-
Người dân phản ứng dữ dội vì loa phát thanh 4h30, phường Mão Điền vẫn giữ truyền thống gây tranh cãi -
Thanh Hóa: Clip bò mẹ đuổi theo xe máy chở bò con bị gãy chân suốt 2 km khiến CĐM xúc động -
Sống nhờ máy thở, chỉ cử động một ngón tay, chàng trai vẫn điều hành doanh nghiệp công nghệ -
Đề xuất dựng công trình tưởng niệm các nạn nhân sau vụ lật xe ở Lào Cai khiến 9 người tử vong: Ngân sách lấy từ đâu? -
U23 Việt Nam được AFC liệt tên vào danh sách ứng viên vô địch giải Châu Á 2026 -
Giữa tin đồn "to tiếng" với nhà chồng, Doãn Hải My được chị dâu Văn Hậu nhắc thẳng tên, thái độ ra sao? -
Sự cố hy hữu ở Bắc Ninh: Nam thanh niên "xuyên không" xuống tiệm tóc, chủ quán lên tiếng đính chính -
Uống 1 ly mỗi ngày, nguy cơ ung thư tăng tới 87%: Loại nước nhiều người Việt dùng như thói quen -
Vụ cháy nhà 4 người tử vong ở Đắk Lắk: Nhiều người đến thắp nén hương tiễn biệt nạn nhân xấu số -
Danh sách nhóm người phải đổi CCCD trong năm 2026 để tránh bị phạt tiền, tài khoản ngân hàng bị khóa
Giới trẻ
17/02/2025 13:26Dùng 'đồ phụ nữ' này sai cách, cô gái bị nhiễm trùng thận
Sarah (tên nhân vật đã được thay đổi) khoảng 30 tuổi, sống tại Anh. Cô bắt đầu cảm thấy những khó chịu dai dẳng ở vùng chậu và thắt lưng khoảng nửa năm trước. Tuy nhiên, Sarah quá bận rộn và chủ quan, cho rằng đó là cơn đau nhức do ngồi nhiều, ít vận động và liên quan tới chu kỳ kinh nguyệt. Đến khi vô tình nhìn thấy máu trong nước tiểu của mình và theo dõi điều này xảy ra trong gần 1 tuần cô mới chịu đi khám. Cô sốc nặng khi bác sĩ nói mình bị nhiễm trùng thận.
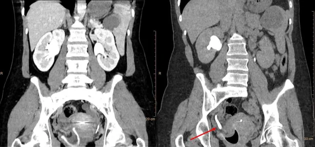
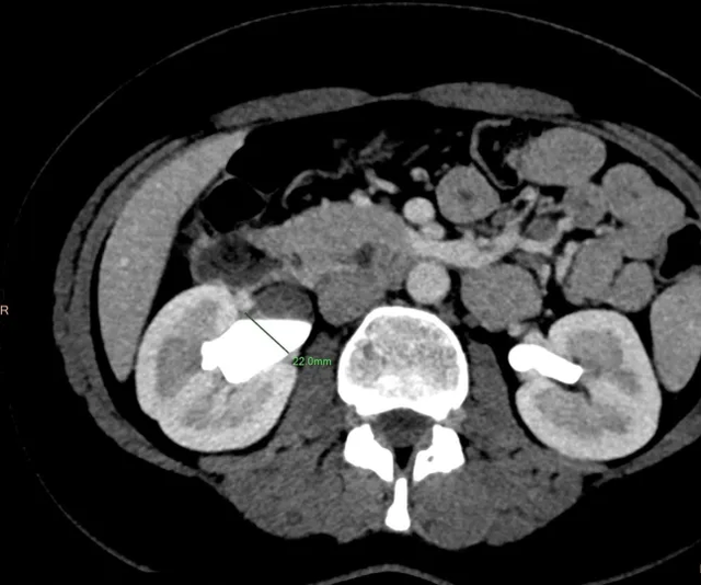
Bởi vì khi tới bệnh viện, Sarah cũng chỉ cho rằng mình bị sỏi thận tái phát. Nhưng kết quả chụp cắt lớp tiết niệu khiến các bác sĩ bất ngờ: thận phải và niệu quản của cô bị sưng đáng kể, với đường kính giãn nở lên đến 22mm. Nguyên nhân được xác định là do cốc nguyệt san đặt sai vị trí, vô tình chặn đường lưu thông của nước tiểu. Điều này dẫn đến hiện tượng ứ nước thận, gây nhiễm trùng và đau đớn kéo dài.
Ngay khi được hướng dẫn ngừng sử dụng cốc nguyệt san và điều chỉnh cách đặt cốc, tình trạng của cô cải thiện rõ rệt. Một tháng sau, khi kiểm tra lại, các triệu chứng gần như biến mất. Tuy nhiên, cô vẫn đang điều trị ngoại trú, theo dõi định kỳ theo hướng dẫn.
Tiến sĩ Gratien Andersen (Mỹ) cho biết, nhiễm trùng thận (viêm bể thận) là tình trạng vi khuẩn xâm nhập vào thận, thường do nhiễm trùng đường tiết niệu lan lên. Nếu không điều trị kịp thời, bệnh có thể gây tổn thương thận vĩnh viễn, nhiễm trùng huyết và nguy hiểm đến tính mạng. Triệu chứng phổ biến gồm sốt cao, đau lưng, tiểu buốt và nước tiểu có máu hoặc mùi hôi.
Cảnh báo 5 sai lầm phổ biến khi dùng cốc nguyệt san và tác hại
Cốc nguyệt san đang ngày càng phổ biến, được đánh giá là một giải pháp hiện đại, tiện lợi và thân thiện với môi trường để thay thế băng vệ sinh. Tuy nhiên, nếu sử dụng không đúng cách, nó có thể gây ra hậu quả nghiêm trọng. Tiến sĩ Gratien Andersen chia sẻ rằng những trường hợp tương tự như Sarah không phải hiếm. Đồng thời đưa ra 5 sai lầm phổ biến khi dùng cốc nguyệt san gây hại mà chị em cần tránh, thay đổi như:
- Chọn sai kích thước cốc: Nếu cốc quá to hoặc quá cứng, nó có thể gây áp lực lên niệu đạo, cản trở dòng nước tiểu, dẫn đến nhiễm trùng đường tiết niệu.
- Đặt cốc quá sâu hoặc sai vị trí: Cốc nguyệt san nên nằm ở phần thấp của âm đạo, không nên đặt quá sâu. Nếu không, nó có thể chèn ép niệu quản, gây ứ nước thận và đau vùng chậu.
- Không tháo cốc đúng cách: Kéo cốc ra mà không phá vỡ lực hút có thể gây tổn thương âm đạo và làm lệch vị trí của cổ tử cung, gây khó chịu và tăng nguy cơ viêm nhiễm.
- Sử dụng quá lâu mà không thay rửa: Cốc nguyệt san có thể giữ kinh nguyệt trong vòng 8-12 giờ, nhưng nếu để quá lâu, vi khuẩn có thể sinh sôi, gây viêm nhiễm âm đạo và hội chứng sốc độc (TSS).
- Không vệ sinh cốc đúng cách: Nếu không tiệt trùng cốc nguyệt san sau mỗi chu kỳ hoặc rửa không đúng cách, vi khuẩn có thể tích tụ, gây viêm nhiễm phụ khoa.
Lưu ý, nếu cảm thấy khó chịu hay dấu hiệu bất thường khi sử dụng, nên tham khảo ý kiến chuyên gia hoặc đi khám ngay.
Theo Ngọc Ái (Thanh Niên Việt)
- Người dân phản ứng dữ dội vì loa phát thanh 4h30, phường Mão Điền vẫn giữ truyền thống gây tranh cãi (49 phút trước)
- Hàn Quốc: Tổng thống Lee Jae-myung cam kết làm sáng tỏ thảm kịch Jeju Air sau một năm im lặng (54 phút trước)
- Thanh Hóa: Clip bò mẹ đuổi theo xe máy chở bò con bị gãy chân suốt 2 km khiến CĐM xúc động (1 giờ trước)
- Thảm kịch trực thăng va chạm giữa không trung tại Mỹ: Hiện trường tan hoang, ít nhất một người tử vong (1 giờ trước)
- Xôn xao tin Lisa (BLACKPINK) bí mật đăng ký kết hôn với bạn trai tài phiệt tại Pháp (1 giờ trước)
- Cristiano Ronaldo thống trị bảng lương bóng đá thế giới năm 2025 (1 giờ trước)
- Sống nhờ máy thở, chỉ cử động một ngón tay, chàng trai vẫn điều hành doanh nghiệp công nghệ (1 giờ trước)
- Hà Nội: Kinh hoàng cảnh nhóm đối tượng dùng dao truy sát thanh niên trong bến xe Giáp Bát (2 giờ trước)
- Đề xuất dựng công trình tưởng niệm các nạn nhân sau vụ lật xe ở Lào Cai khiến 9 người tử vong: Ngân sách lấy từ đâu? (2 giờ trước)
- Giá bạc trong nước tăng "phi mã" 182%, thiết lập đỉnh lịch sử mới (2 giờ trước)