-
Phân bổ 265 tỷ đồng cho 17 địa phương bị thiệt hại nặng do bão số 10
-
Dàn cầu thủ nhập tịch Malaysia cuống cuồng cứu sự nghiệp
-
Căn nhà hai tầng đổ sập trong tích tắc vì lũ dữ ở Tuyên Quang: Hoàn cảnh đáng thương của gia đình
-
Chân dung người đầu tiên trên thế giới sở hữu 500 tỷ USD, gấp vài lần GDP của nhiều quốc gia
-
5 người trong tổ chức khủng bố "Chính phủ quốc gia Việt Nam lâm thời" bị truy tố
-
Đời thực của diễn viên đóng cảnh nóng táo bạo đang gây chú ý phim giờ vàng VTV
-
Hà Nội mở bán dự án nhà ở xã hội giá cao kỷ lục gần 30 triệu đồng/m2
-
Hình ảnh 2 máy bay chở khách vỡ mũi, gãy cánh do va chạm tại sân bay
-
Công an TPHCM nói về phạt lao động công ích đối với người vi phạm giao thông
-
Ông Nguyễn Đức Trung tái đắc cử Bí thư Tỉnh ủy Nghệ An
Giới trẻ
01/04/2025 02:11Người đàn ông Hà Nội đi khám vì ho, bất ngờ phát hiện thứ đáng sợ trong đại tràng
Anh Đ.V.T (40 tuổi, ở Tây Hồ, Hà Nội) đến khám do ho nhiều ngày không rõ nguyên nhân. Khi ở nhà, anh T đã uống thuốc kháng sinh nhưng không đỡ.
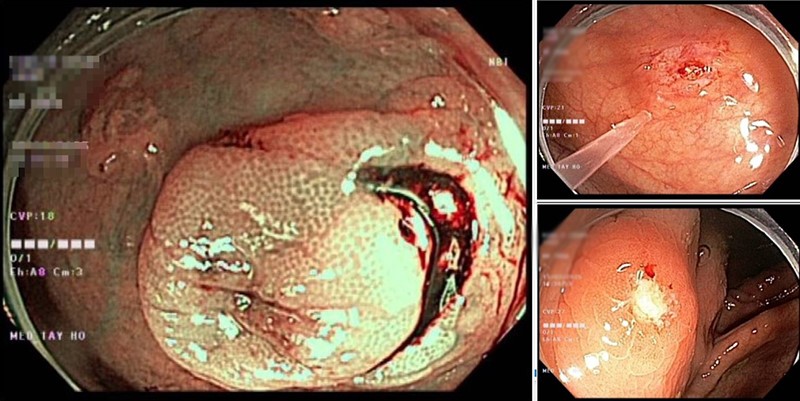
Bác sĩ chỉ định anh T thăm khám lâm sàng và thực hiện một số xét nghiệm cận lâm sàng bao gồm chụp cắt lớp vi tính (CT) phổi liều thấp, nội soi dạ dày, nội soi đại - trực tràng.
Kết quả chụp CT phổi và siêu âm ổ bụng không ghi nhận hình ảnh áp xe tại phổi hoặc gan. Như vậy, phổi anh T hoàn toàn bình thường.
Tuy nhiên, trong quá trình nội soi đại - trực tràng, các bác sĩ phát hiện một ổ loét tại manh tràng. Tổn thương này được sinh thiết, gửi làm giải phẫu bệnh và các xét nghiệm vi sinh.
Kết quả giải phẫu bệnh cho thấy tổn thương loét manh tràng là do amip. Xét nghiệm huyết thanh cho thấy nồng độ kháng thể kháng amip trong máu tăng cao, góp phần củng cố chẩn đoán nhiễm amip đại tràng.

Amip nguy hiểm ra sao?
Bác sĩ Võ Thành Lai - Trung tâm Giải phẫu bệnh, Hệ thống Y tế Medlatec - cho biết bệnh nhân T được chẩn đoán xác định mắc viêm loét manh tràng do amip. Bệnh nhân được chỉ định điều trị nội khoa bằng phác đồ diệt amip.
Viêm đại tràng do amip là bệnh nhiễm trùng đường tiêu hóa do Entamoeba histolytica, một loại amip gây bệnh phổ biến ở khu vực có điều kiện vệ sinh kém.
Con đường lây nhiễm của bệnh chủ yếu qua đường tiêu hóa, do ăn uống thực phẩm nhiễm kén amip, một số có thể do qua quan hệ tình dục đường miệng. Những người có hệ miễn dịch suy yếu, hoặc sống trong môi trường kém vệ sinh có nguy cơ cao mắc bệnh.
Theo bác sĩ Lai, khoảng 80 - 90% người nhiễm Entamoeba histolytica không có triệu chứng. Khi có triệu chứng, bệnh nhân có thể bị từ tiêu chảy nhẹ đến lỵ nặng.
Thời gian ủ bệnh từ 1-2 tuần đến 3 tháng. Thể cấp tính với hội chứng lỵ có các triệu chứng như đau bụng, mót rặn và đi ngoài phân nhầy máu. Thể bán cấp và mạn tính có các triệu chứng là rối loạn tiêu hóa, suy nhược cơ thể.
Bác sĩ Lai khuyến cáo viêm đại tràng do amip nếu không được trị kịp thời có thể gây ra nhiều biến chứng nguy hiểm như: xuất huyết tiêu hóa, hoại tử ruột, thủng ruột gây viêm phúc mạc. Bệnh có thể gây biến chứng ở các cơ quan khác như viêm phổi - màng phổi, áp xe phổi, viêm gan, hoặc áp xe gan, áp xe não do amip.
Phòng ngừa viêm đại tràng do amip
Trong những năm gần đây, tình trạng mắc các bệnh lý đường tiêu hóa nói chung và viêm loét đại tràng nói riêng đang ngày càng trẻ hóa. Nguyên nhân chủ yếu liên quan đến lối sống hiện đại: ăn uống thiếu điều độ, không đảm bảo vệ sinh; sử dụng thực phẩm chế biến sẵn, căng thẳng kéo dài và thói quen tự ý dùng thuốc, bác sĩ Lai cho hay.
Không ít người chủ quan, bỏ qua những triệu chứng ban đầu, vô tình phớt lờ “lời kêu cứu âm thầm của cơ thể”, khiến bệnh diễn tiến mạn tính. Nguy hiểm hơn, viêm đại tràng kéo dài có thể dẫn đến ung thư đại - trực tràng.
Do đó, để phòng ngừa và phát hiện sớm viêm loét đại tràng, bác sĩ Lai khuyến cáo:
- Ăn chín, uống sôi, hạn chế rau sống và thực phẩm chưa rõ nguồn gốc;
- Rửa tay sạch bằng xà phòng trước khi ăn và sau khi đi vệ sinh;
- Tránh dùng chung đồ dùng cá nhân, đặc biệt tại môi trường tập thể;
- Không tự ý dùng thuốc, đặc biệt là kháng sinh hoặc thuốc chống viêm;
Khi có các triệu chứng kéo dài như ho khan, tiêu chảy, đau bụng, phân có nhầy/máu, rối loạn tiêu hóa, người dân cần đi khám. Người từng nhiễm amip nên tái khám định kỳ để đảm bảo ký sinh trùng được loại bỏ hoàn toàn.
Theo Ngọc Minh (nguoiduatin.vn)








- Không còn dấu hiệu sự sống tại trường học bị sập ở Indonesia, nơi 59 học sinh mắc kẹt dưới đống đổ nát (02/10/25 23:39)
- Sự thật về 2,5 triệu USD Shark Bình đầu tư vào AntEx và màn chạy quảng cáo tố "thằng em phản bội" hút triệu người (02/10/25 23:35)
- Vắng Quang Hải, CLB Công an Hà Nội vẫn thắng dễ đội bóng của Hồng Kông - Trung Quốc (02/10/25 23:01)
- Được giao sửa xe đặc chủng của Công an xã, thanh niên mang đi "lượn" đường (02/10/25 22:39)
- Dùng "siêu đội hình" độc nhất vô nhị, đội bóng Việt Nam toàn thắng tại giải châu Á (02/10/25 21:33)
- Con gái hoa khôi bóng chuyền Kim Huệ là ứng viên hoa khôi, visual cực đỉnh, chiều cao mới gây chú ý (02/10/25 21:27)
- Điện thoại đánh mất bỗng được trả lại, chủ nhân rụng rời khi thấy loạt ảnh kỳ quái bên trong (02/10/25 21:21)
- Truy nã nam diễn viên Fast and Furious (02/10/25 20:42)
- Mất điện thoại, giáo viên yêu cầu cả lớp viết "người nghi ngờ" khiến phụ huynh bức xúc (02/10/25 20:38)
- Phân bổ 265 tỷ đồng cho 17 địa phương bị thiệt hại nặng do bão số 10 (02/10/25 19:54)




