-
Thông tin bất ngờ về người đàn ông sàm sỡ khách nữ trong quán phở ở Hà Nội, người nhà nói gì? -
Đề xuất cho phạm nhân gọi video miễn phí thăm thân 10 phút mỗi tháng -
Giữa "lửa" chiến sự Trung Đông: Nỗi lòng người ở quê nhà và cuộc mưu sinh nơi xứ người -
Tử vi thứ 4 ngày 4/3/2026 của 12 con giáp: Tị rạng rỡ, Sửu thoải mái -
Bé trai 8 tuổi ở Đồng Nai bất ngờ tử vong khi chơi ở trường mầm non gần nhà, nghi ngờ bị điện giật -
Người đàn ông bồi thường 20 triệu sau cú tát nam thanh niên đang đốt vàng mã: Hàng xóm hé lộ sự thật -
Thảm kịch tại Minab: 160 nấm mộ trắng và nỗi đau sau cuộc không kích vào trường nữ sinh -
Giá xăng dầu Việt Nam sẽ tăng đến mức nào trước căng thẳng Mỹ - Iran? -
Giá vàng tăng từng ngày, nhiều người áp lực chuyện mua vàng cưới và xoay xở trả nợ vàng -
Thực hư đoạn video một người phụ nữ quỳ lạy van xin CSGT giữa đường lan truyền rộng rãi trên MXH
Chuyện lạ
20/09/2016 15:43Bào thai song sinh trong bụng bé trai 6 tuổi
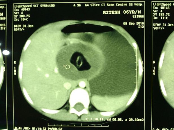
Các bác sĩ bất ngờ khi khối u mà họ định cắt bỏ khỏi bụng cậu bé thực chất là bào thai song sinh đã có đủ tay, chân, tóc.
| Ritesh đang phục hồi trong bệnh viện sau ca phẫu thuật cắt bỏ bào thai song sinh. Ảnh: Barcroft |
Mirror đưa tin suốt 7 tháng qua, cậu bé Ritesh, sống ở huyện Garhwa (Ấn Độ), thường xuyên phải chịu đựng những cơn đau bụng dữ dội. Mặc dù đã được đưa đi thăm khám nhiều lần, các bác sĩ vẫn không tìm ra nguyên nhân.
Sau 3 tháng thăm khám vẫn không có kết quả, hôm 15/9 bố mẹ Ritesh quyết định cho con trai vào một bệnh viện tư nhân, nơi kết quả siêu âm cho thấy có một "khối u" trong ổ bụng em. Một nhóm gồm 5 bác sĩ đã lập tức tiến hành phẫu thuật cho cậu bé để loại bỏ khối u này.
Tuy nhiên, sau 3 tiếng phẫu thuật, các bác sĩ bất ngờ khi nhận ra cái u kia thực chất là phôi thai không phát triển đầy đủ, cũng là người em song sinh của Ritesh. Bào thai đã sống trong cơ thể cậu bé từ khi em chào đời.
![]() |
| Hình chụp siêu âm cho thấy bào thai trong bụng bệnh nhân. Ảnh: Barcroft |
Theo Pradesh, bào thai đã có đủ tay, chân và tóc. Alok Bhardwaj, một bác sĩ nhi lâu năm, sau đó cho hay đây là trường hợp "hiếm nhất trong số những trường hợp hiếm" mà ông từng gặp. Tuy nhiên hiện vấn đề của cậu bé đã được xử lý thành công.
"Tình trạng cậu bé đang hoàn toàn ổn định và cũng phục hồi khá nhanh. Nếu không được phát hiện loại bỏ sớm, bào thai sẽ gây ảnh hưởng nghiêm trọng đến bệnh nhân trong tương lai", ông Bhardwaj nói.
Theo Hướng Dương (Ngoisao.net)
- Danh tính nữ MC bị mời lên làm việc vì đăng bài sai sự thật về công an, đã rõ nguồn cơn sự việc (14 phút trước)
- Thông tin bất ngờ về người đàn ông sàm sỡ khách nữ trong quán phở ở Hà Nội, người nhà nói gì? (26 phút trước)
- Khi "cần câu cơm" không còn "ngốn" chi phí: VinFast EC Van thay đổi cuộc chơi vận tải nội đô (1 giờ trước)
- "Người hùng" cứu sống 6 người vụ chìm tàu hồ Thác Bà được Chủ tịch nước tặng thưởng Huân chương (1 giờ trước)
- Selena Gomez gây bão dư luận với hành động hôn chân chồng trên sóng Podcast (2 giờ trước)
- Trung Quốc cảnh báo du khách tại Nhật Bản: Gia tăng các vụ tấn công "người đi bộ" nhắm vào trẻ em và phụ nữ (3 giờ trước)
- Diễn biến nóng vụ nhóm người đưa quan tài đến trước nhà chủ hụi, chuẩn bị di ảnh, vàng mã tang lễ (3 giờ trước)
- Không chỉ đất hiếm, Việt Nam còn có kho báu được cả thế giới thèm khát, 1 tỉnh có trữ lượng hàng triệu tấn (3 giờ trước)
- Nghịch lý giá dầu: Tại sao xung đột bùng nổ nhưng "mốc 100 USD" vẫn xa vời? (3 giờ trước)
- Bộ Nội vụ nói gì về thông tin sáp nhập 34 tỉnh thành còn 16 tỉnh thành (4 giờ trước)
