-
Danh tính tài xế và phụ xe đánh bạc trên ô tô khách chạy cao tốc Cầu Giẽ - Ninh Bình, đối diện hình phạt nào? -
Đã có kết quả cuối cùng vụ nhận nuôi bé gái bị đất phủ kín phần thân, chỉ lộ khuôn mặt ở vườn cao su -
Gia cảnh nữ sinh nghi uống thuốc trừ sâu vì bị cô lập: Mồ côi từ sớm, từng được công an nhận nuôi -
Tuyển sinh lớp 10 Hà Nội: Bỏ phân tuyến, tỷ lệ chọi nhiều trường có nguy cơ tăng đột biến -
Cựu Chủ tịch Quốc Cường Gia Lai Nguyễn Thị Như Loan sắp hầu tòa, lộ kịch bản thâu tóm “đất vàng” Bến Vân Đồn -
Vụ nữ sinh mồ côi nghi uống thuốc trừ sâu vì bị cô lập: Trường lên tiếng, học sinh liên quan nói gì? -
Đề nghị truy tố Mr. Pips Phó Đức Nam, Mr. Hunter Lê Khắc Ngọ trong đường dây lừa đảo Forex -
"Lấy vợ lãi to": Tiền vệ Đức Huy khoe được bà xã Mù Tạt "ting ting" 200 triệu đồng để... mua quà vặt -
Tình tiết đau lòng vụ nữ sinh mồ côi bị bạn học cô lập, cầu cứu nhưng không được nên uống thuốc trừ sâu nghĩ quẩn? -
Không chịu xuống nhận hàng, người đàn ông ra tay với nữ shipper ở TP.HCM: Hé lộ nguồn cơn đằng sau
Xã hội
06/12/2025 17:13Sau 48 giờ phẫu thuật hút mỡ và nâng ngực, một nữ Việt kiều 60 tuổi tử vong: Hé lộ nguyên nhân
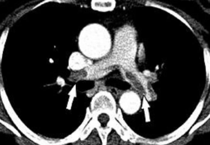
Theo báo cáo, bệnh nhân ban đầu hồi phục bình thường nhưng chỉ sau khoảng 48 giờ xuất hiện khó thở, tụt huyết áp, giảm oxy máu. Ban đầu, ê-kíp nghi ngờ phản vệ độ 3, tuy nhiên kết quả thăm khám và cận lâm sàng cho thấy người phụ nữ bị thuyên tắc mỡ và thuyên tắc phổi do mỡ - một biến chứng cực kỳ nguy hiểm của hút mỡ.
Tình trạng này nhanh chóng gây suy hô hấp, suy đa cơ quan, chảy máu vết mổ, tụ dịch ổ bụng và tổn thương nhiều cơ quan khác. Dù được hồi sức tích cực với thở máy, thuốc vận mạch, lọc máu, điều chỉnh rối loạn đông máu và sử dụng ECMO, nạn nhân vẫn không qua khỏi.

Các chuyên gia cho biết thuyên tắc mỡ là biến chứng ít gặp nhưng tỷ lệ tử vong cao, thường xuất hiện trong 24 đến 72 giờ sau phẫu thuật hút mỡ. Khi mỡ xâm nhập vào tuần hoàn, chúng có thể di chuyển đến phổi hoặc các cơ quan quan trọng, gây tắc nghẽn, viêm mao mạch và tổn thương nặng nề hệ hô hấp, tuần hoàn.
Nguy cơ càng tăng khi bệnh nhân lớn tuổi, có bệnh nền hoặc thực hiện nhiều can thiệp thẩm mỹ trong một lần phẫu thuật. Nhiều nghiên cứu quốc tế ghi nhận hơn 90% các ca tử vong do thuyên tắc mỡ xảy ra trong vòng 5 ngày sau hút mỡ; đa số triệu chứng xuất hiện sớm chỉ sau 24 giờ. Các bác sĩ đánh giá việc thực hiện đồng thời quá nhiều thủ thuật như hút mỡ diện rộng, thay túi ngực, tái tạo thành bụng… khiến thời gian gây mê kéo dài, tổn thương mô lớn, nguy cơ mất máu và biến chứng tăng mạnh.
Việt Nam thời gian qua cũng ghi nhận nhiều trường hợp tử vong tương tự, trong đó phần lớn liên quan đến phẫu thuật hút mỡ hoặc nâng ngực. Sau mỗi vụ việc, cơ quan chức năng đều yêu cầu các cơ sở thẩm mỹ siết chặt quy trình, minh bạch rủi ro và đảm bảo điều kiện an toàn khi phẫu thuật. Các chuyên gia khuyến cáo người dân không nên thực hiện nhiều thủ thuật phức tạp trong cùng một lần mổ; cần chọn cơ sở được cấp phép, bác sĩ có chứng chỉ phẫu thuật thẩm mỹ và kinh nghiệm xử lý ca khó.

Trước khi phẫu thuật, khách hàng phải được tư vấn rõ ràng về nguy cơ, đặc biệt là thuyên tắc mỡ, tắc mạch, shock nhiễm khuẩn hoặc suy đa cơ quan. Sau phẫu thuật, nếu xuất hiện các triệu chứng bất thường như khó thở, tím tái, đau ngực, tụt huyết áp, chảy máu nhiều… cần lập tức đến bệnh viện thay vì tự theo dõi tại nhà.
Vụ tử vong của người phụ nữ Việt kiều tiếp tục cho thấy phẫu thuật thẩm mỹ, dù phổ biến và có tính thẩm mỹ cao, vẫn tiềm ẩn rủi ro đe dọa tính mạng nếu thực hiện tại cơ sở không đảm bảo hoặc can thiệp quá mức. Đây là lời cảnh báo mạnh mẽ để người có nhu cầu làm đẹp cân nhắc kỹ trước khi quyết định.
- Minh Khang hé lộ nhịp sống gia đình qua loạt hình ảnh trên sân golf và những chuyến đi cùng vợ con (10 phút trước)
- Chàng tiên cá béo 108kg ở Nha Trang: Lắc bụng, pha trò dưới nước gây sốt mạng xã hội (13 phút trước)
- Iran cảnh báo eo biển Hormuz thay đổi sau xung đột, Mỹ kêu gọi hỗ trợ khi vận tải dầu bị gián đoạn (15 phút trước)
- Danh tính tài xế và phụ xe đánh bạc trên ô tô khách chạy cao tốc Cầu Giẽ - Ninh Bình, đối diện hình phạt nào? (22 phút trước)
- Bác sĩ bế con đi dạo kịp cứu người đàn ông đột quỵ trên sân bóng (24 phút trước)
- Ông Trump tuyên bố không cần NATO (27 phút trước)
- Gia đình, bạn gái Mr Pips Phó Đức Nam vướng vòng lao lý, bất ngờ chiêu trò tẩu tán hàng trăm tỷ đồng (32 phút trước)
- Senegal níu hy vọng tại CAS: Cánh cửa lật ngược phán quyết liệu có còn rộng mở? (34 phút trước)
- Bị mỉa mai uống nước ép, Á hậu Vũ Thúy Quỳnh đáp trả cực gắt: "Nó không phải kẹo Kera" (35 phút trước)
- Đã có kết quả cuối cùng vụ nhận nuôi bé gái bị đất phủ kín phần thân, chỉ lộ khuôn mặt ở vườn cao su (40 phút trước)