-
Vụ xe cứu trợ đền 100 triệu đồng sau tai nạn: Chốt chi phí sửa chữa
-
Bí thư Trần Lưu Quang: Không có việc TP.HCM sắp xếp lại phường, xã
-
Có ai tin đây là Ánh Viên không, dụi mắt 7749 lần vẫn không nhận ra
-
CSGT TP HCM vào cuộc vụ nữ sinh đi xe máy không đội mũ bảo hiểm, phì phèo điếu thuốc
-
Khách Tây đói lả dừng trước đám tang ở Huế, được mời vào ăn cơm chay
-
Tài xế taxi lên tiếng về hiểu nhầm trong câu chuyện giúp đỡ người cha có con nguy kịch tại Bệnh viện Bạch Mai
-
Vợ Duy Mạnh gặp vận xui
-
Loạt chuyến bay bị điều chỉnh do bão số 12
-
Đà Nẵng lên tiếng về thông tin "thành phố cho nghỉ làm, đóng cửa chợ" do bão số 12 (Fengshen)
-
Bức xúc vì phó hiệu trưởng cho học sinh dừng tiết học để... quét rác giữa trời nắng
Đời sống
22/10/2025 15:20Nam thanh niên nhập viện gấp vì tiêu cơ vân cấp do tập gym kéo dài 2 giờ/lần tập
Tiêu cơ vân cấp do tập gym cường độ cao
Trước khi vào viện khám 2 ngày, anh Đ.D.L (25 tuổi) có tập gym với cường độ cao, kéo dài 2 giờ/lần tập. Sau đó xuất hiện đau cơ đùi hai bên, đùi phải đau hơn đùi trái, kèm tiểu sẫm màu, anh đã đến BVĐK Medlatec để thăm khám.
Qua khám lâm sàng, bác sĩ ghi nhận bệnh nhân bị đau các bắp cơ đùi, cơ cẳng chân 2 bên.
Anh L. được chỉ định thực hiện các xét nghiệm và chẩn đoán hình ảnh nhằm đánh giá nguyên nhân đau cơ.

Kết quả xét nghiệm men cơ (CK total) tăng cao lên tới 111825.00 U/L (ngưỡng bình thường là 38-174 U/L).
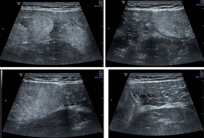
Kết quả siêu âm cho thấy hình ảnh vùng giảm âm trong tổ chức cơ tứ đầu đùi phải và trái
Siêu âm cho thấy hình ảnh vùng giảm âm trong tổ chức cơ tứ đầu đùi phải, trái, theo dõi tổn thương cấp.
Dựa vào triệu chứng lâm sàng và kết quả trên, anh L. được chẩn đoán mắc bệnh tiêu cơ vân cấp.
Bệnh nhân được nhập viện điều trị nội trú, xuất viện sau 7 ngày.
Nguyên nhân gây bệnh tiêu cơ vân cấp
Theo BSCKI. Đào Việt Hưng - Chuyên khoa Nội, Bệnh viện Đa khoa MEDLATEC, tiêu cơ vân là tổn thương phá hủy các tế bào cơ vân, giải phóng các chất là thành phần của tế bào cơ vân vào trong máu như: creatin kinase, myoglobin, phospho.
Tiêu cơ vân có thể xuất phát từ nhiều nguyên nhân, bao gồm:
Nguyên nhân do vận động hoặc chấn thương : Vận động quá sức, luyện tập cường độ cao, nhất là khi thời tiết nóng (như chạy marathon, tập gym nặng); chấn thương dập nát cơ do tai nạn giao thông, vùi lấp, điện giật.
Nguyên nhân do thuốc hoặc chất độc : thuốc giảm mỡ máu, chống loạn thần, chống co giật, rượu, ma túy, thuốc lắc, cocain.
Nguyên nhân khác : sốt cao, co giật kéo dài, hạ thân nhiệt; bệnh lý chuyển hóa, nhiễm trùng nặng, nhiễm virus (cúm, COVID-19,...); thiếu máu cục bộ kéo dài ở cơ (do bó bột, chèn ép mạch máu,...).
Bộ ba triệu chứng điển hình của tiêu cơ vân là đau cơ, yếu cơ và nước tiểu sẫm màu (màu trà). Tuy nhiên, trên lâm sàng bác sĩ chỉ gặp khoảng 10% bệnh nhân có cả 3 triệu chứng điển hình hình. 90% còn lại bệnh nhân có triệu chứng không đầy đủ, thậm chí không có triệu chứng lâm sàng.
Ngoài ra, người bệnh có thể kèm theo mệt mỏi, buồn nôn, sốt nhẹ, tiểu ít hoặc vô niệu (nguy cơ suy thận cấp), tim đập nhanh, chuột rút, co giật do rối loạn điện giải.
Biến chứng đáng sợ của tiêu cơ vân cấp
Bác sĩ Hưng cho biết, nếu không phát hiện và xử trí sớm, tiêu cơ vân cấp có thể gây ra những biến chứng nghiêm trọng như: suy thận cấp, rối loạn điện giải, co giật, loạn nhịp, toan chuyển hóa, tụt huyết áp, sốc giảm thể tích, rối loạn đông máu (DIC), tổn thương gan, tổn thương cơ quan đa hệ thống.
Mặc dù tiêu cơ vân cấp rất nguy hiểm, tuy nhiên nếu được phát hiện sớm và điều trị đúng cách, bệnh có thể hồi phục hoàn toàn. Bác sĩ Hưng khuyến cáo, nếu xuất hiện triệu bất thường nghi ngờ tiêu cơ vân cấp, người bệnh cần đến ngay cơ sở y tế để được khám và điều trị kịp thời.








- Một quốc gia châu Âu lần đầu tiên phát hiện thấy muỗi: Bắt được 3 con gồm 2 cái và 1 đực (3 phút trước)
- Bó hoa 1,2 triệu khổ nhất lúc này: Bạn trai đặt, bạn gái đòi trả, chủ tiệm mất ngủ lên mạng xin ý kiến (33 phút trước)
- Vỉa hè ven sông Hàn bị sóng đánh tan hoang (43 phút trước)
- Tài xế ô tô say xỉn, CSGT phải dìu để thổi nồng độ cồn (47 phút trước)
- Viện Kiểm sát nhân dân Tối cao kêu gọi một cựu Chủ tịch ngân hàng đầu thú (54 phút trước)
- Đồng tiền Cristiano Ronaldo CR7 lừa đảo 143 triệu đô chỉ trong 15 phút (1 giờ trước)
- Vụ xe cứu trợ đền 100 triệu đồng sau tai nạn: Chốt chi phí sửa chữa (1 giờ trước)
- Vụ tấn công kỳ lạ nhắm vào Beckham (1 giờ trước)
- Chồng sát hại vợ vì bỏ nhà đi mấy tháng không về với 2 con (1 giờ trước)
- Bộ Tư pháp Mỹ nợ tiền Tổng thống Donald Trump? (1 giờ trước)




