-
Suất ăn 25.000 đồng như 10.000 đồng: Nhà trường chỉ bị kiểm điểm?
-
Ông bố U70 bơi 4 tiếng qua dòng nước ngập, đem đồ ăn cho con gái ở Thái Nguyên
-
Phát hiện thi thể nữ giới có hình xăm bông hoa ở chân tại bãi biển Vũng Tàu
-
Hiện trạng khu đất "ông bầu" Cao Tiến Đoan thu lợi bất chính 191 tỉ đồng
-
Quân đội xuất quân hỗ trợ nhân dân phòng, chống dịch bệnh sau ngập lụt
-
Đã hết “concert quốc gia” nhưng nữ ca sĩ này vẫn chạy show chính luận mệt nghỉ
-
Phát hiện thi thể người đàn ông mất tích nhiều ngày tại Huế
-
5 chỉ đạo của Thủ tướng sau vụ cháy nhà ở phường Văn Miếu - Quốc Tử Giám
-
Hình ảnh mới nhất của Phương Oanh
-
Phạm Quỳnh Anh “var thẳng” Miu Lê
Gia đình
23/04/2023 15:07Phát hiện ung thư giai đoạn cuối từ bất thường ở chân
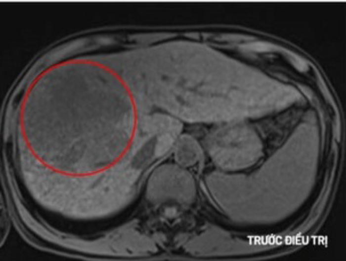
Xét nghiệm AFP cao bất thường nên các bác sĩ làm xét nghiệm chuyên sâu. Kết quả chụp MRI cho thấy khối u lớn ở gan phải với kích thước 10x10x12cm. Bác sĩ chẩn đoán anh C. mắc ung thư gan giai đoạn muộn.

Thạc sĩ, bác sĩ Vũ Văn Thịnh - Khoa Phẫu trị - Xạ trị - Y học hạt nhân, Bệnh viện Việt Nam Thụy Điển Uông Bí (Quảng Ninh) - cho biết, trên thế giới, ung thư gan là bệnh ung thư đứng hàng thứ 7 trong tổng số các bệnh ung thư nhưng tỷ lệ tử vong đứng hàng thứ 3. Tại Việt Nam, tỷ lệ mắc ung thư gan đứng đầu ở nam giới.
Theo bác sĩ Thịnh, nguyên nhân ung thư gan chưa xác định rõ ràng nhưng các yếu tố gây bệnh là tình trạng xơ gan, viêm gan và thói quen sống. 80% số bệnh nhân ung thư gan tiến triển từ viêm gan B, 5% số bệnh nhân ung thư gan từ viêm gan C. Ngoài ra, thói quen sử dụng đồ uống có cồn thường xuyên là nguyên nhân chính gây xơ gan, ung thư gan. Thói quen lười vận động, béo phì, gan nhiễm mỡ không do rượu cũng làm tăng nguy cơ.
Bác sĩ Thịnh nhấn mạnh, các dấu hiệu ung thư gan mờ nhạt, giai đoạn sớm gần như không có triệu chứng.
Một số người có biểu hiện mệt mỏi, chán ăn, rối loạn tiêu hóa, vàng da, vàng mắt, phù chân, đau tức hạ sườn. Khi đó, bệnh đã ở giai đoạn đã muộn.
Bác sĩ Thịnh khuyến cáo người dân nên có thói quen quan tâm tới sức khỏe. Cách tốt nhất phát hiện được sớm ung thư gan là khám sức khỏe định kỳ.
Theo Phương Thúy (Saostar.vn)








- Vụ nữ sinh Đại học Ngoại ngữ mất tích: Thi thể trôi dạt cách Hà Nội 120 km (20:05)
- Báo Trung Quốc bất ngờ chế giễu ĐT Indonesia: “Họ chỉ dựa vào may mắn và mối quan hệ” (22 phút trước)
- Mang thai 27 tuần, cô gái ở Hà Nội tự mua thuốc phá thai trên mạng (40 phút trước)
- “Tôi vừa mất hết tất cả”: Tâm sự đầy cay đắng của một "coin thủ" sau đêm bão tố (57 phút trước)
- Yêu cầu kiểm điểm vụ bữa ăn "đạm bạc" của học sinh gây xôn xao dư luận (1 giờ trước)
- Đằng sau sự bình tĩnh đến kỳ lạ của Bắc Kinh trước đòn tăng thuế quan của Tổng thống Mỹ (1 giờ trước)
- 8 lần xóa xăm đau đớn của chàng trai TP.HCM từng xăm kín mặt (1 giờ trước)
- Bị giật 40 tờ vé số, người đàn ông hoảng hốt chạy bộ đuổi theo xe kẻ cướp (2 giờ trước)
- Đã mắt ngắm hàng chục con cá heo "nhảy múa" giữa biển Hòn Cau (2 giờ trước)
- Đăng hình ảnh có chứa logo cờ bạc, một cô gái bị phạt 7,5 triệu đồng (2 giờ trước)




