-
Thông tin mới vụ giáo viên phạt học sinh bằng kim tiêm: Hiệu trưởng có động thái không ngờ -
Phát hiện chồng và mẹ chồng nói xấu sau lưng, nàng dâu chọn cách đáp trả khiến cả hai “đứng hình” -
511 sản phẩm mỹ phẩm Việt Hương bị thu hồi trên toàn quốc: Doanh nghiệp phía sau là ai? -
Bị công an mời làm việc vì bình luận so sánh sự phát triển giữa hai tỉnh trên mạng xã hội -
Hà Nội dự kiến xây sân bay thứ hai, đưa toàn bộ bến xe lớn ra khỏi Vành đai 3 -
Người phụ nữ tử vong trong nhà nghỉ: Tình tiết 20 lon bia và người đàn ông rời đi lúc nửa đêm gây chú ý -
Ông Trần Anh Tuấn và Phan Văn Trọng được bổ nhiệm làm Trợ lý Thủ tướng -
"Đám cưới vàng" tuổi 70 của cặp đôi Hà Nội: 50 năm son sắt và lời hẹn ước làm con cháu nghẹn ngào -
Cháy nhà dân lúc rạng sáng ở Hà Nội, 1 người tử vong -
Bộ Nội vụ lấy ý kiến nhân dân về đề nghị xét tặng danh hiệu Anh hùng lao động cho ông Johnathan Hạnh Nguyễn
Lối Sống
01/05/2024 00:50Chân tay co giật, sùi bọt mép, cô gái hoảng hồn khi biết có giun ký sinh 20cm trong não
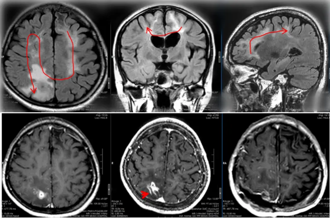
Bệnh nhân nữ, 28 tuổi ở Trung Quốc lần đầu lên cơn động kinh nặng "đột ngột ngã xuống đất, chân tay co giật và sùi bọt mép" cách đây 4 năm. Ban đầu, mặc dù kiểm tra cho thấy những bất thường ở não nhưng các bác sĩ vẫn chưa thể chẩn đoán được nguyên nhân cụ thể. Cùng lúc đó, người này bắt đầu cảm thấy chân tay phải yếu đi.
Sau đó một thời gian, cô gái được phán đoán mắc bệnh sán não. Vì bào tử sống nằm ở vùng chức năng nội sọ nên phẫu thuật có thể gây tổn thương và làm nặng thêm tình trạng rối loạn chức năng, do đó bệnh nhân được chỉ định theo dõi thêm.
Trong hai năm qua, bệnh nhân này vẫn kiên trì dùng thuốc và khám sức khỏe định kỳ, không còn bị động kinh nữa. Tuy nhiên, chân phải của cô tiếp tục yếu và trí nhớ cũng suy giảm. Vào ngày 20/4 vừa qua, các bác sĩ cuối cùng đã phát hiện con giun ký sinh di chuyển đến vùng không còn chức năng của thùy đỉnh bên phải của bệnh nhân.


Chớp lấy thời cơ, 3 ngày sau, bệnh nhân được thực hiện ca phẫu thuật mở hộp sọ cho bệnh nhân, không chỉ "bắt" thành công một con giun dài 20cm còn sống , mà còn loại bỏ được "tổ giun" (u hạt viêm).
Bác sĩ phân tích rằng "việc bệnh nhân nhiễm bệnh ấu trùng sán nhái có liên quan đến chế độ ăn uống của cô ấy". Hóa ra bệnh nhân nữ không chỉ uống nước thô (chưa qua xử lý) khi còn trẻ mà còn ăn cả ếch, ốc hoang dã...
Được biết, ấu trùng sán nhái không chỉ ký sinh ở động vật như ếch, rắn, ốc sên mà còn có thể có bọ chét nước bị ký sinh bởi proto cercariae trong nước giếng hoặc nước suối trên núi. Nếu tiêu thụ nước thô hoặc ăn thịt ếch ốc, cá sống, thịt rắn... chưa qua xử lý, bạn có thể bị nhiễm bệnh ấu trùng sán nhái.
Khi ấu trùng sán nhái di chuyển đến não, động kinh là một triệu chứng phổ biến và cũng có thể gây ra yếu chân tay, nhức đầu, nôn mửa và các triệu chứng khác, bác sĩ nhắc nhở rằng phòng ngừa là chìa khóa để tránh nhiễm ký sinh trùng. Căn bệnh này có thể phòng tránh hiệu quả bằng cách duy trì thói quen sinh hoạt tốt, không uống nước thô, không ăn thịt sống và thực hiện các biện pháp bảo vệ khi hoạt động ngoài trời.
Theo Mỹ Diệu (Phụ Nữ Mới)
- Tay vợt pickleball Việt Nam tạo địa chấn tại Malaysia Open, hạ thần đồng Mỹ top đầu thế giới (18 phút trước)
- Đâm vợ cũ trọng thương, gã đàn ông đi đầu thú sau khi tự sát bất thành (19 phút trước)
- Xe ga Trung Quốc Xinben XD150 gây sốt: Giá chỉ 27 triệu đồng nhưng có màn hình TFT, chạy gần 380 km/lần đổ xăng (22 phút trước)
- Thông tin mới vụ giáo viên phạt học sinh bằng kim tiêm: Hiệu trưởng có động thái không ngờ (39 phút trước)
- Đằng sau chiếc AirPods Pro 3 quảng cáo "100% tái chế": Sự thật phũ phàng sau 18 tháng sử dụng (54 phút trước)
- Ông Putin có thể sớm tới Bắc Kinh sau chuyến công du của ông Trump (55 phút trước)
- Phát hiện chồng và mẹ chồng nói xấu sau lưng, nàng dâu chọn cách đáp trả khiến cả hai “đứng hình” (56 phút trước)
- Cát Phượng úp mở chuyện chia tay bạn trai Việt kiều, cuộc sống hiện tại ra sao sau biến cố với Kiều Minh Tuấn? (56 phút trước)
- 511 sản phẩm mỹ phẩm Việt Hương bị thu hồi trên toàn quốc: Doanh nghiệp phía sau là ai? (1 giờ trước)
- Giám đốc CIA bất ngờ tới Cuba, chuyển thông điệp trực tiếp từ ông Trump (1 giờ trước)