-
Bắt tạm giam bà Hoàng Hường
-
Đề xuất "xóa sổ" tên bão Bualoi
-
Bộ Chính trị chỉ đạo khắc phục hậu quả bão số 10, ứng phó với bão số 11
-
Tình trạng của NS Hoài Linh tại đền thờ 100 tỷ trong ngày giỗ Tổ sân khấu
-
Bé gái 17 tháng tuổi tử vong thương tâm sau khi ngã vào nồi sữa nóng trong bếp trường học
-
Truy nã hot girl Ly “Meo” sinh năm 2001
-
Bộ Tài chính: Chính sách thuế với bất động sản chưa có gì thay đổi
-
Nhà chung cư: Bài học ở tầng 27 rồi chuyển xuống tầng 3 - Đừng để “view đẹp” lừa bạn
-
Kịch tính bầu cử: Nhật Bản sắp có nữ thủ tướng đầu tiên hoặc thủ tướng trẻ nhất
-
Những chiếc xe có màn lội nước ấn tượng ở trận ngập lụt Hà Nội
Gia đình
20/12/2022 18:05Nghiện thuốc lá, người đàn ông Hà Nội 'mọc kén' trong phổi
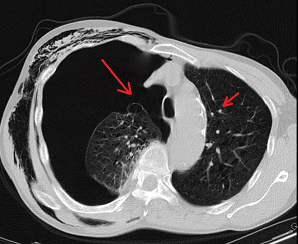
Ngày 19/12, VietNamNet dẫn lời bác sĩ Nguyễn Văn Lâm, Khoa Ngoại tổng hợp, Bệnh viện Đa khoa Đức Giang (Hà Nội), cho hay Bệnh nhân là ông N.V.K, 67 tuổi ở Gia Lâm, Hà Nội, có tiền sử nghiện thuốc lá, thuốc lào 40 năm nay.
Ông vào viện trong tình trạng đau ngực bên phải, khó thở nhiều. Kết quả chụp X-quang tim phổi cho thấy bị tràn khí màng phổi phải nhiều, được đặt dẫn lưu khí bằng catheter.

Sau hai ngày điều trị tại khoa Ngoại tổng hợp, tình trạng của ông K. không cải thiện, các bác sĩ chỉ định chụp CT ngực, phát hiện có nhiều kén khí rải rác ở hai bên đỉnh phổi và đáy phổi phải.
Các bác sĩ nhận định đây là trường hợp tràn khí màng phổi do vỡ kén khí, cần phẫu thuật nội soi. Điều này giúp bệnh nhân cải thiện chức năng hô hấp, vận động; tránh các nguy cơ khó thở kéo dài, tràn dịch màng phổi, áp-xe phổi, viêm mủ màng phổi.
Sau 3 ngày nội soi cắt toàn bộ các kén khí và khâu phục hồi lại nhu mô phổi, bệnh nhân ổn định, phục hồi tốt, phổi giãn nở tốt, có thể vận động nhẹ nhàng, đi lại bình thường.
Trao đổi với Dân Trí, BS Lâm cho biết thêm: "Kén khí ở phổi là tình trạng đặc trưng bởi sự căng giãn thường xuyên của đường dẫn khí từ tiểu phế quản tận cùng trở xuống, kèm theo có sự phá hủy vách các phế nang không phục hồi.
Kén khí phổi xảy ra cục bộ tại vùng của phổi, có thể một hoặc nhiều kén tập trung ở thùy trên nhiều hơn thùy dưới, thường kết hợp với viêm phế quản mãn tính, giãn phế nang khu trú, lao, hoặc bội nhiễm gây áp xe phổi…".

Bệnh làm tăng khoảng chết sinh lý và gây chèn ép tổ chức phổi lành xung quanh. Nếu không phát hiện, phẫu thuật kịp thời sẽ gây xẹp cả phổi ở bên mọc kén, đẩy trung thất ép cả phổi bên đối diện, đưa đến hậu quả là suy hô hấp rất nặng nề. Thậm chí nếu tăng áp lực trong đường thở bệnh nhân, kén khí có thể vỡ gây tràn khí màng phổi dẫn tử vong.
BS Lâm khuyến cáo, đối với những bệnh nhân có những yếu tố nguy cơ do hút thuốc lá thuốc lào nhiều năm hoặc bệnh phổi nên đi khám định kì, để phát hiện các bệnh lý liên quan về kén khí nói riêng và bệnh phổi nói chung, từ đó có hướng điều trị kịp thời.
PN (Nguoiduatin.vn)








- HAGL nhận trái đắng phút 99, đánh rơi chiến thắng theo cách nghiệt ngã ngay tại Pleiku (20:57)
- Quyết định mới nhất của Thủ tướng: Hỗ trợ khẩn cấp 2.524 tỷ đồng, "thần tốc" ổn định cuộc sống người dân (20:48)
- 8 giây kinh hoàng với 2 cô gái trẻ: Ai xem xong cũng rùng mình (20:37)
- Lộ điểm bất thường của Phương Oanh - Shark Bình? (20:30)
- Bắt tạm giam bà Hoàng Hường (1 giờ trước)
- Đề xuất "xóa sổ" tên bão Bualoi (1 giờ trước)
- Khởi tố chủ tài khoản Lãng tử Tây Bắc chiếm đoạt tiền từ thiện (1 giờ trước)
- Bộ Chính trị chỉ đạo khắc phục hậu quả bão số 10, ứng phó với bão số 11 (1 giờ trước)
- Tình trạng của NS Hoài Linh tại đền thờ 100 tỷ trong ngày giỗ Tổ sân khấu (1 giờ trước)
- Bí mật đen tối đằng sau nghề livestream ở Indonesia (1 giờ trước)




