-
Hỗ trợ khẩn cấp 140 tỷ cho 4 tỉnh khắc phục hậu quả mưa lũ, Thái Nguyên mức cao nhất 50 tỷ
-
Cụ bà 91 tuổi ở Thái Nguyên ngồi canh bát hương chồng trong căn nhà ngập nặng
-
100 thuyền, xuồng từ Chùa Hương tiến về vùng lũ trợ giúp người dân Thái Nguyên, Bắc Ninh
-
Cô gái 20 tuổi trở về từ Malaysia nhập viện cấp cứu vì ngực rỉ dịch xanh bất thường sau một mũi tiêm
-
Ban chấp hành Đảng bộ TP Hà Nội nhiệm kỳ 2025-2030 dự kiến có 75 người
-
Cư dân biệt thự Hà Nội sắm máy bơm "khủng", canh nước ngập như canh "chứng khoán"
-
Vì sao mưa bão cực lớn, dị thường liên tiếp trút xuống gây ngập lụt lịch sử?
-
Chóng mặt khi đang làm việc, người đàn ông đột ngột rơi vào nguy kịch
-
Thủ tướng Phạm Minh Chính tới Thái Nguyên thăm hỏi người dân, chỉ đạo khắc phục hậu quả mưa lũ
-
25 người chen chúc trên tầng 2 nhà duy nhất giữa lũ ngập ở Lạng Sơn
Gia đình
09/04/2022 23:53Phổi đông đặc sau 20 ngày khỏi Covid-19
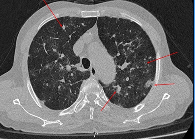
Ngày 9/4, bác sĩ Bệnh viện Đa khoa Hùng Vương (Phú Thọ) cho biết, kết quả chụp CT lồng ngực bệnh nhân cho hình ảnh phổi đông đặc, tổn thương lan tỏa hai phổi do di chứng Covid. Bệnh nhân đang được điều trị tích cực và theo dõi sát tình trạng tổn thương phổi.

Trước đó, người đàn ông này cho biết trong thời gian mắc Covid-19 chỉ có các triệu chứng nhẹ, khỏi bệnh nhanh. Tuy nhiên, di chứng hậu Covid-19 ở phổi của trường hợp này rất nặng.
Từ đây, bác sĩ khuyến cáo F0 sau khỏi bệnh nếu có các triệu chứng bất thường cần đi khám hậu COVID-19 càng sớm càng tốt để dự phòng các nguy cơ, có phương hướng điều trị phù hợp và kịp thời. Đặc biệt, những người thuộc nhóm đối tượng sau đây cần lưu ý:
Nhóm người có bệnh nền (như tăng huyết áp, mạch vành, đái tháo đường, rối loạn chuyển hoá...).
Nhóm người từ 60 tuổi trở lên bởi đây là nhóm có nguy cơ có nhiều bệnh đồng mắc chưa khởi phát nhưng sau khi mắc COVID-19 có thể thúc đẩy tình trạng nặng hơn.
Nhóm người phải nhập viện khi mắc COVID-19 (bị suy hô hấp, phải can thiệp thở oxy trở lên, sốt cao phải nhập viện…).
Có triệu chứng như ho, tức ngực, khó thở, đau đầu… sau khi khỏi COVID-19
PN (Nguoiduatin.vn)








- Myra Trần thi The Voice Mỹ, không HLV nào bấm chọn (15:47)
- Xác định hai đội tuyển đầu tiên vào tứ kết U20 World Cup 2025 (15:41)
- Sau cơn bạo bệnh ở tuổi 70, tôi mới biết đứa con hiếu thảo của mình trong mắt hàng xóm lại là người như vậy (15:25)
- Hỗ trợ khẩn cấp 140 tỷ cho 4 tỉnh khắc phục hậu quả mưa lũ, Thái Nguyên mức cao nhất 50 tỷ (15:23)
- Mỹ nhân đẹp tới từng chân tơ kẽ tóc, diễn xuất đơ cứng vẫn được tha thứ bởi xem phim vì nhan sắc thì có gì sai? (15:15)
- Cụ bà 91 tuổi ở Thái Nguyên ngồi canh bát hương chồng trong căn nhà ngập nặng (15:14)
- Trường học trong "ốc đảo": Giáo viên dùng xe cứu hộ, thuyền phao... đưa đón học sinh (15:10)
- 100 thuyền, xuồng từ Chùa Hương tiến về vùng lũ trợ giúp người dân Thái Nguyên, Bắc Ninh (15:09)
- Một công ty dược ở Đà Nẵng bị truy thu và xử phạt gần 1 tỉ đồng tiền thuế (15:08)
- Ra mắt điện thoại "cục gạch" nhưng... thông minh, thiết kế giống Nokia Asha huyền thoại ngày xưa, giá chỉ hơn 1 triệu đồng (15:05)




