-
Ông Phạm Nhật Vượng sắp có thêm công ty nửa triệu tỷ đồng
-
Nữ hiệu trưởng bị lũ cuốn, 2 con kẹt giữa vùng lũ chưa thể về chịu tang
-
Kỳ Hân - vợ cầu thủ Mạc Hồng Quân đang bị làm sao vậy?
-
Việt Nam kêu gọi quốc tế hỗ trợ khắc phục hậu quả thiên tai
-
2 chiếc ô tô bị nước lũ cuốn trôi ở Thái Nguyên sáng 9/10: Chủ xe tiết lộ tình trạng hiện tại của "xế cưng"
-
Xuất hiện dấu hiệu bất thường dưới chân đê, hàng nghìn người phải khẩn trương ứng phó
-
Nobel Văn chương 2025 xướng tên nhà văn “phong cách ấn tượng”
-
Shark Bình nói về triết lý "không hại người"
-
Nhan sắc dàn “hot girl” đi khám nghĩa vụ quân sự ở Cần Thơ, Vĩnh Long lên hẳn fanpage của phường
-
5 người trong bữa tiệc tại 1 nhà hàng ở TP HCM suýt chết vì một loại khí không màu, không mùi
Gia đình
10/02/2021 02:50Quên uống thuốc chống đông 1 ngày, người phụ nữ 36 tuổi ở Hà Nội bị đột quỵ não
Trước đó, BV Việt Đức tiếp nhận trường hợp người bệnh N.T.H (nữ, 36 tuổi) đến từ Sóc Sơn với biểu hiện đột quỵ não.
Người bệnh có tiền sử thay van tim cơ học cách đây 15 năm tại BV Việt Đức. Do quên uống thuốc chống đông 1 ngày, sau khi ngủ dậy vào lúc 7h sáng ngày 27/01/2021, chồng chị H phát hiện vợ bị méo miệng, nói khó và yếu liệt nửa người hoàn toàn bên phải; ngay lập tức anh đã đưa chị đến BV Việt Đức.
Tại BV Việt Đức, qua thăm khám cho bệnh nhân, bác sĩ nhận thấy người bệnh có các triệu chứng của đột quỵ và đã khởi động quy trình cấp cứu đột quỵ não.

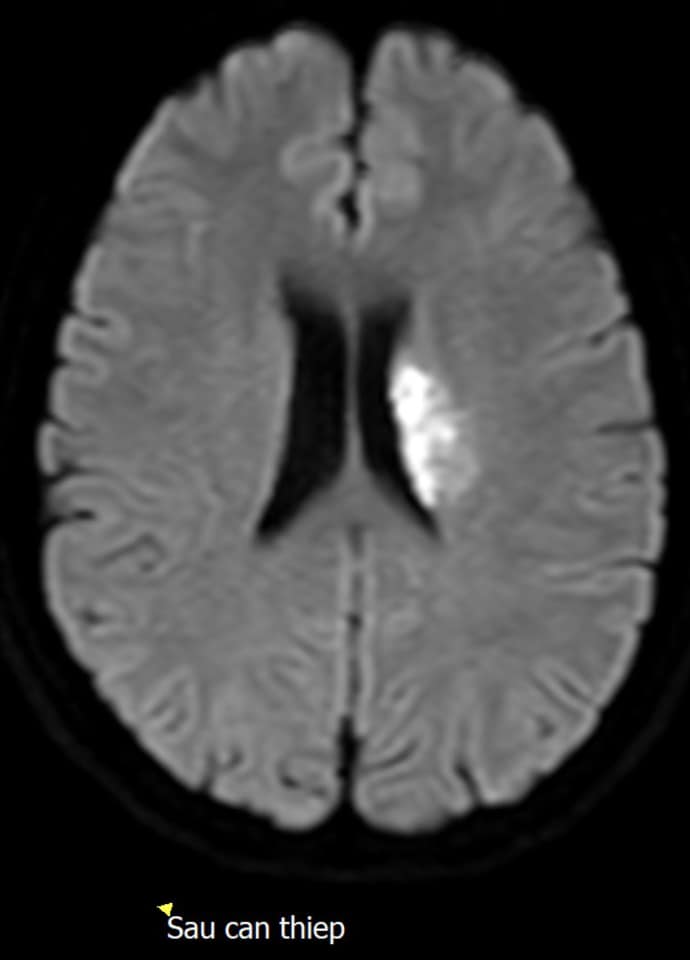
Bác sĩ đơn vị đột quỵ khẩn trương đánh giá lâm sàng và hội chẩn với bác sĩ chẩn đoán hình ảnh. Nhận thấy đây là đột quỵ lúc ngủ nên cần phương pháp chẩn đoán hình ảnh chuyên sâu hơn để đưa ra hướng điều trị phù hợp, vì vậy người bệnh được đưa ngay đi chụp cộng hưởng từ đánh giá thêm về tưới máu não.
Trên phim cộng hưởng từ có tắc động mạch não giữa bên trái, vùng nguy cơ thiếu máu có thể cứu được có kích thước lớn hơn vùng hoại tử rất nhiều, nhóm đột quỵ đã hội chẩn nhanh chóng và quyết định hướng điều trị cho người bệnh là thực hiện can thiệp lấy huyết khối cơ học qua đường động mạch.
Trước khi can thiệp tay chân không thể tự nâng lên được, quá trình tái thông động mạch não giữa bị tắc trong thời gian 20 phút với 01 lần đưa dụng cụ lên lấy huyết khối, ngay sau khi kết thúc thủ thuật người bệnh phục hồi tay tự nâng lên và tự cử động đầu ngón và bàn chân.
Hiện tại người bệnh đi lại được và tỉnh táo hoàn toàn, được chuyển về khoa Nội - Hồi sức thần kinh để tiếp tục theo dõi và cho chụp cộng hưởng từ kiểm tra sau 24 giờ can thiệp, kết quả vùng nguy cơ thiếu máu sau tái thông có hình ảnh tưới máu như nhu mô não bình thường.
TS.BS Lê Thanh Dũng - Trưởng khoa Chẩn đoán hình ảnh, BV Việt Đức cho biết, đột quỵ là nguyên nhân gây tử vong đứng hàng thứ ba và là nguyên nhân hàng đầu gây tàn phế. Đột quỵ thiếu máu hay nhồi máu não chiếm tỷ lệ 80 - 85% các bệnh nhân đột quỵ não.
Thiếu máu não kéo dài sẽ dẫn đến nhồi máu não thực sự nếu không được tái thông kịp thời và sẽ để lại các di chứng nặng nề. Lấy huyết khối động mạch não bằng dụng cụ cơ học mang lại nhiều ưu điểm, có thể tái thông được các mạch máu lớn, cửa sổ điều trị lên 16 giờ và thậm chí 24h đối với tuần hoàn trước và có thể tới 12 giờ đối với hệ tuần hoàn sau.

Qua trường hợp của chị H, các chuyên gia khuyến cáo, người bệnh có tiền sử bệnh lý tim mạch tuyệt đối không được quên uống thuốc chống đông nếu không sẽ gây ra những hậu quả khôn lường. Bên cạnh đó, nếu bệnh nhân có biểu hiện lâm sàng đột quỵ cần ngay lập tức đưa đến các cơ sở y tế uy tín.
Đột quỵ nhồi máu não nếu không được phát hiện sớm và điều trị kịp thời sẽ để lại di chứng tàn tật nặng nề, ảnh hưởng đến chất lượng cuộc sống của người bệnh, là gắng nặng kinh tế cho gia đình người bệnh và toàn xã hội.
Nếu người bệnh có triệu chứng nghi ngờ đột quỵ não, cần đến ngay các cơ sở y tế uy tín để khám, chẩn đoán và điều trị kịp thời tránh các di chứng nặng nề về sau.
Để nhận biết dấu hiện đột quỵ, hãy nhớ tới từ F.A.S.T:
- (Face): Gương mặt mất cân đối, hoặc méo xệ một bên miệng;
- (Arm): Kiểm tra tình trạng hiện yếu hoặc liệt tay, chân;
- (Speech): Ngôn ngữ bất thường;
- (Time): thời gian, nếu xuất hiện 1 trong 3 dấu hiệu kể trên người bệnh có nguy cơ đột quỵ rất cao, hãy khẩn trương gọi cấp cứu và nhanh nhất đưa bệnh nhân đến cơ sở y tế có khả năng điều trị đột quỵ.
Ngoài ra người bệnh có yếu tố nguy cơ cao (cao huyết áp, bệnh lý tim mạch, đái tháo đường, mỡ máu cao, hút thuốc lá…) cần khám sức khỏe định kỳ và tuân thủ chế độ điều trị của thầy thuốc.
Theo Thái Bình (Sức Khỏe & Đời Sống)








- Thử thách 70 ngày sinh tồn trong rừng, chàng trai trẻ trở thành nhà vô địch nhận gần 400 triệu tiền thưởng (09/10/25 23:40)
- Phương Oanh cứ nhìn con là khóc (09/10/25 23:23)
- Liên đoàn Bóng đá châu Á ra thông báo về vụ cầu thủ nhập tịch của tuyển Malaysia (09/10/25 22:23)
- Ông chủ khoá trái cửa, đổ xăng đốt quán khiến 3 người ở Hải Phòng bị thương (09/10/25 22:17)
- Djokovic lần thứ 80 vào bán kết Masters 1000 (09/10/25 21:39)
- Tuyển Việt Nam thắng Nepal 3-1 (09/10/25 21:31)
- Người đàn ông bất ngờ ngã gục, tử vong khi đang xem bóng đá (09/10/25 20:40)
- Ông bố ép kẻ đã ấu dâm con gái mình tự đào mộ và kết liễu cuộc đời (09/10/25 20:34)
- Ca sĩ Jack bị xử phạt vì tổ chức họp báo kể chuyện đời tư (09/10/25 20:31)
- HLV Shin Tae-yong bị sa thải (09/10/25 20:27)




