-
Sở VH-TT-DL Gia Lai thông tin chính thức về vụ ca sĩ Juky San tắm ở Giếng Tiên, mong mọi người thông cảm -
Bé gái 16 tuổi gồng gánh nuôi 3 em nhỏ ở Lâm Đồng nhận hơn 4,5 tỷ đồng hỗ trợ -
Bộ Y tế thông tin chính thức về biến thể "ve sầu" của COVID-19 -
Đây là iPhone Pro Max rẻ nhất Việt Nam, có đủ 3 mắt camera đa zi năng như iPhone 17 Pro Max -
Món quà ý nghĩa cho nữ sinh 16 tuổi ở Lâm Đồng gồng gánh nuôi 3 em, số tiền 3,2 tỷ sẽ dùng thế nào? -
Công an TP.HCM thông tin nóng vụ phát hiện người đàn ông tử vong bí ẩn trong công trình bệnh viện -
Ám ảnh vụ nam tiếp viên American Airlines tử vong khi quá cảnh: "Hơi thở của quỷ" và những manh mối kinh hoàng -
Gia Lai làm sạch lại toàn bộ khu vực Juky San ngâm mình ở Giếng Tiên: Không có quy định cấm tắm -
Nam sinh viên bị nhóm người lạ đi ô tô chặn đánh hội đồng, gục tại chỗ: Xót xa tình trạng của nạn nhân -
Cận cảnh vụ cần cẩu vướng dây điện khiến tài xế tử vong tại chỗ: Lửa điện phụt lên tại hiện trường
Gia đình
09/09/2019 22:00Bác sĩ sốc nặng khi thấy kí sinh trùng bò lổm ngổm trong gan của người đàn ông, 'thủ phạm' là món hải sản anh vẫn ăn
Nếu bạn cảm thấy không khỏe thì tốt nhất nên đến gặp bác sĩ để được thăm khám cẩn thận. Người đàn ông họ Lim, sống tại Phúc Kiến, Trung Quốc, đã vô cùng sốc khi đến gặp bác sĩ sau khi bị sốt cao và ho kéo dài khoảng 10 ngày.
Theo thông tin đưa trên trang Ettoday, anh Lim đột nhiên bị ho dai dẳng và có nhiều đờm. Sau đó, tình trạng của ông trở nên xấu đi, anh chuyển sang sốt 39 độ C và ho dai dẳng suốt trong khoảng 10 ngày. Ban đầu, anh đã cố gắng điều chỉnh chế độ ăn uống của mình và dùng một số loại thuốc thông thường để trị bệnh nhưng không thấy khá hơn. Lúc này, anh Lim mới quyết định đi khám.


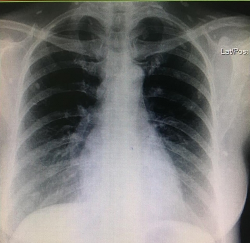
Bác sĩ đã thực hiện một số xét nghiệm và chụp X-quang cho anh Lim. Kết quả thực sự khiến bác sĩ cũng phải sốc. Hình ảnh chụp X-quang cho thấy gan của ông Lim có rất nhiều kí sinh trùng sinh sống và đang bò lổm ngổm. Anh được chẩn đoán mắc bệnh sán lá gan, còn được gọi là Clonorchis sinensis, một loại giun ký sinh. Tình trạng nhiễm trùng giun kí sinh ở người thường xảy ra sau khi ăn cá hoặc cải xoong nước ngọt bị ô nhiễm hoặc nấu chưa chín. Những ký sinh trùng này có vòng đời rất dài, một khi chúng đến tuổi trưởng thành và thường sống 20-30 năm bên trong vật chủ (cả cơ thể con người).
Đau bụng quanh rốn, hoa mắt chóng mặt không ngờ bị kí sinh trùng giun đũa dài 15cm "sống" trong dạ dày Ăn sống món ăn được coi là đặc sản, chàng trai nhiễm kí sinh trùng và mắc bệnh viêm màng não: Lời cảnh báo không thừa của bác sĩ
Ký sinh trùng này là sán người phổ biến nhất ở châu Á. Các triệu chứng của nhiễm trùng giun kí sinh thường bị nhầm lẫn với các bệnh thông thường như đau bụng, sốt, buồn nôn, nôn mửa và tiêu chảy. Trong trường hợp nghiêm trọng có thể gây ra sỏi và thậm chí là ung thư ống mật.
Sau khi hỏi thêm, bác sĩ phát hiện ra rằng anh Lim có sở thích ăn sashimi nước ngọt và tôm, nhất là ăn sống vì theo anh như vậy có thể cảm nhận được độ tươi của hải sản theo cách này. Hơn nữa, anh nghĩ chỉ cần cho mù tạt vào hải sản sống trước khi ăn là nó sẽ giúp tiêu diệt bất kỳ ký sinh trùng nào trên món ăn đó. Và anh đã ăn theo cách như vậy trong suốt 3 năm trở lại đây.

Các bác sĩ điều trị cho anh Lin nói rằng cách trực tiếp và hiệu quả nhất để ngăn chặn sự lây nhiễm của ký sinh trùng là tránh ăn thực phẩm tươi sống. Nếu bạn muốn ăn thực phẩm tươi sống ngon thì phải chú ý xem thực phẩm có nguồn gốc an toàn hay không và đã được kiểm tra nghiêm ngặt hay chưa. Hơn nữa, không có triệu chứng rõ ràng trong giai đoạn đầu của bệnh sán lá gan và quá trình bệnh diễn ra tương đối chậm nên một khi có các triệu chứng như khó chịu ở bụng trên, mệt mỏi và sốt kéo dài, bạn cần thận trọng và nên đi khám sớm.
Trước đó cũng có những trường hợp khác nhiễm kí sinh trùng trong cơ thể do ăn thực phẩm sống được chia sẻ rộng rãi để khuyến cáo người dân. Theo thông tin trên trang HK01, một người phụ nữ sống tại Thái Lan đã bị nhiễm giun kí sinh vì thói quen ăn thịt lợn sống.

Hình ảnh chụp X-quang của bệnh nhân này đã khiến người khác rất số. Nó cho thấy 2 chân của cô phủ đầy những đốm trắng và người ta tin rằng những đốm này là ấu trùng của ký sinh trùng mà người phụ nữ đã ăn.
Rõ ràng, người phụ nữ rất thích ăn thịt lợn sống và đã ăn nó khá lâu. Tuy nhiên, một ngày nọ, cô cảm thấy không khỏe và đã đến bác sĩ để kiểm tra. Bác sĩ đã tiến hành chụp một số hình ảnh X-quang cho cô và bị sốc khi nhìn thấy những hình ảnh của chân cô, đầy những đốm trắng. Khi kiểm tra kĩ hơn, bác sĩ kết luận rằng cô bị nhiễm giun ký sinh do thói quen ăn thịt lợn sống có thể bị nhiễm ký sinh trùng. Có vẻ như ấu trùng từ giun đã có thể đi qua đường ruột và tiến hành lây nhiễm các bộ phận khác của cơ thể bao gồm cả cơ bắp, nơi chúng sẽ ở lại.


Qua đây, bác sĩ cũng nhắc nhở mọi người cẩn thận khi ăn thực phẩm sống và đảm bảo rằng làm sạch thực phẩm đúng cách trước khi ăn. Cũng cần lưu ý rằng thịt lợn là một loại thịt không được khuyến khích ăn sống và nên được nấu chín kỹ.
Theo N.Thúy (Helino)
- Sở VH-TT-DL Gia Lai thông tin chính thức về vụ ca sĩ Juky San tắm ở Giếng Tiên, mong mọi người thông cảm (20 phút trước)
- Bé gái 16 tuổi gồng gánh nuôi 3 em nhỏ ở Lâm Đồng nhận hơn 4,5 tỷ đồng hỗ trợ (31 phút trước)
- Bộ Y tế thông tin chính thức về biến thể "ve sầu" của COVID-19 (40 phút trước)
- Đây là iPhone Pro Max rẻ nhất Việt Nam, có đủ 3 mắt camera đa zi năng như iPhone 17 Pro Max (49 phút trước)
- Món quà ý nghĩa cho nữ sinh 16 tuổi ở Lâm Đồng gồng gánh nuôi 3 em, số tiền 3,2 tỷ sẽ dùng thế nào? (58 phút trước)
- Công an TP.HCM thông tin nóng vụ phát hiện người đàn ông tử vong bí ẩn trong công trình bệnh viện (1 giờ trước)
- TPHCM bước vào đợt cao điểm nắng nóng, nhiệt độ chạm ngưỡng 37°C (1 giờ trước)
- Mỹ cân nhắc yêu cầu các nước Ả Rập trả chi phí quân sự trong xung đột với Iran (1 giờ trước)
- Bosnia tố binh sĩ Italy quay lén buổi tập trước trận giành vé World Cup 2026 (1 giờ trước)
- Danh tính nghi phạm sát hại cụ bà 87 tuổi ở Hải Phòng rồi phi tang trong vườn, lời khai hé lộ động cơ (1 giờ trước)