-
Phương Oanh và Shark Bình giàu cỡ nào?
-
Sinh nhật “8 nghìn lá 2 nghìn xôi” và toan tính của Hà Môi
-
Phân bổ 265 tỷ đồng cho 17 địa phương bị thiệt hại nặng do bão số 10
-
Dàn cầu thủ nhập tịch Malaysia cuống cuồng cứu sự nghiệp
-
Căn nhà hai tầng đổ sập trong tích tắc vì lũ dữ ở Tuyên Quang: Hoàn cảnh đáng thương của gia đình
-
Chân dung người đầu tiên trên thế giới sở hữu 500 tỷ USD, gấp vài lần GDP của nhiều quốc gia
-
5 người trong tổ chức khủng bố "Chính phủ quốc gia Việt Nam lâm thời" bị truy tố
-
Đời thực của diễn viên đóng cảnh nóng táo bạo đang gây chú ý phim giờ vàng VTV
-
Hà Nội mở bán dự án nhà ở xã hội giá cao kỷ lục gần 30 triệu đồng/m2
-
Hình ảnh 2 máy bay chở khách vỡ mũi, gãy cánh do va chạm tại sân bay
Gia đình
13/06/2025 21:24Tưởng bệnh vặt không ngờ suýt chết vì bệnh hiếm gặp
Hai tháng mơ hồ với dấu hiệu tưởng như không đáng lo
Ngày 12/6, BS.CKII Dương Văn Mười Một, Trưởng khoa Phẫu thuật Tim – Lồng ngực Mạch máu, Bệnh viện Nhân dân 115 TP.HCM cho biết bệnh viện vừa điều trị thành công một ca tràn mủ màng ngoài tim lượng lớn – một bệnh lý hiếm gặp nhưng nguy cơ tử vong rất cao nếu không được phát hiện và xử trí kịp thời.
Bệnh nhân là nam giới trung niên, có tiền sử nghiện rượu nhiều năm, vừa được chẩn đoán xơ gan và đái tháo đường. Trước khi nhập viện khoảng hai tháng, ông bắt đầu xuất hiện

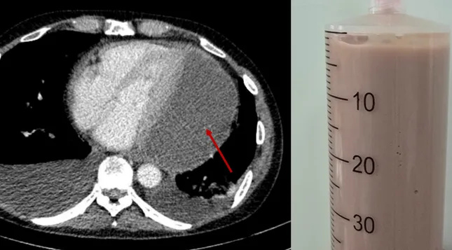
Tình trạng bệnh diễn tiến âm thầm nhưng ngày càng nghiêm trọng. Khi đến Bệnh viện Nhân dân 115, bệnh nhân trong trạng thái suy kiệt toàn thân, phải thở oxy liều cao, phù nề toàn thân, huyết áp tụt và mạch nhanh. Các bác sĩ nhanh chóng thực hiện siêu âm tim và phát hiện một khối dịch lớn gần 11cm bao quanh tim. Ổ mủ đặc quánh này gây chèn ép tim nghiêm trọng, khiến tim gần như không thể co bóp, đẩy bệnh nhân vào nguy kịch.
Hút ổ mủ đặc quanh tim – can thiệp khẩn cấp giành lại sự sống
Nhận thấy nguy cơ tử vong cấp tính, các bác sĩ của nhiều chuyên khoa tại Bệnh viện Nhân dân 115 đã khẩn trương hội chẩn và thống nhất chỉ định chọc hút dịch mủ màng ngoài tim ngay tại giường bệnh dưới hướng dẫn siêu âm. Đây là thủ thuật khó, do dịch mủ đặc nằm sâu và sát các cấu trúc nguy hiểm của tim. Sau quá trình thao tác cẩn trọng, ê-kíp đã hút ra được 500ml mủ đặc, nhanh chóng giải phóng áp lực chèn ép, giúp tim bắt đầu co bóp trở lại.
Sau đó, bệnh nhân được phẫu thuật mở cửa sổ màng tim để dẫn lưu triệt để phần dịch mủ còn sót lại. Đồng thời, bác sĩ sử dụng kháng sinh phổ rộng để kiểm soát nhiễm trùng, kết hợp điều trị các bệnh nền như đái tháo đường, xơ gan và tăng cường nuôi dưỡng tổng trạng. Xét nghiệm loại trừ lao và ký sinh trùng, xác định đây là một trường hợp viêm mủ màng ngoài tim không điển hình nhưng diễn tiến rất nặng.
Chỉ sau 14 ngày điều trị tích cực, bệnh nhân hồi phục đáng kể. Các dấu hiệu sinh tồn ổn định, tình trạng đau ngực, khó thở biến mất hoàn toàn. Kết quả siêu âm kiểm tra sau điều trị cho thấy dịch quanh tim không còn, bệnh nhân ăn uống, vận động bình thường và đủ điều kiện xuất viện. Theo BS Mười Một, đây là một ca bệnh hiếm gặp, đặc biệt nguy hiểm do dễ bị nhầm lẫn với các rối loạn thông thường ở người có bệnh nền, dẫn đến chậm trễ điều trị.
Thông tin thêm về tràn mủ màng ngoài tim
Tràn mủ màng ngoài tim là tình trạng nhiễm trùng khoang màng tim, gây tích tụ mủ quanh tim và chèn ép hoạt động co bóp bình thường của tim. Nếu không được phát hiện và xử lý sớm, bệnh có thể dẫn đến tụt huyết áp, sốc tim, nhiễm trùng huyết và tử vong. Đây là bệnh lý hiếm gặp với tỷ lệ khoảng 1 trên 18.000 người. Triệu chứng thường không rõ rệt, dễ nhầm với các bệnh mạn tính khác. Can thiệp sớm bằng chọc hút dịch mủ, kết hợp kháng sinh mạnh và điều trị toàn diện là yếu tố quyết định để cứu sống người bệnh. Việc chủ động đi khám khi có triệu chứng bất thường kéo dài là biện pháp đơn giản nhưng cực kỳ quan trọng để phát hiện và điều trị kịp thời các bệnh lý nguy hiểm như tràn mủ màng ngoài tim.
Theo Vân Sơn (Tiền Phong)








- FIFA dùng bóng AI ở World Cup 2026 (08:07)
- Lập khống hồ sơ bệnh án nhằm chiếm đoạt tiền bảo hiểm (08:01)
- Giá vàng hôm nay 3/10/2025 chịu tác động mạnh từ việc Chính phủ Mỹ đóng cửa (27 phút trước)
- Hình ảnh cả nghìn gốc đào, quất lúp xúp giữa biển nước dưới chân cầu Nhật Tân (38 phút trước)
- Ông Putin phản ứng khi Nga bị gọi là "hổ giấy", bàn về xung đột ở Ukraine (42 phút trước)
- Dự báo thời tiết 3/10/2025: Bão Matmo tiến vào Biển Đông, miền Bắc nắng 34 độ (47 phút trước)
- Người phụ nữ tử vong sau va chạm trụ điện ở TP.HCM (51 phút trước)
- Phương Oanh và Shark Bình giàu cỡ nào? (59 phút trước)
- Sinh nhật “8 nghìn lá 2 nghìn xôi” và toan tính của Hà Môi (1 giờ trước)
- Hơn 20 năm không sinh nở, mẹ kế Bắc Ninh một lòng nuôi 2 con chồng khôn lớn (1 giờ trước)




