-
Hà Nội: Hy hữu cảnh con rể nằm trên nắp capo ô tô của bố vợ để ngăn cản đòi xe -
Nâng ngưỡng miễn thuế lên 1 tỷ đồng: "Phao cứu sinh" cho hàng triệu hộ kinh doanh và doanh nghiệp nhỏ -
34 triệu thuê bao di động phải xác thực qua VNeID trước ngày 15/6 -
Huy động vốn ngoại qua trái phiếu Chính phủ dài hạn để đột phá hạ tầng giao thông -
Thủ tướng chỉ đạo hỏa tốc: Tuyệt đối không để thiếu điện, đẩy mạnh nhập khẩu từ Lào và Trung Quốc -
Xác minh clip người đàn ông mở cửa nhảy khỏi ô tô đang chạy sau khi cãi vã với bạn gái -
TP.HCM: Tài xế gắng gượng tấp xe vào lề để tránh gây tai nạn trước khi qua đời vì đột quỵ -
Mẹ chồng buộc con dâu ký giấy chia tài sản, sự thật phía sau khiến ai cũng ngỡ ngàng -
Ám ảnh khoảnh khắc ô tô tông tử vong người phụ nữ đang đi bộ cùng 3 trẻ nhỏ -
Ai được tăng lương hưu, trợ cấp từ ngày 1/7?
Giới trẻ
09/03/2025 00:08Người đàn ông Hà Nội mắc ung thư giai đoạn cuối: Sau 4 tháng làm 1 điều, 90% khối u đã biến mất
Bệnh nhân 77 tuổi (sống tại Hà Nội) đi khám do mất ngủ và sụt cân, không có triệu chứng ho. Bệnh nhân đã quyết định đi khám thần kinh tìm nguyên nhân. Do bệnh nhân cao tuổi nên bác sĩ nghĩ có thể tai biến mạch máu não thoáng qua. Bác sĩ đã chỉ định MRI sọ não.
Kết quả MRI sọ não xuất hiện tổn thương nghi ngờ ác tính do di căn. Để tìm căn nguyên, bệnh nhân đã được tầm soát toàn cơ thể.
Theo Thạc sĩ, bác sĩ Nguyễn Duy Anh, Trung tâm Ung bướu, Xạ trị và Y học hạt nhân Quốc Tế (Bệnh viện Đa khoa Phương Đông), kết quả kiểm tra cho thấy bệnh nhân mắc ung thư phổi giai đoạn cuối, di căn xương, di căn não.
Bệnh nhân có tiền sử hút thuốc từ thời trẻ, tuy nhiên đã bỏ thuốc được 10 năm, nhưng vẫn có hút thuốc thụ động từ bạn bè. Đây là một trong những yếu tố nguy cơ thúc đẩy ung thư đến sớm hơn.
Kết quả xét nghiệm gen cho thấy bệnh nhân có đột biến dương tính với ALK. Đây là một đột biến hiếm nhưng có thể điều trị hiệu quả bằng thuốc nhắm trúng đích.
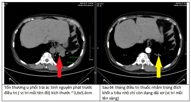
Khối u tại phổi biến mất 90% nhờ tuân thủ điều trị
Bác sĩ Duy Anh cho biết bệnh nhân có một tâm lý rất vững vàng. Khi biết mắc bệnh ung thư ở giai đoạn cuối, tinh thần bệnh nhân không thay đổi. Ông hỏi rất kỹ về phương pháp điều trị, thời gian điều trị.
“Tôi cảm nhận thấy bệnh nhân điềm tĩnh, vững tinh thần, chủ động đối mặt với ung thư. Khi tinh thần bệnh nhân vững vàng, lạc quan, việc điều trị bệnh rất thuận lợi. Nhờ vậy mà bệnh nhân tuân thủ đúng điều trị. Với tinh thần lạc quan nên bệnh nhân hấp thu dinh dưỡng, hồi phục cũng rất tốt. Bệnh nhân sau khi nhận phương án điều trị đã ăn uống, ngủ nghỉ rất khoa học”, bác sĩ Duy Anh nói.
Sau 4 tháng điều trị, các khối u tại phổi, não, xương của bệnh nhân đều thu nhỏ lại. Đặc biệt tại phổi, khối u đã biến mất tới 90%. Đây là một kết quả kinh ngạc, tạo ra kỳ tích cho bệnh nhân.
“Bằng việc tuân thủ điều trị theo đúng phác đồ, bệnh nhân có kết quả hoàn toàn bất ngờ “thần kỳ” sau 4 tháng điều trị”, bác sĩ Duy Anh chia sẻ.


Ung thư phổi không đồng nghĩa với án tử
Theo tổ chức ghi nhận ung thư Thế giới GLOBOCAN 2022, tại Việt Nam, ung thư phổi đứng hàng thứ ba về tỷ lệ mắc mới với hơn 24.500 ca mắc mới hằng năm ở cả 2 giới, sau ung thư vú, ung thư gan.
Ung thư phổi giai đoạn 4 không đồng nghĩa với mất đi hy vọng.Với những tiến bộ trong điều trị nhắm trúng đích, bệnh nhân có thể kiểm soát bệnh tốt hơn, nâng cao chất lượng sống và kéo dài thời gian sống.
Bác sĩ Duy Anh cho hay, hiện nay với sự phát triển của các loại thuốc đích đã kéo dài thời gian sống thêm cho bệnh nhân một cách rõ rệt. Nếu như cách đây 10 năm bệnh nhân ung thư phổi chỉ có thể sống thêm 1-2 năm thì hiện nay, với các trường hợp ung thư phổi giai đoạn cuối có đột biến gen thì phương pháp điều trị thuốc đích và miễn dịch sẽ có tiên lượng kéo dài 3 năm, 4 năm có những bệnh nhân 6-8 năm.
Bác sĩ Duy Anh khuyên để phòng ngừa ung thư phổi, cần hạn chế các chất, tác nhân gây bệnh ung thư như thuốc lá, thực phẩm, hóa chất độc hại… Bên cạnh đó, mọi người nên duy trì lối sống lành mạnh, ăn uống khoa học, tập thể dục thể thao đều đặn và thường xuyên thăm khám sức khỏe định kỳ...
Theo Ngọc Minh (nguoiduatin.vn)
- Màn đối đáp hóm hỉnh giữa Vua Charles III và Tổng thống Trump: Từ chuyện "ngôn ngữ" đến ký ức Nhà Trắng bị đốt (29/04/26 22:57)
- Hà Nội: Hy hữu cảnh con rể nằm trên nắp capo ô tô của bố vợ để ngăn cản đòi xe (29/04/26 22:51)
- Nâng ngưỡng miễn thuế lên 1 tỷ đồng: "Phao cứu sinh" cho hàng triệu hộ kinh doanh và doanh nghiệp nhỏ (29/04/26 22:46)
- 34 triệu thuê bao di động phải xác thực qua VNeID trước ngày 15/6 (29/04/26 22:29)
- Huy động vốn ngoại qua trái phiếu Chính phủ dài hạn để đột phá hạ tầng giao thông (29/04/26 22:16)
- Vị Tổng Bí thư từng "chặn đứng" lạm phát chưa từng có, bí danh lấy từ cuộc vượt ngục của chính mình (29/04/26 20:04)
- Trục vớt xe tăng ở biển Quy Nhơn, phát hiện nhiều hiện vật bất ngờ (29/04/26 19:31)
- Nhà máy nội thất 4.000 m² ở TP.HCM bị thiêu rụi: Hàng trăm công nhân thoát nạn, tài sản cháy sạch (29/04/26 19:24)
- "Đại gia food reviewer" 40 triệu follow bị phong sát: Truy thu thuế 18,9 triệu NDT, khóa sạch nền tảng (29/04/26 19:15)
- Shark Hưng bất ngờ nộp đơn xin từ chức tại Cen Land (29/04/26 18:01)