-
Người giàu không quét nhà kiểu như bạn: Bí mật phong thuỷ giữ tài khí qua cây chổi
-
Khoảnh khắc cây cầu biến dạng khi dòng lũ đục ngầu cuồn cuộn đổ về ở Cao Bằng
-
Khớp gối biến dạng, tuyến thượng thận bị suy do uống thảo dược mua từ nước ngoài
-
Hà Nội tiếp tục mưa lớn, lũ sông lên nhanh
-
Thu hồi ngay 3 loại dầu gội đầu, dung dịch vệ sinh là hàng giả
-
Cục CSGT nêu khó khăn trong việc xử phạt qua camera AI
-
Hiệu trưởng xin lỗi vì suất ăn 25.000 đồng như 10.000 đồng
-
Hình ảnh mây đen "như muốn sập xuống" ở Hà Nội
-
Vỡ đập thủy điện Bắc Khê 1 ở Lạng Sơn
-
Thầy giáo bị đồng nghiệp bóp cổ giữa sân trường vì nhắc đỗ xe sai quy định
Giới trẻ
23/02/2025 01:15Người đàn ông TP.HCM bị nang sán 'làm tổ' trong não chỉ bởi mê ăn thịt lợn kiểu này
Theo thông tin, Khoa Nội Thần kinh Tổng quát Bệnh viện Nhân dân 115 TP.HCM gần đây tiếp nhận một bệnh nhân nam 66 tuổi, ngụ tại Hóc Môn, TP.HCM, nhập viện trong tình trạng đau đầu dữ dội, co giật méo miệng, yếu nhẹ nửa người phải. Khai thác tiền căn người bệnh đã có những triệu chứng âm thầm kéo dài nhiều tháng như mệt mỏi, đau cơ, tiêu phân lỏng, nôn ói kéo dài, sụt cân, hồi hộp đánh trống ngực, rối loạn nhịp tim, thậm chí đã từng bị ngất.
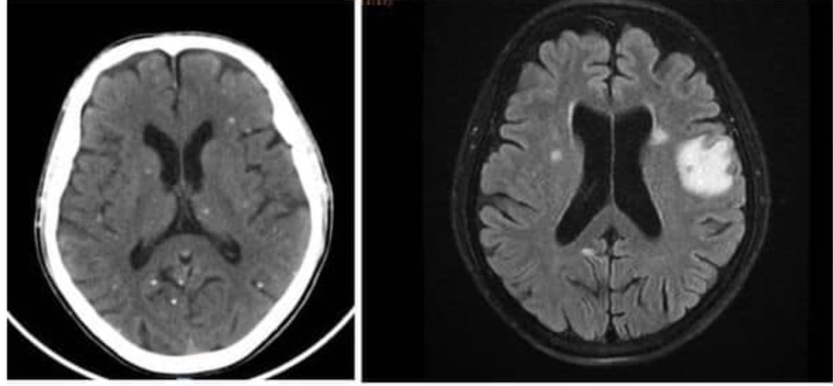
Sau khi được thăm khám lâm sàng, bệnh nhân được chụp cộng hưởng từ (MRI) sọ não ghi nhận tổn thương não nhiều vị trí, phù não. Bác sĩ nghi ngờ bệnh nhân nhiễm ký sinh trùng ở não nên tiếp tục thực hiện xét nghiệm huyết thanh học xác nhận kết quả dương tính với ấu trùng sán dải lợn Cysticercus.
Bệnh nhân được chụp Xquang xương đùi, CT-scan ngực để tầm soát tổn thương ở cơ quan khác, phát hiện vô số nang sán dải còn sống hoặc đã bị hóa vôi "ẩn nấp" trong não, nhu mô phổi, và trong da, cơ trên toàn bộ cơ thể người bệnh.

Thủ phạm chính là món thịt lợn tái mà bệnh nhân ăn hàng tuần
Qua điều tra dịch tễ, bác sĩ ghi nhận bệnh nhân có thói quen hay ăn gỏi thịt lợn tái sống và uống nước không đun sôi trong nhiều năm và đã từng có thời gian chăn nuôi gia súc, trong đó có lợn giống.
Trường hợp này được chẩn đoán viêm não do nang sán dải lợn và nhiễm nang sán dải ở đa cơ quan, nổi bật nhất là ở não, mô dưới da và ở cơ. Người bệnh nhanh chóng được điều trị bằng thuốc chống ký sinh trùng, chống viêm, phòng ngừa co giật cùng với chăm sóc tích cực. May mắn, bệnh nhân hồi phục tốt sau quá trình điều trị và được xuất viện.
Bệnh sán dải lợn, do ký sinh trùng Taenia solium gây ra, có hai dạng phổ biến: sán dải trưởng thành sống trong ruột non và ấu trùng sán dải ký sinh tại các cơ quan trong cơ thể. Đây là bệnh nguy hiểm, đặc biệt tại những khu vực có thói quen ăn uống không đảm bảo vệ sinh.
Người ăn phải thịt lợn có nang chứa ấu trùng sán dải còn sống (heo gạo), khi vào ruột non sẽ nở ra thành con sán trưởng thành. Trường hợp người nuốt phải trứng sán dải lợn thì sẽ phát triển thành bệnh nang sán dải lợn. Trứng sán dải lợn xâm nhập vào cơ thể qua đường tiêu hóa, nở thành ấu trùng. Sau đó ấu trùng di chuyển qua hệ tuần hoàn và "định cư" tại các cơ quan như não, cơ hoặc mắt, gây tổn thương nghiêm trọng.
Nguồn lây nhiễm phổ biến là từ những món ăn như nem chua, thịt lợn tái sống, rau sống, hoặc do vệ sinh tay kém.

Triệu Chứng
Sán dải trưởng thành: Sán dải bám vào ruột non, gây đầy hơi, chướng bụng, đau vùng thượng vị, chán ăn, hoặc sụt cân. Tuy nhiên, nhiều trường hợp không có triệu chứng rõ ràng, chỉ phát hiện qua đốt sán dải theo phân ra ngoài.
Nang sán dải lợn: Nang có thể xuất hiện ở não, cơ, mắt, hoặc tim. Khi ký sinh ở não, bệnh nhân có thể đau đầu dữ dội, động kinh, rối loạn trí nhớ, hoặc liệt. Nếu nang ký sinh ở mắt, người bệnh có nguy cơ giảm thị lực hoặc mù. Nang sán dải trong tim gây rối loạn nhịp tim, khó thở, và có thể tử vong trong trường hợp nghiêm trọng.
Điều trị
Thuốc xổ giun sán thông thường không tiêu diệt được sán dải lợn. Khi xuất hiện những dấu hiệu hoặc nghi ngờ mắc sán dải lợn, người bệnh nên đi đến bệnh viện hoặc các chuyên khoa ký sinh trùng để có chẩn đoán chính xác.
Để điều trị bệnh ấu trùng sán dải lợn người bệnh cần sử dụng đúng thuốc diệt kí sinh trùng, đúng cách và đúng liều theo chỉ định của bác sĩ. Ngoài ra các thuốc điều trị ký sinh trùng có khả năng xảy ra tác dụng phụ khi uống trong nhiều ngày. Người bệnh không tự mua thuốc uống và sử dụng khi chưa có chỉ định từ bác sĩ.
Ngoài ra, bác sĩ còn chỉ định điều trị triệu chứng của hệ cơ quan bị tổn thương: chống phù não, chống co giật, kiểm soát nhịp tim, giảm đau cơ,…..
Bệnh nang sán dải lợn có thể gây ra nhiều triệu chứng thần kinh nghiêm trọng như co giật, đau đầu kéo dài, rối loạn ý thức. Do đó, việc chẩn đoán sớm và chính xác đóng vai trò quan trọng trong điều trị và phòng ngừa các biến chứng nguy hiểm.
Phòng ngừa thế nào?
Thông thường, trứng và ấu trùng sán dải sẽ chết khi ở trong nhiệt độ trên 75 độ C trong vòng 5 phút hoặc đun sôi liên tục với 100 độ C trong 2 phút. Do đó:
Ăn chín, uống sôi: Thịt lợn cần được nấu chín kỹ ở nhiệt độ trên 75°C trong 5 phút hoặc sôi ở 100°C trong 2 phút. Tránh ăn thịt tái, tiết canh, hoặc nem sống.
Vệ sinh cá nhân: Rửa tay sạch trước khi ăn và sau khi đi vệ sinh.
Nguồn thịt an toàn: Chỉ mua thịt có nguồn gốc rõ ràng và được kiểm dịch.
Quản lý vật nuôi: Lợn cần được nuôi nhốt và chăm sóc đúng cách, không thả rông.
Nấu chín kỹ, sống an vui!
Thói quen ăn uống lành mạnh và vệ sinh sẽ bảo vệ bạn và gia đình khỏi nguy cơ mắc bệnh sán dải lợn. Nếu có triệu chứng bất thường, hãy đến cơ sở y tế để được chẩn đoán và điều trị kịp thời. Chỉ một chút bất cẩn trong việc lựa chọn thực phẩm cũng có thể dẫn đến hậu quả khôn lường. Đừng để sán dải lợn âm thầm phá hủy sức khỏe và cuộc sống của bạn. Thực hiện ăn chín, uống sôi và đi khám ngay khi có dấu hiệu nghi ngờ để bảo vệ chính mình và những người xung quanh.
Với chuyên môn cao và tinh thần cảnh giác, các bác sĩ đã chẩn đoán chính xác một tình huống nhiễm ký sinh trùng xâm lấn não hiếm gặp. Theo thống kê, tỷ lệ nhiễm trùng hệ thần kinh trung ương do ký sinh trùng chỉ chiếm khoảng 2-10% trong các bệnh lý nhiễm trùng thần kinh, cho thấy đây là một tình huống không phổ biến nhưng cực kỳ nguy hiểm.
Theo Phạm Trang (Thanh Niên Việt)








- Vì sao 7 cầu thủ ngoại mạo hiểm nhập tịch Malaysia? (07/10/25 23:15)
- Vì phong bì phúng viếng, chàng trai bị bạn gái dọa chia tay sau đám tang bà nội (07/10/25 22:56)
- Bayern Munich "cướp" tuyển thủ Anh trước mũi Liverpool (07/10/25 22:31)
- Lũ đặc biệt lớn, Thái Nguyên đối mặt đỉnh lũ vượt kỷ lục 2024 (07/10/25 22:28)
- Kẻ đứng sau hàng loạt buổi livestream xuyên tạc, gây rối ở Gia Lai (07/10/25 22:10)
- Vén màn cơ cấu quyền lực của gia tộc họ Minh và "nữ ma đầu" Minh Trân Trân (07/10/25 22:00)
- Phim Việt giờ vàng thay toàn bộ diễn viên (07/10/25 21:50)
- Hiệu trưởng lên tiếng về những tin nhắn giáo viên của trường vận động phụ huynh đóng góp (07/10/25 21:42)
- 7 người chết và mất tích do bão Matmo, lũ kỷ lục trên sông Cầu (07/10/25 21:34)
- Ngôi nhà 2 tầng ở Hà Nội bốc cháy giữa cơn mưa lớn (07/10/25 21:26)




