-
Ông Phạm Nhật Vượng sắp có thêm công ty nửa triệu tỷ đồng
-
Nữ hiệu trưởng bị lũ cuốn, 2 con kẹt giữa vùng lũ chưa thể về chịu tang
-
Kỳ Hân - vợ cầu thủ Mạc Hồng Quân đang bị làm sao vậy?
-
Việt Nam kêu gọi quốc tế hỗ trợ khắc phục hậu quả thiên tai
-
2 chiếc ô tô bị nước lũ cuốn trôi ở Thái Nguyên sáng 9/10: Chủ xe tiết lộ tình trạng hiện tại của "xế cưng"
-
Xuất hiện dấu hiệu bất thường dưới chân đê, hàng nghìn người phải khẩn trương ứng phó
-
Nobel Văn chương 2025 xướng tên nhà văn “phong cách ấn tượng”
-
Shark Bình nói về triết lý "không hại người"
-
Nhan sắc dàn “hot girl” đi khám nghĩa vụ quân sự ở Cần Thơ, Vĩnh Long lên hẳn fanpage của phường
-
5 người trong bữa tiệc tại 1 nhà hàng ở TP HCM suýt chết vì một loại khí không màu, không mùi
Xã hội
07/03/2019 02:34Tai nạn đau lòng: Đi làm mướn nuôi cha tâm thần, bé trai 13 tuổi bị thanh sắt máy cắt lúa đâm xuyên thấu ngực
Trường hợp thương tâm này được đại diện Bệnh viện (BV) Nhi đồng Thành phố (TP.HCM) cho biết trong ngày 6/3.
Nạn nhân là bé Nguyễn Văn Uôn (13 tuổi, ngụ Giồng Riềng, Kiên Giang) bị tai nạn thương tâm khi đang tất bật mưu sinh nuôi cả gia đình.

Được biết, mẹ bé Uôn đã bỏ nhà đi từ lúc em còn nằm nôi. Ông bà nội bé đã già yếu không còn sức lao động, trong khi ba mắc bệnh tâm thần chỉ có thể đi làm thuê lặt vặt với thu nhập ít ỏi, bữa có bữa không.
Với hoàn cảnh gia đinh rất khó khăn, Uôn đã phải nghỉ học đi phụ cha làm thuê và dần trở thành lao động chính.
Sáng ngày nhập viện, trong khi đang làm việc ở cánh đồng thì bé bất ngờ trượt té. Lúc này cây sắt của máy cắt lúa đâm thấu vào thành bụng, xuyên từ bụng thấu ngực nạn nhân gây nên tai nạn vô cùng kinh hoàng.

Ngay lập tức bé được đưa đến BV địa phương rồi chuyển lên BV đa khoa Cần Thơ, rút dị vật nhọn, băng ép vết thương và đưa khẩn cấp lên BV Nhi Đồng Thành Phố.
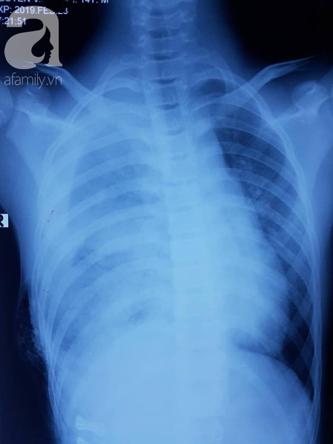
Tại đây sau khi kiểm tra, kíp trực nhận thấy đây là một ca trầm trọng hy hữu và vô cùng thương tâm, do chiều dài cọc xuyên từ bụng tới ngực bên phải được ước tính 10-20cm.

Bệnh nhân nhập viện trong tình trạng doạ sốc mất máu, đa chấn thương nặng, mạch nhanh, huyết áp xu hướng tụt, tràn máu màng phổi nhiều làm xẹp hết 1 bên phổi gây suy hô hấp nặng nề
Bệnh nhi được đặt ống giúp thở và bật báo động đỏ toàn viện vì tình trạng nguy kịch phải được theo dõi đặc biệt, hồi sức tích cực, hội chẩn liên nhiều chuyên khoa.

Kết quả xét nghiệm bằng hình ảnh học cho thấy bệnh nhân bị đa vết thương, rách cơ hoành, vỡ gan, tràn máu phổi phải lượng nhiều (1.500 ml).

Ca phẫu thuật cấp cứu được triển khai với các bác sĩ giàu kinh nghiệm cùng kíp mổ hơn 10 y bác sĩ.
Ekip đã khẩn trương vừa hồi sức tích cực vừa tiến hành phẫu thuật, xử lý vết thương xuyên rách gan, tiến hành lau rửa sạch và khâu đóng ổ bụng.

Ekip cũng khâu lại bết thương thấu ngực bụng xuyên thủng rách cơ hoành và hút tại chỗ khoang màng phổi hơn 1.500ml máu, sau đó dẫn lưu màng phổi phải.
Ca phẫu thuật kéo dài 5 giờ 30 phút đã giành lại sự sống ngoạn mục cho bệnh nhân.

Hiện tại bệnh nhi đã tỉnh táo, cai được máy thở, thuốc vận mạch liều thấp, rút được ống dẫn lưu máu màng phổi, dưới gan. Sức khoẻ bé Uôn dần hồi phục, tuy nhiên viện phí là thứ gia đình không thể kham nổi.
Ông bà già yếu, cha không còn tỉnh táo, giờ đây bé trai nghèo đang rất cần sự chung tay giúp đỡ từ cộng đồng.
Độc giả muốn ủng hộ hoàn cảnh bé Nguyễn Văn Uôn vui lòng gửi về:
Chủ tài khoản: Bệnh Viện Nhi Đồng Thành Phố
STK: 060011666888
Ngân hàng Sacombank - Chi nhánh Chợ Lớn
Hoặc liên hệ trực tiếp Phòng Công Tác Xã Hội - Bệnh viện Nhi Đồng Thành Phố, số 15 Võ Trần Chí, xã Tân Kiên, huyện Bình Chánh, Tp.HCM
SĐT: 0165 4883450
XIn chân thành cảm ơn.
Theo Hoàng Lê (Báo Dân Sinh)








- Thử thách 70 ngày sinh tồn trong rừng, chàng trai trẻ trở thành nhà vô địch nhận gần 400 triệu tiền thưởng (09/10/25 23:40)
- Phương Oanh cứ nhìn con là khóc (09/10/25 23:23)
- Liên đoàn Bóng đá châu Á ra thông báo về vụ cầu thủ nhập tịch của tuyển Malaysia (09/10/25 22:23)
- Ông chủ khoá trái cửa, đổ xăng đốt quán khiến 3 người ở Hải Phòng bị thương (09/10/25 22:17)
- Djokovic lần thứ 80 vào bán kết Masters 1000 (09/10/25 21:39)
- Tuyển Việt Nam thắng Nepal 3-1 (09/10/25 21:31)
- Người đàn ông bất ngờ ngã gục, tử vong khi đang xem bóng đá (09/10/25 20:40)
- Ông bố ép kẻ đã ấu dâm con gái mình tự đào mộ và kết liễu cuộc đời (09/10/25 20:34)
- Ca sĩ Jack bị xử phạt vì tổ chức họp báo kể chuyện đời tư (09/10/25 20:31)
- HLV Shin Tae-yong bị sa thải (09/10/25 20:27)




