-
Taylor Swift bị ruồng bỏ vẫn làm nên lịch sử, cả loạt siêu sao "ra chuồng gà"
-
Trực thăng Không quân cứu trợ 5 em bé mắc kẹt trên nóc nhà ở Lạng Sơn
-
5 nữ chính cổ trang Hoa ngữ được yêu thích nhất: Ai cũng mạnh mẽ, giỏi giang và đầy khí chất
-
Xe đầu kéo container cháy ngùn ngụt trên cao tốc Vĩnh Hảo - Phan Thiết
-
Ngày càng nhiều người mắc ung thư đại trực tràng: 4 thực phẩm trong tủ lạnh để lâu chính là “kẻ tiếp tay”
-
Một lần đổi đội trên sân Pickleball, tôi vô tình nghe được bí mật khiến bản thân rụng rời, không dám coi thường vợ như trước
-
Nước lũ sông Cầu dâng cao, hơn 5.000 người ở Hà Nội bị cô lập
-
Ô tô lao vào quán nhậu: Trước khi tông chết người, tài xế còn làm một việc nguy hiểm
-
Vụ bé trai ném dép làm hỏng thang máy chung cư: Đã rõ số tiền cụ thể 3 gia đình phải bồi thường
-
7 năm chờ nâng hạng, chứng khoán Việt sang trang mới
Thế giới
05/10/2023 17:44Cây kim trong não cụ bà 80 năm và câu chuyện bố mẹ cố giết con thời Thế chiến 2
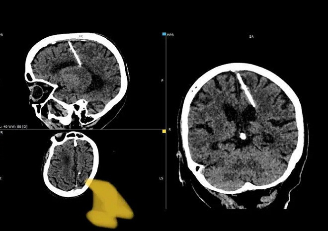
Các bác sĩ trên đảo Sakhalin của Nga kết luận, chiếc kim có thể là bằng chứng cho nỗ lực bất thành của chính cha mẹ cụ bà, khi họ cố giết con trong Thế chiến thứ Hai.
“Những vụ việc như này không phải là hiếm trong những năm đói kém. Một cây kim mỏng sẽ được đâm vào thóp của trẻ sơ sinh để làm tổn thương não. Thóp nhanh chóng đóng lại, che đậy bằng chứng phạm tội của bố mẹ, và đứa trẻ sau đó qua đời”, tờ New York Post dẫn chia sẻ trên kênh Telegram của Sở Y tế Sakhalin.

Cũng theo Sở Y tế Sakhalin, trong trường hợp này, cây kim dài gần 3cm đã đâm vào thùy đỉnh trái, nhưng không tạo ra tác dụng như mong muốn. Bà lão đã chung sống với cây kim mà không hề hay biết trong suốt 80 năm qua. Bà cũng chưa từng phàn nàn về việc bị đau đầu.
Mọi chuyện chỉ được phát hiện, khi bà lão đi khám và chụp CT. Các bác sĩ quyết định sẽ không rút cây kim vì lo sợ nó có thể gây ảnh hướng xấu tới bệnh nhân.
Giới chức y tế địa phương khẳng định sức khỏe của cụ bà không gặp nguy hiểm, và bệnh nhân “đang được bác sĩ điều trị theo dõi".
Theo Minh Thu (VietNamNet)








- Điều gì khiến chủ đầu tư Thái Lan rút khỏi hệ thống Cafe Amazon Việt Nam? (09:49)
- Taylor Swift bị ruồng bỏ vẫn làm nên lịch sử, cả loạt siêu sao "ra chuồng gà" (09:47)
- "Nữ diễn viên phim giờ vàng" sau khi chồng đại gia bị bắt: Lặng lẽ xóa hết ảnh gia đình, đưa con về nhà ngoại (09:46)
- Google bất ngờ tung gói Gemini 1 năm, hướng dẫn đăng ký tại đây (09:39)
- Rắn độc sinh sôi sau mưa ở phía Nam, nhiều trẻ bị cắn nhập viện (09:37)
- Tân sinh viên nghi ngờ khả năng đọc hiểu của mình (09:37)
- Xe Toyota Camry bị thuỷ kích vỡ tan máy, gara báo giá 200 triệu vẫn chưa "xuôi" (09:33)
- Trực thăng Không quân cứu trợ 5 em bé mắc kẹt trên nóc nhà ở Lạng Sơn (09:32)
- 5 nữ chính cổ trang Hoa ngữ được yêu thích nhất: Ai cũng mạnh mẽ, giỏi giang và đầy khí chất (09:26)
- "Áo xanh" dọn dẹp trường lớp, giúp người dân gặt lúa sau bão lũ (09:19)




