-
Nghi phạm sát hại 3 người ở Đồng Nai bị bắt
-
Ùn tắc "ngộp thở" ở TPHCM: Nghìn người "chôn chân", xe máy rẽ hẻm tìm lối thoát
-
Triệu Vy bị tố dính líu đến vụ nam diễn viên 28 tuổi bị tra tấn đến chết?
-
Chồng mất 9 tháng đã có người đến hỏi cưới, bố mẹ chồng biết chuyện, thế là sóng gió nổi lên
-
Xót xa tang lễ 3 người bị bắn tử vong ở Đồng Nai, hàng xóm tiếc thương: "Tôi đã rất sốc và đau lòng"
-
Tổng Bí thư Tô Lâm sắp thăm Triều Tiên
-
Chị dâu đanh đá lười biếng nhưng lại có một "bài" khiến anh trai tôi chiều chị điên cuồng
-
Bóc hộp bánh Trung thu người yêu con trai biếu, cả gia đình bị sốc: Lời bao biện thật khó "nuốt trôi"
-
Camera AI ở TP HCM có thể nhận diện những lỗi vi phạm nào?
-
Yêu cầu đưa Bệnh viện Bạch Mai, Việt Đức cơ sở 2 vào hoạt động trước ngày 30/11/2025
Gia đình
06/02/2018 22:20Thử nghiệm văcxin ung thư trên người
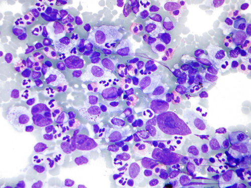
Cuộc chiến của con người với ung thư có thể sắp bước sang trang mới khi nhóm nhà khoa học từ Đại học Stanford (Mỹ) tuyên bố bắt đầu thử nghiệm liệu pháp mới trên người.
Theo Independent, liệu pháp mới này kết hợp từ hai loại thuốc hiện có và hoạt động tương tự văcxin. Để thực hiện, đội ngũ y tế tiêm một microgram hợp chất vào khối u sao cho các tế bào miễn dịch vốn bị ung thư ức chế được tái kích hoạt, từ đó gây phản ứng miễn dịch toàn cơ thể rồi tiêu diệt mọi khối u.

Trước đây, Đại học Stanford đã thử nghiệm liệu pháp văcxin ung thư trên chuột và thu về kết quả "thần kỳ". 87 trên 90 con chuột ung thư hạch bạch huyết khỏi hoàn toàn, ba con bị tái phát cũng không còn dấu hiệu bệnh tật sau liều tiêm thứ hai. Thử nghiệm trên chuột ung thư vú, ung thư ruột và ung thư da cũng cho kết quả tương tự.
"Tôi không nghĩ có loại ung thư nào mà phương pháp này không điều trị được", tiến sĩ Ronald Levy thuộc nhóm nghiên cứu tự tin.
Tháng 1/2018, các tác giả chính thức thử nghiệm văcxin ung thư trên người với sự tham gia của 15 bệnh nhân u lympho. Nếu thành công, đây là phương pháp hiệu quả ngăn ngừa bệnh tái phát sau phẫu thuật.
Theo Minh Nguyên (VnExpress.net)








- Lời khai của người phụ nữ lái xe tốc độ cao, tông tử vong chủ tịch xã rồi rời khỏi hiện trường (1 giờ trước)
- Vụ học viên cai nghiện tấn công cán bộ rồi bỏ trốn: Công an thông tin nguyên nhân (1 giờ trước)
- Nhóm nữ nổi tiếng cover hit của Phương Mỹ Chi gây sốt (1 giờ trước)
- Nghi phạm sát hại 3 người ở Đồng Nai bị bắt (1 giờ trước)
- Triệu Vy bị tố dính líu đến vụ nam diễn viên 28 tuổi bị tra tấn đến chết? (1 giờ trước)
- Ùn tắc "ngộp thở" ở TPHCM: Nghìn người "chôn chân", xe máy rẽ hẻm tìm lối thoát (1 giờ trước)
- CĐV bắt chuột ở Old Trafford (1 giờ trước)
- Chuỗi hành động kỳ lạ của ông Trump (2 giờ trước)
- Bất ngờ 'nhân vật đặc biệt' khiến đại gia phải tặng xe siêu sang Rolls-Royce (2 giờ trước)
- "Mệt mỏi vô cùng" giữa dòng xe kẹt sáng đầu tuần ở cửa ngõ TPHCM (2 giờ trước)




