-
Tết Dương lịch 2026: Vì sao người lao động không được nghỉ dài như mong đợi?
-
Gần 4.000 bánh Trung thu ngoại nhập “không giấy tờ” bị bắt ngay giữa phố Hà Nội: Ông chủ SN 1980 khai sự thật bất ngờ
-
Phát khóc trước cảnh tượng "không biết phải bắt đầu từ đâu" sau trận lũ lụt kinh hoàng tại Tuyên Quang
-
Bất ngờ tình trạng chiếc SUV sau khi lăn xuống vực ở Sa Pa
-
3 người trong 1 gia đình ở Đồng Nai tử vong với nhiều vết thương
-
Chủ tịch UBND TP Cần Thơ Trần Văn Lâu làm Bí thư Tỉnh ủy Vĩnh Long
-
Ông Nguyễn Hữu Nghĩa được chỉ định làm Bí thư Tỉnh ủy Hưng Yên
-
Xúc động cảnh ông lão Hà Nội đẩy xe giữa dòng nước ngập đưa vợ đi khám bệnh
-
Tên những cơn bão như Matmo, Bualoi... do ai đặt?
-
Sập đường dẫn lên cầu Tát Luông ở Tuyên Quang do mưa lũ
Lối Sống
21/06/2024 20:48Người phụ nữ bị 'trắng bệch' một góc phổi vì thứ mùa này nhà nào cũng dùng
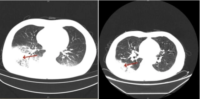
Nhiệt độ tăng cao gần đây, nhiều người dân đã bắt đầu sử dụng điều hòa trong nhà, tuy nhiên họ không biết rằng nếu lâu ngày không sử dụng và sử dụng trực tiếp mà không vệ sinh sẽ tiềm ẩn những nguy cơ về sức khỏe. Mới đây, Bệnh viện Đại học Nam Hoa (Trung Quốc) đã tiếp nhận 2 bệnh nhân mắc bệnh viêm phổi Legionella. Nguyên nhân gây bệnh có liên quan đến điều hòa không khí.
Cô Bân (32 tuổi, Trung Quốc) là một trong số đó. Theo cô, máy điều hòa ở nhà đã hơn nửa năm không được vệ sinh, cô sử dụng nó được khoảng hai ngày, một tuần sau cô xuất hiện triệu chứng ho, có đờm, sốt cao, ớn lạnh, nôn mửa, tiêu chảy và các triệu chứng khác.
Liễu Gia, bác sĩ trực tiếp điều trị cho cô Bân, sau khi phân tích tình trạng ho ra đờm màu đỏ cam của bệnh nhân và các biểu hiện trong phổi và ngoài phổi, đã chẩn đoán cô Bân bị bệnh viêm phổi do Legionella nặng. Sau khi điều chỉnh thuốc, bệnh nhân hồi phục tốt.
Dựa trên mô tả về bệnh tình của bệnh nhân, bác sĩ xác định máy điều hòa lâu ngày không được vệ sinh rất có thể là nguồn lây truyền. Sau khi bật điều hòa, bệnh nhân đã hít phải khí dung có chứa Legionella và bị nhiễm trùng.

Đây không phải trường hợp duy nhất, ông Nghị (55 tuổi, Trung Quốc) cũng nhập viện cùng ngày với cô Bân. Ông có tiền sử mắc bệnh tiểu đường tuýp 2, bệnh thận do tiểu đường tuýp 2 và suy thận mãn tính. Gần đây, ông được đưa đến viện với triệu chứng sốt dai dẳng, ớn lạnh và ho suốt 4 ngày. Trong quá trình kiểm tra, bác sĩ phát hiện phổi của bệnh nhân bị nhiễm trùng nặng.
Sau khi tìm hiểu sâu hơn về bệnh sử, được biết, trước khi nhập viện bệnh nhân lái xe đi công tác một tuần, do thời tiết nắng nóng nên khởi động máy điều hòa ô tô lâu ngày không được vệ sinh và cứ như vậy trong hơn 1 tuần. Mỗi ngày ngồi trên ô tô 10 tiếng. Sau khi trở về, ông Nghị bị sốt, ho và có các triệu chứng giống như cảm lạnh. Ông được xác định bị nhiễm Legionella gây viêm phổi.
Bác sĩ Liễu Gia cho biết bệnh viêm phổi Legionella phát triển khoảng 10 ngày sau khi xâm nhập vào cơ thể con người. Các triệu chứng lâm sàng bao gồm các triệu chứng hô hấp không đặc hiệu như sốt, ho, đờm và khó thở, cũng như đau đầu, đau cơ, tiêu chảy, buồn nôn, nôn mửa, tiêu cơ vân và chức năng thận cấp tính. Có nhiều biểu hiện tổn thương ngoài phổi khác nhau, có thể dẫn đến sốc hoặc thậm chí tử vong trong trường hợp nặng.
Legionella cũng là một trong những vi khuẩn gây bệnh phổ biến hơn trong bệnh viêm phổi nặng. Điều đáng chú ý là các nhóm nguy cơ cao dễ mắc bệnh viêm phổi do Legionella bao gồm nhóm suy giảm miễn dịch, người trung niên và người cao tuổi, bệnh nhân mắc các bệnh tiềm ẩn như bệnh tim, phổi, thận mãn tính, người cư trú dài hạn và phụ nữ mang thai.
Bác sĩ nhắc nhở rằng chìa khóa để ngăn ngừa bệnh viêm phổi Legionella trong mùa hè là giữ gìn vệ sinh môi trường, thường xuyên làm sạch và khử trùng máy điều hòa, phòng tắm và những nơi khác mà Legionella có khả năng sinh sản và tránh bơi trong bể bơi không được khử trùng. Đồng thời, duy trì thói quen sinh hoạt tốt, uống nước đun sôi, duy trì thông gió trong nhà, tăng cường thể chất và khả năng miễn dịch cá nhân, đồng thời chú ý vệ sinh cá nhân để giảm nguy cơ nhiễm trùng.
Theo Mỹ Diệu (Phụ Nữ Mới)








- Hai cha con tử vong thương tâm dưới giếng sâu 10m (13:37)
- Tết Dương lịch 2026: Vì sao người lao động không được nghỉ dài như mong đợi? (13:35)
- Gần 4.000 bánh Trung thu ngoại nhập “không giấy tờ” bị bắt ngay giữa phố Hà Nội: Ông chủ SN 1980 khai sự thật bất ngờ (13:31)
- Bất ngờ tình trạng chiếc SUV sau khi lăn xuống vực ở Sa Pa (13:20)
- 3 người trong 1 gia đình ở Đồng Nai tử vong với nhiều vết thương (13:17)
- Chủ tịch UBND TP Cần Thơ Trần Văn Lâu làm Bí thư Tỉnh ủy Vĩnh Long (13:10)
- Ông Nguyễn Hữu Nghĩa được chỉ định làm Bí thư Tỉnh ủy Hưng Yên (13:07)
- Vừa xuất viện về nhà, người mẹ tâm thần sát hại con gái hơn 3 tháng tuổi (2 giờ trước)
- Vì sao tỷ phú Warren Buffett không bao giờ coi vàng là khoản đầu tư dài hạn? (2 giờ trước)
- Bão Matmo áp sát, Philippines nâng mức cảnh báo ở đảo Luzon (2 giờ trước)




