-
Tràn đê bối ở Bắc Ninh, nước lũ cuồn cuộn, sơ tán nghìn người dân trong đêm
-
3 loại rau nhuận tràng, làm sạch ruột và thải độc cho cơ thể
-
Dừng mô tô sát vỉa hè, người đàn ông bị xe tải tông tử vong
-
Bà mẹ hốt hoảng phát hiện con trai 21 tuổi hôn mê trong phòng ngủ
-
Cháy lớn ở cửa hàng quần áo, ông chủ 22 tuổi tử vong thương tâm
-
Miễn nhiệm chức vụ nữ hiệu trưởng cho học sinh lớp 12 "tự nguyện" nghỉ học
-
Ngập sâu tại Hà Nội sáng 8/10: Có nơi đến nửa mét, người dân phải thuê xe kéo
-
Lũ đổ về cuồn cuộn, nhiều khu dân cư bị cô lập, nhà dân, ô tô chìm trong "biển nước"
-
Kẻ bịt mặt từ trần nhà đột nhập cửa hàng điện thoại trộm cắp tài sản
-
Nhiều ý nghĩa đặc biệt từ chuyến thăm Triều Tiên của Tổng Bí thư Tô Lâm
Gia đình
19/12/2018 15:32Người đàn ông bị nhiễm trùng phổi nặng vì thường xuyên... ngửi tất thối
Mới đây bệnh viện 909 ở thành phố Chương Châu, tỉnh Phúc Kiến, Trung Quốc đã tiếp nhận một trường hợp khá đặc biệt, bệnh nhân 37 tuổi họ Bành nhập viện trong tình trạng ho nhiều và liên tục kêu đau ngực.
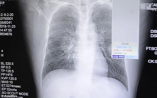
Sau khi tiến hành chụp X-quang, các bác sĩ kết luận người đàn ông này bị nhiễm nấm phổi mức độ nghiêm trọng. Theo một nghiên cứu được công bố trên trang Science Direct, nhiễm nấm phổi là tình trạng sức khỏe nguy hiểm có thể dẫn đến tử vong nếu không phát hiện và điều trị kịp thời.

Điều khiến các bác sĩ băn khoăn là loại nấm mà bệnh nhân hít phải phát triển nhiều trong tất và giày. Khai thác lời kể của bệnh nhân, mọi băn khoăn đã được giải đáp, theo người đàn ông họ Bành, hàng ngày anh thường có thói quen cầm đôi tất đã đi cả ngày của mình và cho lên mũi để ngửi. Từ thông tin trên, các bác sĩ khẳng định rằng sở thích có phần khác người kia chính là nguyên nhân khiến phổi của anh bị nhiễm trùng.
Được biết trước đó, họ Bành thường xuyên phải thức khuya để chăm sóc con nên không được nghỉ ngơi đây đủ, điều đó làm cho hệ thống miễn dịch của anh cũng yếu đi nhiều. Đó là lí do khiến nấm và vi khuẩn trong tất càng dễ dàng tấn công và phát triển thành bệnh.

Bệnh nhân ngay lập tức được nhập viện để tiến hành điều trị. Theo các bác sĩ, dự kiến khả năng phục hồi của họ Bành sẽ tương đối nhanh.
Ngay sau khi thông tin này được chia sẻ rộng rãi trên mạng xã hội, nhiều người đã cảm thấy hoang mang và lo sợ vì nhận thấy chính bản thân mình cũng có thói quen ngửi tất thối tuy nhiên không đến nỗi bị nghiện như bệnh nhân họ Bành.
“Lý do tôi ngửi tất của mình là để xem tra xem liệu tôi có thể tiếp tục đi chiếc tất đó vào ngày hôm sau được hay không. Tôi không nghĩ thói quen này lại nguy hiểm đến vậy. Có lẽ tôi nên ngừng ngửi những chiếc tất sau khi mang chúng cả ngày. Tôi sẽ cố gắng giặt sạch tất sau mỗi lần đi”, một người dùng mạng để lại ý kiến.
Theo Thanh Loan (VietNamNet)








- Sắc vóc cô gái nổi bật nhất Miss Grand (10:33)
- Tràn đê bối ở Bắc Ninh, nước lũ cuồn cuộn, sơ tán nghìn người dân trong đêm (10:32)
- Vụ ô tô lao vào quán nhậu: Lái xe truy đuổi bạn nhậu (10:30)
- 3 loại rau nhuận tràng, làm sạch ruột và thải độc cho cơ thể (10:29)
- Chồng sát hại hai mẹ con rồi nhảy sông tự tử (10:21)
- Xe máy "rẽ sóng" giữa phố, tìm đường lên cao tốc tránh ngập tại Hà Nội (10:17)
- Top điện thoại chống nước tốt nhất năm 2025 (10:15)
- Dừng mô tô sát vỉa hè, người đàn ông bị xe tải tông tử vong (10:08)
- Xe điện chết máy liên tục, Toyota và Subaru đối mặt với nhiều vụ kiện (10:03)
- Bà mẹ hốt hoảng phát hiện con trai 21 tuổi hôn mê trong phòng ngủ (10:03)




