-
Ông Phạm Nhật Vượng sắp có thêm công ty nửa triệu tỷ đồng
-
Nữ hiệu trưởng bị lũ cuốn, 2 con kẹt giữa vùng lũ chưa thể về chịu tang
-
Kỳ Hân - vợ cầu thủ Mạc Hồng Quân đang bị làm sao vậy?
-
Việt Nam kêu gọi quốc tế hỗ trợ khắc phục hậu quả thiên tai
-
2 chiếc ô tô bị nước lũ cuốn trôi ở Thái Nguyên sáng 9/10: Chủ xe tiết lộ tình trạng hiện tại của "xế cưng"
-
Xuất hiện dấu hiệu bất thường dưới chân đê, hàng nghìn người phải khẩn trương ứng phó
-
Nobel Văn chương 2025 xướng tên nhà văn “phong cách ấn tượng”
-
Shark Bình nói về triết lý "không hại người"
-
Nhan sắc dàn “hot girl” đi khám nghĩa vụ quân sự ở Cần Thơ, Vĩnh Long lên hẳn fanpage của phường
-
5 người trong bữa tiệc tại 1 nhà hàng ở TP HCM suýt chết vì một loại khí không màu, không mùi
Gia đình
01/05/2019 21:25Ngoài thuốc lá thì đây chính là những nguyên nhân không ngờ gây nên bệnh ung thư phổi mà nghệ sĩ Lê Bình phải chống chọi trong thời gian dài
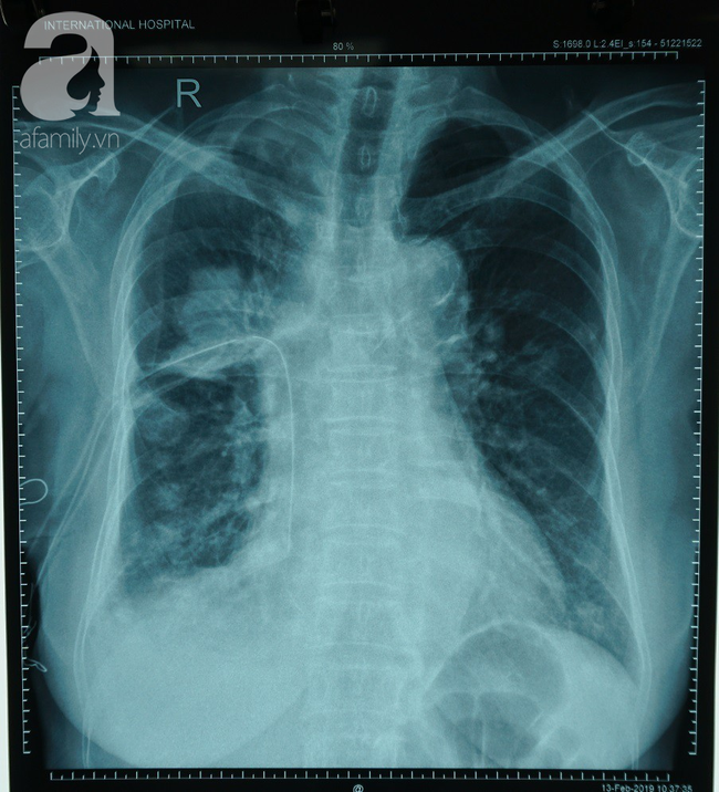
Sáng 1/5 sau gần một năm điều trị ung thư phổi, nghệ sĩ gạo cội Lê Bình đã trút hơi thở cuối cùng tại Bệnh viện Quân y 175 (TP.HCM). Ông ra đi khi tâm nguyện viết cuốn hồi ký cuối đời vẫn còn dang dở, để lại tiếc thương cho khán giả cùng những vai diễn in sâu trong năm tháng.

Trường hợp đau lòng của nghệ sĩ Lê Bình một lần nữa cho thấy sự nguy hiểm và diễn tiến của bệnh ung thư phổi nhanh khủng khiếp thế nào.
BS Lê Nguyễn Khánh Duy cho biết, ung thư phổi là ung thư hay gặp nhất trên toàn cầu, khó phát hiện sớm, kết quả điều trị cũng rất thấp, gây tử vong nhiều nhất trong các loại ung thư.
Bệnh có xu hướng di căn ngay cả trước khi có thể được phát hiện trên phim X-quang.
Có 2 loại chính của ung thư phổi là Ung thư phổi tế bào nhỏ (chiếm 10%, khi phát hiện đã cho xâm lấn và di căn xa) và Ung thư phổi không tế bào nhỏ (chiếm 90%, phát triển qua từng giai đoạn).
92% bệnh nhân ung thư phổi không tế bào nhỏ có thể sống trên 5 năm nếu phát hiện và điều trị ở giai đoạn sớm, khối u ung thư kích thước dưới 1 cm. Nếu đã di căn xa đến gan hoặc tuyến thượng thận thì tỉ lệ này là vô cùng thấp.
Ngoài thuốc lá thì có những nguyên nhân không ngờ gây nên bệnh ung thư phổi
Theo các chuyên gia, 80% bệnh nhân ung thư phổi là những người đã và đang hút thuốc lá hoặc tiếp xúc thụ động với khói thuốc lá.
Tỷ lệ mắc ung thư phổi của người hút thuốc lá so với những người không hút cao hơn gấp 10 lần. Tuy nhiên, ngay cả những người không hút thuốc cũng có nguy cơ bị bệnh.
Trước trường hợp Lê Bình, báo chí từng ghi nhận một nữ giáo viên 28 tuổi, không hề hút thuốc, uống rượu nhưng bàng hoàng phát hiện mình bị ung thư phổi giai đoạn cuối.

Theo các bác sĩ, có rất nhiều nguyên nhân dẫn đến Tiểu Dương bị ung thư phổi. Ngoài yếu tố di truyền, tác động từ môi trường bên ngoài cũng là một khả năng.
TS.BS Bùi Chí Viết, Bệnh viện Ung bướu TP HCM cho biết ngoài thuốc lá, có nhiều yếu tố gây nguy cơ bệnh ung thư phổi như:
- Giới tính: Ung thư phổi chiếm ưu thế ở nam giới. Tại các nước phương Tây, những năm gần đây tỉ lệ ung thư phổi có chiều hướng gia tăng ở phụ nữ.
- Địa lý: Các nước châu Phi có tỷ lệ mắc ung thư phổi thấp hơn 5%. Tỷ lệ này khoảng 5-10% ở châu Á và Nam Mỹ.
- Ô nhiễm không khí.
- Một số người làm nghề như khai khoáng, tiếp xúc trực tiếp với các chất phóng xạ, khí radon cũng có nguy cơ mắc bệnh.
- Ung thư phổi cũng xuất hiện ở người mang các bệnh lý như lao, nhồi máu phổi, viêm phổi... Ngoài ra còn một yếu tố nguy cơ là đột biến gen.
Theo Hoàng Lê (Trí Thức Trẻ)








- Thử thách 70 ngày sinh tồn trong rừng, chàng trai trẻ trở thành nhà vô địch nhận gần 400 triệu tiền thưởng (09/10/25 23:40)
- Phương Oanh cứ nhìn con là khóc (09/10/25 23:23)
- Liên đoàn Bóng đá châu Á ra thông báo về vụ cầu thủ nhập tịch của tuyển Malaysia (09/10/25 22:23)
- Ông chủ khoá trái cửa, đổ xăng đốt quán khiến 3 người ở Hải Phòng bị thương (09/10/25 22:17)
- Djokovic lần thứ 80 vào bán kết Masters 1000 (09/10/25 21:39)
- Tuyển Việt Nam thắng Nepal 3-1 (09/10/25 21:31)
- Người đàn ông bất ngờ ngã gục, tử vong khi đang xem bóng đá (09/10/25 20:40)
- Ông bố ép kẻ đã ấu dâm con gái mình tự đào mộ và kết liễu cuộc đời (09/10/25 20:34)
- Ca sĩ Jack bị xử phạt vì tổ chức họp báo kể chuyện đời tư (09/10/25 20:31)
- HLV Shin Tae-yong bị sa thải (09/10/25 20:27)




