-
Bốn tội danh bủa vây Shark Bình: Khép lại thời hoàng kim của "cá mập" công nghệ -
Sắp công bố danh sách 500 đại biểu Quốc hội khóa XVI: Sẵn sàng tâm thế cho nhiệm kỳ mới -
Phiên 20/3: Hàng loạt cổ phiếu lớn lao dốc, VN-Index giảm sâu xuống dưới 1.650 điểm -
"Chị chồng thị phi nhất Threads" lên tiếng: Thực hư chuyện giật spotlight và vóc dáng "chỉnh sửa quá đà" trong đám hỏi em trai -
Lùm xùm chiếm đoạt tài sản xoay quanh hiện tượng mạng "Thích Nhuận Đạt": Cơ quan công an chính thức vào cuộc -
Trước khi bị bắt, Ngọc Tiền từng vướng tin đồn chiếm tài sản của chồng, có quan hệ bất chính với cháu rể -
Từ "Nữ tướng" bất động sản Phú Quốc đến vòng lao lý: Đời tư và sự nghiệp thăng trầm của bà Nguyễn Ngọc Tiền -
Người đàn ông tử vong bất thường trên đường đi mời giỗ vợ, cơ quan chức năng vào cuộc điều tra -
Doanh nhân Nguyễn Ngọc Tiền – vợ cố diễn viên Quý Bình bị bắt -
"Không có nghĩa vụ lo cho nhà ngoại": Câu nói của chồng khiến người vợ sững sờ khi mẹ ruột nhập viện cấp cứu
Gia đình
23/08/2022 21:04Người phụ nữ nhồi máu phổi vì uống 15 viên thuốc tránh thai khẩn cấp mỗi tháng
Vừa qua, khoa Cấp cứu, Bệnh viện Trung ương Quân đội 108, Hà Nội, tiếp nhận bệnh nhân nữ 34 tuổi, bị đau tức ngực, khó thở ngày thứ 2, đã cấp cứu và điều trị tại tuyến trước nhưng tình trạng ngày càng nặng.
Nữ bệnh nhân được chuyển đến khoa Cấp cứu trong tình trạng tỉnh, khó thở, thở oxy hỗ trợ 5 lít/phút, Sp02 92%, tĩnh mạch cổ nổi, gan to mấp mé bờ sườn.
Khi khai thác tiền sử, bệnh nhân cho biết thường xuyên sử dụng thuốc tránh thai loại Levonorgestrel 10 năm nay, thường uống 12-15 viên/tháng. Khi vào bệnh viện, bệnh nhân đã được chỉ định xét nghiệm cấp cứu, siêu âm tim có hình ảnh giãn buồng tim phải, hở nặng van 3 lá, tăng áp lực động mạch phổi.
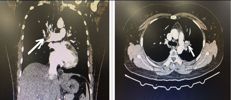
Bác sĩ cấp cứu hướng chẩn đoán tới bệnh thuyên tắc động mạch phổi cấp và quyết định cho chụp CT ngực có tiêm thuốc cản quang. Kết quả là hình ảnh huyết khối động mạch phổi 2 bên.
Người phụ nữ này được điều trị tích cực tại khoa Hồi sức tim mạch theo phác đồ chống đông, hỗ trợ hô hấp tích cực. Bệnh tiến triển tốt. Sau 7 ngày, bệnh nhân đã hết khó thở, toàn trạng ổn định và được ra viện.
Theo BS Phạm Quang Trình - Khoa Cấp cứu, Bệnh viện Trung ương Quân đội 108, tắc mạch phổi (pulmonary embolism - PE) là một cục máu đông lọt vào mạch máu trong phổi và ngăn chặn dòng lưu thông bình thường của máu trong vùng đó. Sự tắc nghẽn này gây trở ngại cho việc trao đổi khí. Tùy thuộc vào cục máu đông nhỏ hay to và số lượng các mạch máu bị tắc nhiều hay ít mà nó sẽ có những biến đổi trên lâm sàng khác nhau, nặng nhất có thể gây tử vong.
Theo nghiên cứu của Alain Weill trong tạp chí BMJ 2016, trong số 100.000 phụ nữ sử dụng viên tránh thai trong một năm, ước tính có 33 phụ nữ sẽ bị thuyên tắc phổi. Đối với thuốc tránh thai khẩn cấp, theo khuyến cáo không dùng thuốc tránh thai khẩn cấp quá 2 lần trong 1 chu kỳ kinh nguyệt.
Các yếu tố nguy cơ đối với tắc mạch phổi:
- Các bệnh máu di truyền: Thalassemia
- Các bệnh mạch máu như suy van tĩnh mạch, xơ vữa động mạch
- Một số bệnh như ung thư: ung thư vú, ung thư phổi…
- Mang thai hoặc trong vòng 6 tuần sau sinh
- Hút thuốc
- Béo phì
- Vận động muộn sau các phẫu thuật lớn, đa chấn thương
- Lạm dụng thuốc tránh thai
- Cao tuổi
- Một số bệnh gây tăng đông máu: sau nhiễm Sars-CoV-2, sốc nhiễm khuẩn…
Càng nhiều yếu tố nguy cơ, càng nhiều khả năng có cục máu đông. Điều quan trọng phải nhận biết người có nguy cơ cao để có thể có cách để ngăn chặn chúng. Khi sử dụng thuốc tránh thai khẩn cấp có thể xảy ra một số tác dụng phụ không mong muốn. Do đó, không nên lạm dụng thuốc quá nhiều, chỉ nên dùng trong các trường hợp thật sự cần thiết.
PN (Nguoiduaitn.vn)
- An Giang: Em rể chờ chị vợ từ nước ngoài về rồi đâm liên tiếp 5 nhát vì đối phương xúi giục ly hôn (20/03/26 23:10)
- Vở kịch hoàn hảo bà Ngọc Tiền – vợ cố diễn viên Quý Bình dựng lên để thu về hơn 131 tỷ đồng (20/03/26 22:55)
- Người sống thọ thường có đặc điểm này ở tay, hãy lưu ý (20/03/26 22:33)
- Hiện trường vụ cháy tại khu tái định cư 7 ha ở TP.HCM: Khói đen bốc cao, người dân gồng mình dập lửa (20/03/26 21:55)
- Tình hình 18 tàu của Việt Nam đang hoạt động ở Trung Đông, kiến nghị hỗ trợ khi đi qua eo biển Hormuz (20/03/26 21:45)
- Phát ngôn của doanh nhân Ngọc Tiền về việc phân chia tài sản sau khi chồng Quý Bình qua đời (20/03/26 21:20)
- Chỉ điều chỉnh giá xăng dầu ngay khi tăng trên 15% (20/03/26 21:00)
- Lộ diện người tố cáo ông Thích Nhuận Đạt, rầm rộ thông tin người đàn ông ‘kêu oan, tố giác ngược bạn gái' (20/03/26 20:56)
- Người thân cận hé lộ lý do cố NS Quý Bình không sống cùng nhà với Ngọc Tiền những ngày cuối đời (20/03/26 20:45)
- Cận cảnh căn nhà của vợ cố NS Quý Bình bị bắt vì bị tố lừa đảo 131 tỷ: Công an phát hiện loạt chứng cứ "khó chối cãi" (20/03/26 20:33)