-
Choáng với dự án sân vận động lớn nhất thế giới ở Hà Nội: Công trình cấp quốc gia, công nghệ hiện đại bậc nhất -
Thảm án rúng động Hollywood: Con trai sát hại bố mẹ ruột, tiết lộ nguồn cơn xuống tay dã man -
Gia đình 4 người gặp nạn trên đường cao tốc, bé trai 9 tháng tuổi tử vong thương tâm -
Hà Nội: "Rùng mình" cảnh chuột thản nhiên ăn rau trong quầy bánh mì, chủ quán lên tiếng phân trần -
Cứu người nhảy cầu Mỹ Lợi, công an chua xót khi nghe lý do dẫn tới hành động dại dột -
Đang xem chung kết SEA Games 33, cả xóm "đứng tim" vì xe điện bốc cháy, phát nổ ngay trong sân -
Hé lộ diễn biến phía sau vụ tai nạn cao tốc làm 3 người tử vong: Xe cứu thương bật tín hiệu ưu tiên sai quy định -
Thót tim cảnh nam thanh niên buông cả hai tay khi chạy xe máy, thừa nhận một lý do gây phẫn nộ -
Hưng Yên: "Săn" đất nền ngày cận Tết, 141 suất đất đấu giá khởi điểm chỉ từ 9 triệu đồng/m2 -
Chi 600 triệu xây lại nhà báo hiếu, con gái "chết lặng" trước bản di chúc và bài học đắt giá về chữ Hiếu
Xã hội
24/04/2017 02:24Tránh đống vật liệu bên đường, nữ sinh bị que sắt đâm thấu chân
Cúc được đưa đến bệnh viện trong tình trạng bị đoạn sắt dài đâm thấu chân. Theo nạn nhân khi cô đang đi xe máy qua khúc cua, phanh lại tránh đống sắt bên đường gặp nạn.
Theo các bác sĩ, trưa cùng ngày họ tiếp nhận bệnh nhân từ Trạm vệ tinh cấp cứu 115 của Bệnh viện Triều An chuyển lên. Nữ sinh được người nhà đưa đến viện trong tình trạng bị đoạn sắt dài 20 cm đâm xuyên thấu chân.
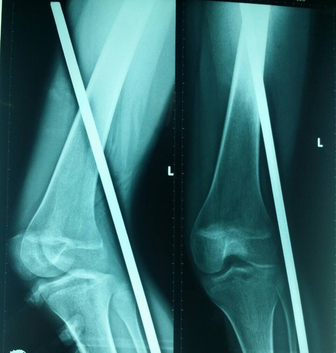
![]() |
| Phim chụp X-quang đoạn sắt đâm xuyên thấu chân bệnh nhân. Ảnh: Bác sĩ cung cấp. |
Kết quả chụp X-quang cho thấy đoạn sắt đâm xuyên phần mềm không làm tổn thương dây thần kinh, mạch máu.
Bệnh nhân nói với bác sĩ, do cô đi xe máy qua khúc cua thấy đồng sắt của công trình xây dựng nhà ở bên đường nên phanh lại để tránh thì tông vào vật nhọn. Các bác sĩ đã phẫu thuật, cắt lọc, rút đoạn sắt ra khỏi chân Cúc theo chiều từ dưới lên trên.
Bệnh nhân đã được các nhân viên y tế dùng bơm áp lực cao bơm nước rửa rỉ sét vết thương. Sau phẫu thuật, các bác sĩ để hở vết thương để đặt ống dẫn lưu, tưới nước để rửa cho chất bẩn trôi ra khỏi chân bệnh nhân. Hiện, Cúc được các bác sĩ khoa Hồi sức theo dõi nhiễm trùng do đoạn sắt quá dài, lại đâm xuyên thấu.
Theo Khánh Trung (Tri Thức Trực Tuyến)
- Choáng với dự án sân vận động lớn nhất thế giới ở Hà Nội: Công trình cấp quốc gia, công nghệ hiện đại bậc nhất (17:34)
- Thảm án rúng động Hollywood: Con trai sát hại bố mẹ ruột, tiết lộ nguồn cơn xuống tay dã man (17:11)
- Người đàn ông ngứa vùng kín suốt một năm, bác sĩ phát hiện nguyên nhân sốc khi soi da (1 giờ trước)
- Facebook thử nghiệm giới hạn link, người dùng có thể phải trả phí để được chia sẻ liên kết (1 giờ trước)
- Ông Trump ra lệnh dừng xổ số thẻ xanh sau vụ xả súng (1 giờ trước)
- FIFA tôn vinh Thùy Trang với kỳ tích “chưa từng có” ở SEA Games 33 (1 giờ trước)
- Gia đình 4 người gặp nạn trên đường cao tốc, bé trai 9 tháng tuổi tử vong thương tâm (1 giờ trước)
- Bước sang tuổi 56, nghệ sĩ Hoài Linh lộ diện cuộc sống hiện tại ít ai ngờ sau ánh hào quang sân khấu (1 giờ trước)
- Bà nằm im giả chết sau khi bị cháu ruột dùng chích điện, đè gối cướp tài sản (2 giờ trước)
- Hà Nội: "Rùng mình" cảnh chuột thản nhiên ăn rau trong quầy bánh mì, chủ quán lên tiếng phân trần (2 giờ trước)
