- 
                                
                                
		 Chân dung "Người phụ nữ thép" của Đường lên đỉnh Olympia, biểu tượng lâu năm nhất và là đạo diễn quyền lực của chương trình Chân dung "Người phụ nữ thép" của Đường lên đỉnh Olympia, biểu tượng lâu năm nhất và là đạo diễn quyền lực của chương trình
- 
                                
                                
		 Vụ đánh bạc tại khách sạn Pullman Hà Nội: Ca sĩ Vũ Hà kể lần chơi duy nhất, hé lộ số tiền thua lỗ Vụ đánh bạc tại khách sạn Pullman Hà Nội: Ca sĩ Vũ Hà kể lần chơi duy nhất, hé lộ số tiền thua lỗ
- 
                                
                                
		 Phố cổ Hội An tan hoang sau trận lũ lịch sử: Nước mắt giữa bùn non và đổ nát Phố cổ Hội An tan hoang sau trận lũ lịch sử: Nước mắt giữa bùn non và đổ nát
- 
                                
                                
		 Gần 2.000 container sầu riêng ùn ứ: Phó Thủ tướng chỉ đạo làm rõ trách nhiệm, không để gián đoạn xuất khẩu Gần 2.000 container sầu riêng ùn ứ: Phó Thủ tướng chỉ đạo làm rõ trách nhiệm, không để gián đoạn xuất khẩu
- 
                                
                                
		 Đề xuất bỏ quy định "lái xe không quá 10 giờ một ngày, 48 giờ một tuần" Đề xuất bỏ quy định "lái xe không quá 10 giờ một ngày, 48 giờ một tuần"
- 
                                
                                
		 Vietjet và Rolls-Royce ký kết hợp đồng động cơ Trent 7000 trị giá 3,8 tỷ Đô la Mỹ Vietjet và Rolls-Royce ký kết hợp đồng động cơ Trent 7000 trị giá 3,8 tỷ Đô la Mỹ
- 
                                
                                
		 Tự ý đặt tên con, tôi bị chồng dí mặt vào tường: "Giống nòi nhà tôi, cô không có quyền" Tự ý đặt tên con, tôi bị chồng dí mặt vào tường: "Giống nòi nhà tôi, cô không có quyền"
- 
                                
                                
		 Chồng mất để tang đã 5 năm, ngày đưa con đi chơi, vợ run rẩy thấy chồng trong xe hơi sang trọng, đi cùng anh ấy còn có… Chồng mất để tang đã 5 năm, ngày đưa con đi chơi, vợ run rẩy thấy chồng trong xe hơi sang trọng, đi cùng anh ấy còn có…
- 
                                
                                
		 Đề xuất chuyển dự án trụ sở Bộ Ngoại giao cho Tập đoàn PVN quản lý Đề xuất chuyển dự án trụ sở Bộ Ngoại giao cho Tập đoàn PVN quản lý
- 
                                
                                
		 Vụ xây nhầm nhà trên đất người khác: "Thần đèn" vào cuộc, phát lộ sự thật oái oăm về kích thuốc lô đất Vụ xây nhầm nhà trên đất người khác: "Thần đèn" vào cuộc, phát lộ sự thật oái oăm về kích thuốc lô đất
Lối Sống
28/05/2024 23:13Hy hữu: Cô gái 20 tuổi ở Hà Nội có phủ tạng đảo ngược hoàn toàn
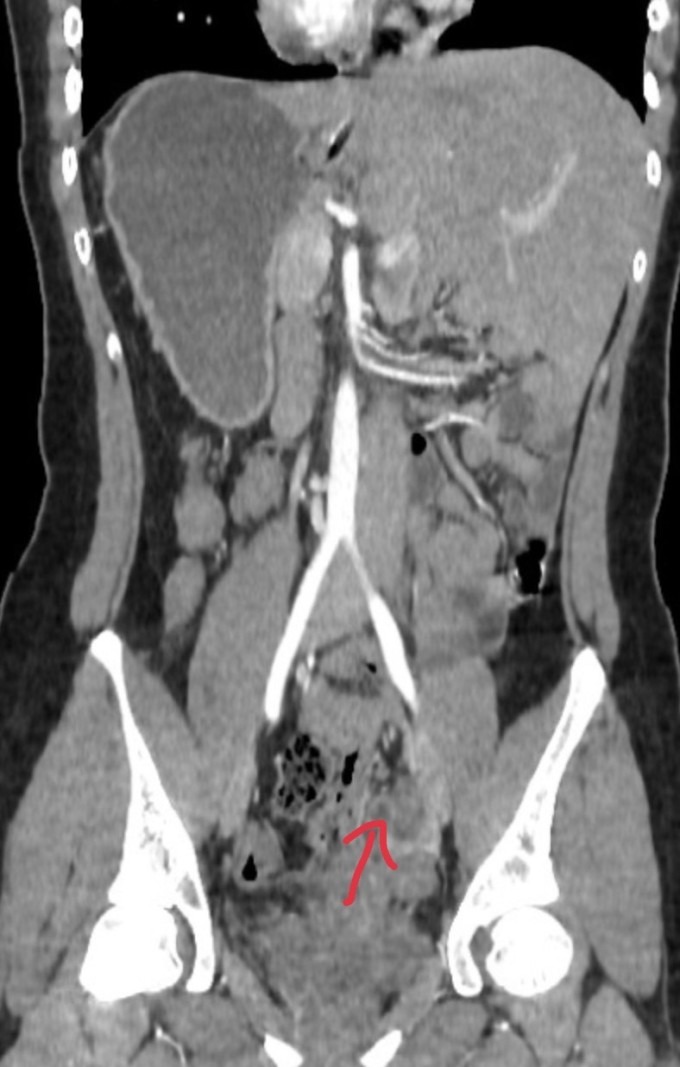
Ngày 28/5, báo Dân Trí dẫn nguồn từ Bệnh viện E thông tin về ca phẫu thuật ruột thừa cho nữ bệnh nhân có phủ tạng đảo ngược hiếm gặp.
ThS.BS Phùng Văn Quyên, Khoa Phẫu thuật tiêu hóa, Bệnh viện E cho biết, bệnh nhân vào viện với các dấu hiệu rõ rệt của chứng đau ruột thừa như: đau bụng dữ dội vùng hố chậu, buồn nôn, đau tăng dần và liên tục, đau di chuyển xuống hạ vị…
"Nhưng điều đáng nói, người bệnh lại đau hố chậu trái, trong khi ở người bình thường, biểu hiện đau ruột thừa thường từ hố chậu phải", BS Quyên cho biết.
 
Qua khám lâm sàng và kết quả các xét nghiệm, siêu âm bụng, chụp CT ổ bụng, các bác sĩ đã xác định người bệnh bị viêm phúc mạc khu trú do ruột thừa mủ trên nền người bệnh bị đảo ngược phủ tạng hiếm gặp.
Theo đó, trái tim và dạ dày của người bệnh nằm bên phải, còn gan và ruột thừa lại nằm bên trái, trái ngược hoàn toàn so với bình thường.
Các bác sĩ quyết định nội soi cắt ruột thừa cho bệnh nhân. Ca phẫu thuật diễn ra trong khoảng 60 phút, hiện sức khỏe bệnh nhân ổn định.
Trao đổi với VnExpress, BSCKI Mai Văn Lực, khoa Phẫu thuật thận tiết niệu và Nam học, Bệnh viện E cho biết, phẫu thuật trên nền người bệnh bị đảo ngược nội tạng sẽ gặp nhiều nguy cơ.
Đầu tiên, khi khám lâm sàng, bác sĩ chỉ khám bên phải, bỏ qua bên trái thì nguy cơ để sót tổn thương, dẫn tới viêm ruột thừa muộn, biến chứng tử vong. Sau đó, trong mổ, ê kíp phải thực hiện các thao tác ngược, đòi hỏi chuyên môn sâu và nhiều kinh nghiệm mới có thể đảm bảo an toàn cho người bệnh.
 
Các bác sĩ cũng khuyến cáo, viêm ruột thừa là tình trạng cấp cứu và cần được điều trị kịp thời để tránh các biến chứng nguy hiểm. Đối với những người bị đảo ngược phủ tạng, việc chẩn đoán và điều trị viêm ruột thừa càng trở nên phức tạp. Do đó, khi có dấu hiệu của viêm ruột thừa, người bệnh cần đến ngay các cơ sở y tế uy tín để được chẩn đoán và điều trị kịp thời.
Việc tự ý dùng thuốc kháng sinh hoặc thuốc giảm đau có thể dẫn đến các biến chứng nguy hiểm.
Hiện tượng đảo ngược phủ tạng là tình trạng các cơ quan mô, nội tạng trong ngực, bụng đảo ngược phản chiếu theo mặt phẳng đứng dọc so với vị trí bình thường, người bệnh có thể có trái tim nằm bên phải. Tình trạng đảo ngược phủ tạng có thể hoàn toàn hoặc chỉ một vài cơ quan đơn thuần.
Đây là một dị tật hiếm gặp, với tỉ lệ khoảng 0,001% - 0,01%, Trong đó, 5-10% có dị tật tim bẩm sinh kèm theo, khoảng 4% trong số các ca đảo ngược phủ tạng có thể mắc viêm ruột thừa, còn lại có cuộc sống hoàn toàn bình thường, không ảnh hưởng đến sức khỏe người bệnh.
PN (SHTT)
 
									 
									 
									 
									 
									 
									 
									 
									- Thông tin chi tiết về dự án gần 10.000 căn nhà ở xã hội TP.HCM trong năm 2025 (10 phút trước)
- Hai người tử vong, New York hứng chịu mưa lũ kỷ lục, thành phố và hệ thống tàu điện ngầm biến thành "biển nước" (28 phút trước)
- Sạt lở kinh hoàng: Một xã biên giới ở Đà Nẵng bị cô lập hoàn toàn, trụ sở UBND xã nứt toác, đối diện nguy cơ đổ sập (34 phút trước)
- Chân dung "Người phụ nữ thép" của Đường lên đỉnh Olympia, biểu tượng lâu năm nhất và là đạo diễn quyền lực của chương trình (44 phút trước)
- Vụ đánh bạc tại khách sạn Pullman Hà Nội: Ca sĩ Vũ Hà kể lần chơi duy nhất, hé lộ số tiền thua lỗ (1 giờ trước)
- Vụ giả cướp bắt cóc em họ ép gia chủ chuyển 600 triệu ở Hà Nội: Nguyên nhân liều mạng cướp tiền? (1 giờ trước)
- Đầu tháng 11 "đỏ rực": 3 con giáp bùng nổ vận may, công việc - tài lộc thăng hoa ngoạn mục (2 giờ trước)
- Danh tính bị cáo duy nhất không nhận tội đánh bạc ở khách sạn Pullman, hé lộ màn trả treo trước tòa (2 giờ trước)
- Gia đình Hải Sen bị bóc trần chiêu giấu doanh thu 86 tỷ: Hé lộ đường dây trốn thuế tinh vi của Công ty Hải Bé! (2 giờ trước)
- Chấn động giới võ thuật: Nhà vô địch Muay Thái giải nghệ trở thành "ông trùm" cá độ online, kiếm hàng chục tỷ đồng (2 giờ trước)
 
									 
									 
									 
									 
									 
								 
								