-
Nhà chung cư: Bài học ở tầng 27 rồi chuyển xuống tầng 3 - Đừng để “view đẹp” lừa bạn
-
Kịch tính bầu cử: Nhật Bản sắp có nữ thủ tướng đầu tiên hoặc thủ tướng trẻ nhất
-
Những chiếc xe có màn lội nước ấn tượng ở trận ngập lụt Hà Nội
-
Phúc đức 3 đời nếu nhà bạn có 4 dấu hiệu này, con cháu không bao giờ thất bát
-
Đang đứng trên sông, người đàn ông bị điện giật tử vong trước sự bàng hoàng của đám đông
-
Hiện trường kinh hoàng vụ sập gãy hoàn toàn đường dẫn lên cây cầu ở Tuyên Quang
-
Nước ngập sâu "không xe nào sống", chiếc Honda Dream này vẫn bon bon lội: Bí mật nằm ở chiếc ống ruột gà
-
Nghịch lý tại Thái Lan: Giá vàng thật lập kỷ lục, người dân đổ xô mua... vàng giả
-
Tổng thống Putin gửi thông điệp "thư giãn, ngủ ngon" tới phương Tây
-
Ngày càng nhiều người chết vì bệnh thận, bác sĩ chỉ đích danh 4 thói quen "phá thận" hơn uống rượu
Gia đình
20/02/2019 15:52Đau bụng dữ dội vì 2 kg đá, đồng xu mắc kẹt trong dạ dày
Theo Daily Mail, bệnh nhân 54 tuổi, giấu tên, đến từ Goyang, Hàn Quốc. Sau khi bị đau bụng dữ dội, bệnh nhân tới bệnh viện Ilsan Paik thuộc Đại học Inje để khám. Theo quan sát ban đầu, các bác sĩ nhận thấy bệnh nhân bị đầy hơi và cảm thấy "có gì đó giống như những viên đá nhỏ" khi họ chạm vào bụng bệnh nhân.
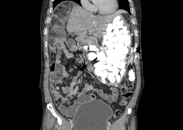
Hình ảnh chụp X-quang cho thấy có một nhóm dị vật lạ, số lượng lớn chiếm lấy toàn bộ dạ dày của bệnh nhân.

Các bác sĩ ban đầu nội soi dạ dày để loại bỏ các dị vật bằng một ống mỏng đưa vào dạ dày qua miệng. Tuy nhiên, nó đã thất bại vì số lượng các dị vật trong dạ dày quá nhiều. Họ không đếm được có bao nhiêu dị vật mà người đàn ông đã nuốt.
Ngày hôm sau, nhóm bác sĩ buộc phải phẫu thuật để loại bỏ chúng. Họ bất ngờ khi nhìn thấy đá cuội, tiền xu và nắp chai trong dạ dày bệnh nhân. Khi được hỏi, bệnh nhân thú nhận ông thường nuốt đồng xu và đá cuội bất cứ khi nào cảm thấy lo lắng, mặc dù đã uống thuốc để trấn tĩnh. Không rõ các dị vật này đã ở bên trong cơ thể bệnh nhân bao lâu, ông chỉ nói đó là thói quen trong quá khứ. Bệnh nhân sau đó đã được về nhà sau 9 ngày điều trị tại bệnh viện.
Câu chuyện bất thường này được xuất bản bởi bác sĩ Pyong Wha Choi trên Tạp chí báo cáo về trường hợp y tế của Mỹ.
Thảo luận về trường hợp hiếm gặp này, bác sĩ Choi cho biết việc nuốt phải vật thể lạ thường xảy ra phổ biến ở trẻ em vì chúng dễ vô tình nuốt phải. Tuy nhiên, ở người trưởng thành khỏe mạnh, những vật hay nuốt nhất bao gồm xương cá và xương gà. Bác sĩ Choi cũng cho biết các vật thể này thông thường sẽ đi qua thực quản, việc bị mắc kẹt trong dạ dày như vậy là rất hiếm.
"Với trường hợp này, mặc dù bệnh nhân không phàn nàn về nôn mửa, số lượng sỏi và đồng xu quá lớn trong dạ dày khiến ông ấy bị đau bụng," bác sĩ Choi chia sẻ.
Theo Phương Mai (Tri Thức Trực Tuyến)








- Nghe cuộc gọi có nội dung này, hãy tắt máy ngay lập tức (16:12)
- Trương Vinh Hiển "đã không fair-play lại còn thiếu tôn trọng Lý Hoàng Nam" (16:10)
- “Mỹ nam vạn người mê Cbiz” thừa nhận "khuyết tật" tâm lý: Không dám có con vì lý do này! (16:01)
- Chỉ sau một cơn mưa đường TPHCM lại thành 'sông', người và xe đua nhau "bơi" trên phố (28 phút trước)
- Cháy nhà ở Thái Lan, 7 người trong một gia đình tử vong (32 phút trước)
- Những vật dụng không nên cho vào máy sấy quần áo bạn cần phải biết (38 phút trước)
- Malaysia công bố danh sách: Vắng hàng loạt cầu thủ nhập tịch (47 phút trước)
- Video bão Matmo đổ bộ Philippines với gió giật cấp 17, gây mưa lớn, nước dâng (49 phút trước)
- 5 dấu hiệu của một người khó giàu: "Chí mạng" nhất là điều số 3, tiền bạc sa sút không khá lên được (51 phút trước)
- Cầm sổ tiết kiệm của cô vợ nội trợ, tôi mới biết bấy lâu mình mới là kẻ "ăn bám" (55 phút trước)




