-
TP HCM: Người phụ nữ tử vong thương tâm sau va chạm với xe container, hé lộ hoàn cảnh đáng thương -
Học sinh Việt Nam từ 2026: Miễn phí sách giáo khoa và thống nhất bộ SGK toàn quốc, thay đổi lớn trong giáo dục -
Hà Nội: 182 trường hợp vi phạm được camera AI phát hiện phải nộp phạt nguội theo Nghị định 168 -
Phẫn nộ clip nữ sinh lớp 10 Gia Lai bị nhóm bạn đánh hội đồng chỉ vì 1 xích mích vụn vặt -
Hà Nội: Đang cháy lớn trên phố Lò Đúc, dãy cửa hàng bị thiêu rụi hoàn toàn -
Tai nạn cao tốc Đà Nẵng - Quảng Ngãi: Xót xa cảnh người thân lặng lẽ nhận thi thể nạn nhân về quê lo hậu sự -
Camera AI phát hiện những lỗi mà người điều khiển ô tô, xe máy lâu nay vẫn "hồn nhiên" mắc phải -
Công an Hà Nội, Sở xây dựng làm việc với Ban quản lý chung cư HH Linh Đàm về vụ cấm cư dân để xe điện -
Chính thức "khai tử" bằng tốt nghiệp trung học cơ sở, loại giấy tờ gì được thay thế? -
Quốc hội bỏ quy định bắt buộc taxi, xe vận tải phải lắp ghế an toàn cho trẻ em
Gia đình
23/08/2015 18:11"Báo động đỏ" căn bệnh mà 90% người Việt đang mắc phải
Bệnh về răng miệng tuy không gây nguy hiểm đến tính mạng nhưng nó ảnh hưởng trầm trọng đến chất lượng cuộc sống, khiến cho người bệnh đau đớn, khó chịu, ảnh hưởng đến thẩm mỹ...
Nhiều người chỉ để ý đến một số loại bệnh răng miệng điển hình như sâu răng, hôi miệng mà không biết rằng răng miệng có rất nhiều loại bệnh.
Theo GS. TS Trịnh Đình Hải, Chủ tịch Hội Răng hàm mặt Việt Nam, Giám đốc bệnh viện Răng hàm mặt T.Ư, nước ta có hơn 90% số dân có các bệnh răng miệng như sâu răng, viêm mô quanh răng, có tỷ lệ đáng kể người trưởng thành mất răng.
Bệnh về răng miệng tuy không gây nguy hiểm đến tính mạng nhưng nó ảnh hưởng trầm trọng đến chất lượng cuộc sống, khiến cho người bệnh đau đớn, khó chịu, ảnh hưởng đến thẩm mỹ...
Các bệnh thuộc về bệnh răng miệng bao gồm:
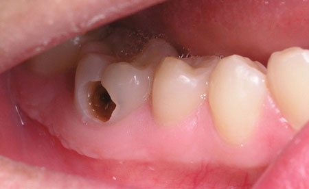
1. Sâu răng
Sâu răng là căn bệnh rất phổ biến của người Việt, Theo thống kê, 75% số dân bị sâu răng vĩnh viễn.
Những người mắc bệnh sâu răng bao gồm cả người lớn, tuy nhiên, tỷ lệ bị sâu răng cao nhất vẫn là trẻ em do trẻ em chưa biết cách vệ sinh răng miệng tốt cộng với thói quen ăn nhiều đồ ngọt và thực phẩm gây hại cho răng.
![]() |
Những vi khuẩn này sẽ tạo nên các chấm đen li ti trên bề mặt nhai, lâu dần những lỗ sâu này phát triển rộng hơn, gây nên cảm giác đau nhức.
Để phòng tránh bệnh sâu răng, bạn cần vệ sinh răng miệng theo đúng hướng dẫn của bác sĩ y khoa:
- Đánh răng ít nhất 2 lần/ngày, sử dụng nước súc miệng, nước muối, chỉ tơ nha khoa để làm sạch răng miệng.
- Hạn chế ăn đồ ngọt và uống nước ngọt có gas.
- Khám răng định kỳ 6 tháng/lần.
2. Viêm lợi
90% người Việt bị viêm lợi - đây là con số mà Hội Răng Hàm Mặt Việt Nam đưa ra.
Viêm lợi gây ra các hiện tượng lợi sưng đỏ, dễ chảy máu chân răng. Bệnh này có thể tiến triển nặng dẫn đến viêm quanh răng, gây mất răng...
Cách phòng tránh căn bệnh viêm lợi:
- Vệ sinh răng miệng ngày 2 lần.
- Súc miệng nước muối sau khi ăn.
- Hạn chế ăn đồ ngọt nhất là vào buổi tối.
3. Hôi miệng
Hôi miệng là căn bệnh ám ảnh của rất nhiều người, đặc biệt gây ảnh hưởng nhiều đến giao tiếp của người mắc bệnh.
Một trong những nguyên nhân chủ yếu gây hôi miệng là do vệ sinh răng miệng không tốt hoặc không đúng cách khiến cho vi khuẩn phát triển trong miệng gây ra mùi hôi. Ngoài ra còn có các nguyên nhân khác như viêm phổi, ít nước bọt, ung thư phổi...
Bạn có thể phòng ngừa và khắc phục hôi miệng bằng cách:
- Vệ sinh răng miệng thường xuyên.
- Súc miệng nước muối hoặc một số loại tinh dầu như tinh dầu bạc hà.
- Hạn chế hút thuốc lá, ăn các thực phẩm có mùi nồng như hành, tỏi...
4. Viêm nha chu (Viêm quanh răng)
Viêm nha chu là những tổn thương lợi, các dây chằng quanh răng, xương ổ răng và xương răng. Bệnh này gây đau đớn cho người bệnh, có mùi hôi và gây chảy máu, nướu đỏ, sưng, lung lay răng...
Nguyên nhân của bệnh viêm nha chu là do các mảng bám và cao răng chứa nhiều vi khuẩn gây tổn thương lợi và vùng quanh răng. Ngoài ra bệnh còn có các nguyên nhân khác như răng mọc lệch, suy dinh dưỡng, thiếu vitamin C, sức đề kháng kém...
Hiện nay vẫn chưa có phương pháp đặc hiệu nào trị bệnh viêm quanh răng. Vì vậy, duy trì thói quen vệ sinh răng miệng sạch sẽ và ăn uống hợp lý là cách tốt nhất để bảo vệ sức khỏe răng miệng.
5. Cao răng
Cao răng hay còn gọi là vô răng là những mảng bám đã cứng lại trên răng được hình thành ngay hoặc dưới đường viền nướu và có thể gây kích ứng mô nướu.
Cao răng tạo thêm diện tích cho mảng bám bám chặt hơn từ đó dẫn đến các tình trạng nghiêm trọng như sâu răng hoặc các bệnh về nướu. Đồng thời, nó cũng gây ảnh hưởng đến thẩm mỹ.
Cách phòng tránh cao răng:
- Lấy cao răng định kỳ theo lịch khám nha khoa.
- Đánh răng đúng kỹ thuật và duy trì tần suất 2 lần/ngày.
- Ngày đầu SEA Games 33 đầy biến động: Chủ nhà Thái Lan liên tục mắc lỗi, Việt Nam và Philippines đồng loạt kiện trọng tài taekwondo thiên vị (18:35)
- Kinh hoàng tại Nigeria: Phá đường dây khách sạn - nhà xác kiêm “lò mổ” nội tạng, nghi ngờ bắt cóc và giết người hàng loạt (18:28)
- Động thái gây sốc của Apple: Đặt cược lớn vào iPhone Fold với số lượng màn hình khủng, thách thức toàn bộ thị trường điện thoại gập (1 giờ trước)
- Nguyễn Thị Hương và Diệp Thị Hương giành HCV đầu tiên cho Đoàn Thể thao Việt Nam tại SEA Games 33 (1 giờ trước)
- Chính thức thông qua Luật Thương mại điện tử (1 giờ trước)
- Bê bối SEA Games 33: VĐV Malaysia bị loại oan vì nghe lời HLV? (2 giờ trước)
- TP HCM: Người phụ nữ tử vong thương tâm sau va chạm với xe container, hé lộ hoàn cảnh đáng thương (2 giờ trước)
- Dấu hiệu bất thường tại công ty của chủ tiệm vàng Kim Chung: Vốn 50 tỷ nhưng chỉ có chỉ 8 lao động (2 giờ trước)
- Giám khảo Rap Việt 2024 bênh vực đàn em bị tố hát nhép ở SEA Games 33 (2 giờ trước)
- Bí quyết khoa học giúp nam giới sau tuổi 40 giảm mỡ bụng cứng đầu (2 giờ trước)
