày 14/10/2025 của 12 con giáp: Ngọ nhạy cảm, Hợi nóng nảy (06:00)
- Xe đầu kéo bốc cháy ngùn ngụt ở đường vành đai 3 trên cao (6 giờ trước)
- Ngân 98 thổi phồng thuốc giảm cân: 'Thách thức mọi cơ địa, uống vào là da bọc xương' (13/10/25 23:02)
- Khởi tố đối tượng lao ô tô vào quán nhậu tông chết người (13/10/25 22:53)
- 6 dấu hiệu KHÔNG ĐAU của ung thư giai đoạn đầu rất nhiều người bỏ qua rồi "hối không kịp" (13/10/25 22:47)




