-
Ô tô Kia Seltos tông cụ bà bán hàng rong rồi bỏ chạy ở Hải Phòng: Tình trạng nạn nhân rất nguy kịch -
Tóc Tiên gây ngỡ ngàng với phát ngôn về "người đàn ông chưa từng làm điều này cho tôi" sau biến cố hôn nhân -
Góc khuất sau tấm mặt nạ "nàng dâu kiểu mẫu": Chiếc máy ghi âm dưới gầm giường và sự thật kinh hoàng -
Clip cụ ông cụt 2 bàn tay kẹp con rắn hổ mang hơn 2m sát vào người sau khi bị cắn, tình hình cụ ông? -
Tử vi Chủ nhật ngày 15/3/2026 của 12 con giáp: Mão thành đạt, Thìn thuận lợi -
Choáng với mức cát sê "khủng" của nữ diễn viên sexy nhất thế giới -
Góc khuất ít ai ngờ về "đại gia kim cương" Chu Đăng Khoa vừa bị bắt: Đứng sau loạt dự án lớn -
Tang lễ Kasim Hoàng Vũ tại Mỹ: Mẹ già "khóc ngất" tiễn con, nắp quan tài khép kín vì một lý do -
Thanh niên đâm trúng ô tô tiền tỷ, vét sạch ví đền bù 3 triệu và câu trả lời bất ngờ của chủ xe -
Thu nhập khủng của ông Vũ Thế Phiệt, Nguyễn Hữu Tới trước khi bị bắt vì liên quan sân bay Long Thành
Gia đình
20/07/2018 16:48Nhìn phim chụp X-quang, chàng trai giật mình biết được lý do mình đau đầu không hề đơn giản
Tiêu Hà, 18 tuổi sống tại thành phố Huệ Châu (Trung Quốc) sau khi kết thúc kì thi đại học đã quyết định nghỉ "xả hơi" bằng cách chơi game gần như suốt đêm, mỗi khi khát lại lấy đồ uống lạnh uống. Đôi lúc cậu cũng cảm thấy đau đầu, chóng mặt nhưng không quan tâm quá nhiều vì nghĩ rằng do bản thân nghịch điện thoại quá lâu.
Một tuần sau, cơn đau đầu ngày càng nghiêm trọng hơn, có lúc cậu tưởng như hộp sọ sắp vỡ ra, buồn nôn và mệt mỏi kéo dài. Gia đình sau đó đã phải đưa Tiêu Hà tới Bệnh viện số 1 ở Huệ Châu kiểm tra.

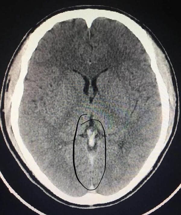
Thông qua kiểm tra CT, bác sĩ Cảnh Anh Triều làm việc tại khoa phẫu thuật thần kinh nhận định Tiêu Hà bị huyết khối tĩnh mạch xoang nội sọ.
Nếu phạm vi tắc nghẽn được mở rộng thêm có thể dẫn tới xuất huyết, đe dọa đến tính mạng. May mắn thay, nhờ đưa tới bệnh viện kịp thời nên các bác sĩ có thể nhanh chóng tiến hành điều trị, các triệu chứng buồn nôn, đau đầu cũng thuyên giảm dần.
Đau đầu vào mùa hè, không nên chủ quan
Bác sĩ Cảnh cho biết: “Mùa hè là khoảng thời gian dễ mắc phải căn bệnh huyết khối tĩnh mạch xoang nội soi, cho đến nay, bệnh viện đã xử lý 4 trường hợp mắc bệnh.”
Nguyên nhân là vì vào mùa hè, thời tiết nóng bức, cơ thể mất nước tương đối nhanh nhưng nhiều người trẻ chủ quan, không uống nước đầy đủ, nghỉ ngơi hợp lý, thường xuyên thức khuya tạo điều kiện cho bệnh hình thành.
Bác sĩ Cảnh cũng cho biết thêm những người trẻ tuổi và phụ nữ là đối tượng dễ gặp tình trạng này do một số thói quen sống như: làm việc quá sức, thiếu nước, sử dụng thuốc tránh thai quá lâu dài,… cũng có thể gây ra các bệnh huyết khối.

Nhiều bệnh nhân khi mắc bệnh sẽ cảm thấy đau đầu nhưng lại chủ quan cho rằng bệnh nhỏ nên không chú ý tới. Trong khi đau đầu là một trong những biểu hiện quan trọng và phổ biến nhất của bệnh huyết khối xoang tĩnh mạch nội sọ. Ngoài ra còn có một số dấu hiệu khác dù ít xảy ra hơn như: mắt mờ, bất tỉnh, co giật, liệt nửa người, không thể giao tiếp,…
Nếu vào mùa hè bạn cảm thấy đau đầu dữ dội và diễn ra trong thời gian dài thì nên đến bệnh viện để được chẩn đoán bệnh chính xác nhất.
Những dấu hiệu nhỏ cảnh báo bệnh ở cơ thể tuyệt đối không nên chủ quan
Trong cuộc sống, nhiều người vì chủ quan với những dấu hiệu tưởng như đơn giản nhưng lại cảnh báo mối đe dọa, dẫn tới việc phát hiện bệnh muộn, gây khó khăn cho việc điều trị. Nếu cơ thể gặp những hiện tượng dưới đây, bạn nên chú ý quan sát và đến gặp bác sĩ sớm nhất.
1. Chóng mặt đột ngột
Khi bạn đột nhiên cảm thấy chóng mặt và cần phải có điểm tựa để đứng vững thì nên tìm đến sự chăm sóc y tế ngay lập tức. Chóng mặt đột ngột và thường xuyên xảy ra có thể là triệu chứng tiềm ẩn của bệnh động mạch vành hoặc rối loạn nhịp tim. Ngoài ra, chóng mặt có thể xảy ra nếu nhịp tim quá nhanh hoặc quá chậm.

2. Đau đầu dữ dội
Đột nhiên có một cơn đau đầu nghiêm trọng, bạn cũng nên đến bệnh viện kiểm tra. Điều này rất có thể là lời cảnh báo cho chứng xuất huyết não. Ngay cả khi cơn đau đầu sau đó biến mất nhưng bạn cũng không nên lơ là, vì rất có thể lần sau sẽ còn nghiêm trọng hơn.
3. Đau bụng bên phải
Nếu cơn đau bụng lúc đầu xuất hiện xung quanh rốn, sau đó chuyển sang phía bên phải của bụng sau 12 giờ, có khả năng bạn bị viêm ruột thừa. Nếu kèm theo sốt nhẹ thì nên tới bệnh viện ngay.
4. Luôn cảm thấy lo âu
Khi lo âu đi kèm với sự tức ngực hoặc khó thở, nó có thể liên quan đến bệnh mạch vành, động mạch chủ hoặc các bệnh nghiêm trọng khác. Đặc biệt là khi các triệu chứng này xuất hiện trong quá trình bạn vận động, biến mất khi nghỉ ngơi thì khả năng cao là bạn mắc bệnh động mạch vành.

5. Bụng khó tiêu ban đêm
Nếu các triệu chứng của chứng khó tiêu xảy ra trong thời gian bạn không ăn uống gì như ban đêm thì có nguy cơ bạn mắc bệnh tim, lipid máu cao, tiểu đường. Nếu bạn đã uống thuốc mà không đỡ thì nên tới bác sĩ.
6. Đau bắp chân kéo dài
Đau bắp chân kèm theo cảm giác nóng rát sau khi đi xe hơi hoặc máy bay trong một thời gian dài, có thể là triệu chứng của chứng huyết khối tĩnh mạch sâu.
7. Sốt kéo dài
Nếu bạn bị sốt không kèm theo cảm lạnh, dễ bị đổ mồ hôi hoặc ớn lạnh (đặc biệt là vào ban đêm), nó có thể là viêm nội tâm mạc do vi khuẩn (vi khuẩn) hoặc nhiễm trùng van tim. Ngoài ra, các khối u ác tính tiềm tàng (như bệnh bạch cầu hoặc ung thư hạch) cũng có thể khiến bệnh nhân tiếp tục bị sốt trong vài tuần.
Theo Hoàng Thùy (Khampha.vn)
- Giá xe Mazda mới nhất tháng 3/2026: Mazda2 từ 418 triệu, CX-3 khởi điểm 549 triệu đồng (09:13)
- Đầu tư 700 triệu mở quán trà chanh theo trào lưu, chủ quán lỗ hàng trăm triệu sau chưa đầy một năm (09:10)
- Ô tô Kia Seltos tông cụ bà bán hàng rong rồi bỏ chạy ở Hải Phòng: Tình trạng nạn nhân rất nguy kịch (09:03)
- Trực tiếp lễ trao giải Oscar 2026: “Sinners” thắng lớn, K-pop làm nên lịch sử (22 phút trước)
- Hội phụ huynh "đại chiến" vì quỹ lớp: Khi minh bạch tài chính và văn hóa ứng xử trở thành tâm điểm tranh cãi (34 phút trước)
- Tóc Tiên gây ngỡ ngàng với phát ngôn về "người đàn ông chưa từng làm điều này cho tôi" sau biến cố hôn nhân (46 phút trước)
- Bước leo thang mới tại Trung Đông: Iran lần đầu đưa "tên lửa nhảy múa" Sejjil vào cuộc tấn công Israel (47 phút trước)
- Triệt phá đường dây mua bán hóa đơn "ma" liên tỉnh cực lớn với quy mô 6.000 tỷ đồng (54 phút trước)
- Góc khuất sau tấm mặt nạ "nàng dâu kiểu mẫu": Chiếc máy ghi âm dưới gầm giường và sự thật kinh hoàng (57 phút trước)
- 4 người trong một gia đình Palestine tử nạn do trúng đạn của binh sĩ Israel (1 giờ trước)