-
Người đàn ông ở Hà Nội uống hơn 10 lít nước mỗi ngày
-
Giữa mùa mưa bão, môi giới đua nhau quảng cáo bán nhà "không ngập lụt"
-
Không phải phở, món ăn chỉ từ 40.000 đồng/phần này mới là hương vị Việt tỏa sáng trên sân chơi quốc tế
-
Sáng 7-10, giá vàng miếng SJC và vàng nhẫn tăng rất nhanh
-
Thu nhập dưới 200 triệu đồng/năm gần như không thể mua được nhà ở Hà Nội và TP HCM
-
Bí quyết "3 thấy - 3 không thấy" giúp gia chủ hút tài, giữ vận
-
Hà Nội phố thành sông, giao thông tê liệt, xe máy "rồng rắn" leo cao tốc giữa biển nước
-
Giá nhà phố cổ Hà Nội lập kỷ lục mới, chạm 2 tỷ đồng/m2
-
Nghiện game là gì? Vì sao người chơi muốn thành "chiến binh", "sát thủ chiến đấu"…?
-
Lộ diện "quán quân" về thu hút vốn FDI trong 9 tháng năm 2025, bỏ xa TP.HCM, Hà Nội hay Hải Phòng
Xã hội
03/12/2018 20:42Long An: Ném cát đùa giỡn với bạn, bé trai 6 tuổi hít phải miếng nhựa vào mũi gây xẹp phổi nguy kịch
Đó là trường hợp của bé P.N (6 tuổi, ngụ Cần Đước, Long An). Em được cha mẹ đưa đến khoa Cấp cứu, Bệnh viện (BV) Nhi đồng Thành phố (TP.HCM) trong tình trạng liên tục ho sặc sụa.

Trước đó, N. chơi ném cát với bạn cùng xóm và bất chợt có cảm giác hít sặc, ho liên tục và khó thở. Sau khi thăm khám, các BS đã nhận thấy rõ hội chứng xâm nhập và tắc nghẽn tại phổi phải. Tuy nhiên hình ảnh chụp X-quang ngực tức lại không cho thấy rõ có dị vật lạ.
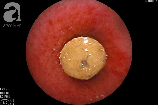
TS.BS Trịnh Hồng Nhiên, Trưởng khoa Hô Hấp BV cho biết sau khi hội chẩn, ông đã chú ý đến vùng bẫy không khí trong phim chụp X-quang phổi. Kết hợp với phim CT scan ngực cho thấy có sự hiện diện của một vật thể lạ trong phế quản, dạng hình trụ, bít lòng hoàn toàn nhánh phế quản S9.

Điều này dẫn tới việc không khí không thể đi qua hoàn toàn vật thể, gây tắc và xẹp toàn bộ nửa phổi phải.
Các BS quyết định phải soi phế quản khẩn cấp. Kết quả là ekip phát hiện một mẩu nhựa cứng khô mà trước đó các BS còn mường tượng là cục đá.
Dị vật được lấy ra hết sức cẩn thận và cũng đầy thử thách vì nằm sâu trong phởi và trơn trượt, lại kẹt bít lòng phế quản đã phù nề, viêm trợt do bị chèn ép.

Sau khi can thiệp và lấy dị vật, Phim chụp X-quang ngực sau đó cho thấy dấu hiệu thông khí phổi tốt, tình trạng xẹp phổi phải đã được giải quyết triệt để.
Từ trường hợp này, các BS cho biết những năm gần đây ở các địa điểm vui chơi trẻ em ngoài các trò chơi như cầu trượt, vườn cổ tích, câu cá… còn rộ lên trò chơi "xúc hạt", lắp ráp robot bằng các hạt nhựa nhỏ, xâu vòng... hoặc trò chơi dưới bãi cát đá nhân tạo.
Chủ yếu là trẻ tự chơi còn bố mẹ thì ngồi bên ngoài quan sát hoặc xem điện thoại. Nếu không để ý sẽ khiến con em gặp nguy hiểm.

Các BS khuyến cáo trẻ em thường có thói quen đưa các vật cầm ở tay vào mồm hoặc ném qua lại khi chơi cùng nhau. Dị vật sẽ bị rơi vào đường thở khi hít vào mạnh hoặc sau một một trận cười, khóc, ngạc nhiên, sợ hãi...
"Phụ huynh nên thận trọng với những thức ăn có thể làm cho trẻ mắc dị vật như hạt đậu, bắp, vỏ tôm, cua... để hạn chế những tai biến đáng tiếc xảy ra" - BS Nhiên đưa ra lời khuyên.
Theo Hoàng Lê (Tổ Quốc)








- Shark Bình kinh doanh gì, giàu có cỡ nào? (12:16)
- Bốn bề ngập sâu, mất phương hướng ở "vịnh Keangnam", "cảng nước sâu Mỹ Đình" (12:00)
- Người đàn ông ở Hà Nội uống hơn 10 lít nước mỗi ngày (1 giờ trước)
- Tự lái trực thăng về quê tránh tắc đường, 2 anh em gây tranh cãi (1 giờ trước)
- Trường học ở Hà Nội phản hồi về thông tin "trời mưa vẫn điểm danh, xét đi học muộn" (1 giờ trước)
- Nhiều khối đá nặng cả tấn trên núi sạt lở vào nhà dân, kiến nghị ban bố tình huống khẩn cấp (1 giờ trước)
- Cả cõi mạng áp lực vì săn vé concert G-DRAGON tại Hà Nội: Hơn 360 nghìn người xếp hàng chỉ sau 1 phút, vé VVIP sold-out nhanh như gió! (1 giờ trước)
- NÓNG: Vụ 40 học sinh nhập viện, bánh tày dương tính với vi khuẩn gây ngộ độc (1 giờ trước)
- New York Times: Mỹ dừng hoạt động ngoại giao với Venezuela (1 giờ trước)
- MU tái đàm phán ký thủ thành Emiliano Martinez vào tháng 1 tới (1 giờ trước)




